Characteristics and outcomes of pulmonary barotrauma in patients with COVID-19 ARDS: A retrospective observational study.

Q3 Medicine
Qatar Medical Journal Pub Date : 2024-12-31 eCollection Date: 2024-01-01 DOI:10.5339/qmj.2024.64
Varun Mahajan, Kamal Kajal, Amarjyoti Hazarika, Karan Singla, Naveen Naik B, Ananya Ray, Venkata Ganesh, Ajay Singh, Ashish Bhalla, Goverdhan Dutt Puri
{"title":"Characteristics and outcomes of pulmonary barotrauma in patients with COVID-19 ARDS: A retrospective observational study.","authors":"Varun Mahajan, Kamal Kajal, Amarjyoti Hazarika, Karan Singla, Naveen Naik B, Ananya Ray, Venkata Ganesh, Ajay Singh, Ashish Bhalla, Goverdhan Dutt Puri","doi":"10.5339/qmj.2024.64","DOIUrl":null,"url":null,"abstract":"<p><strong>Introduction: </strong>Pulmonary barotrauma in coronavirus disease-2019 (COVID-19) acute respiratory distress syndrome (ARDS) carries high risk of mortality. While various studies have reported increased mortality, few have assessed the contributing factors for the occurrence of this complication. This study aimed at exploring the contributing factors for barotrauma in COVID-19 ARDS.</p><p><strong>Methodology: </strong>In this retrospective study, patients aged ≥18 years with laboratory confirmed severe acute respiratory syndrome coronavirus-2 (SARS-CoV-2) by reverse transcriptase polymerase chain reaction (RT-PCR) from a nasopharyngeal swab and having severe or critical COVID-19 disease requiring Intensive Care Unit (ICU) admission according to the World Health Organisation (WHO) criteria for disease severity in COVID-19 disease admitted at forty-bedded ICUs at a tertiary care research hospital in North India from April 1, 2020, to March 31, 2022 were included.</p><p><strong>Results: </strong>Of 825 patients admitted to COVID ICU, 40 developed pulmonary barotrauma, with a mortality rate of 85%. The mean ± SD PaO<sub>2</sub>/FiO<sub>2</sub> was 96.76 ± 27.78 mmHg. Thirty-nine patients received steroids, 37 developed secondary bacterial infection of the lower respiratory tract with one or more organisms. <i>Acinetobacter baumannii</i> (<i>n</i> = 15), <i>Klebsiella pneumoniae</i> (<i>n</i> = 10), and <i>Pseudomonas aeruginosa</i> (<i>n</i> = 8) were the commonest isolates. Ten patients developed pneumomediastinum, of which 6 patients had subcutaneous emphysema along with pneumomediastinum, and 2 patients developed isolated subcutaneous emphysema. The remaining 28 patients developed pneumothorax.The mean (±SD) for static respiratory system compliance (Crs) for patients on mechanical ventilation on the day of barotrauma was 19.3 (±10.5) mL/cmH<sub>2</sub>O.</p><p><strong>Conclusion: </strong>Patients with COVID-19 ARDS developing pulmonary barotrauma have a high associated mortality, and secondary bacterial infection, lung fragility, patient-ventilator asynchrony, as well as low respiratory system compliance, may contribute to lung injury, predisposing to barotrauma.</p>","PeriodicalId":53667,"journal":{"name":"Qatar Medical Journal","volume":"2024 4","pages":"64"},"PeriodicalIF":0.0000,"publicationDate":"2024-12-31","publicationTypes":"Journal Article","fieldsOfStudy":null,"isOpenAccess":false,"openAccessPdf":"https://www.ncbi.nlm.nih.gov/pmc/articles/PMC11816791/pdf/","citationCount":"0","resultStr":null,"platform":"Semanticscholar","paperid":null,"PeriodicalName":"Qatar Medical Journal","FirstCategoryId":"1085","ListUrlMain":"https://doi.org/10.5339/qmj.2024.64","RegionNum":0,"RegionCategory":null,"ArticlePicture":[],"TitleCN":null,"AbstractTextCN":null,"PMCID":null,"EPubDate":"2024/1/1 0:00:00","PubModel":"eCollection","JCR":"Q3","JCRName":"Medicine","Score":null,"Total":0}
引用次数: 0

Abstract

Introduction: Pulmonary barotrauma in coronavirus disease-2019 (COVID-19) acute respiratory distress syndrome (ARDS) carries high risk of mortality. While various studies have reported increased mortality, few have assessed the contributing factors for the occurrence of this complication. This study aimed at exploring the contributing factors for barotrauma in COVID-19 ARDS.

Methodology: In this retrospective study, patients aged ≥18 years with laboratory confirmed severe acute respiratory syndrome coronavirus-2 (SARS-CoV-2) by reverse transcriptase polymerase chain reaction (RT-PCR) from a nasopharyngeal swab and having severe or critical COVID-19 disease requiring Intensive Care Unit (ICU) admission according to the World Health Organisation (WHO) criteria for disease severity in COVID-19 disease admitted at forty-bedded ICUs at a tertiary care research hospital in North India from April 1, 2020, to March 31, 2022 were included.

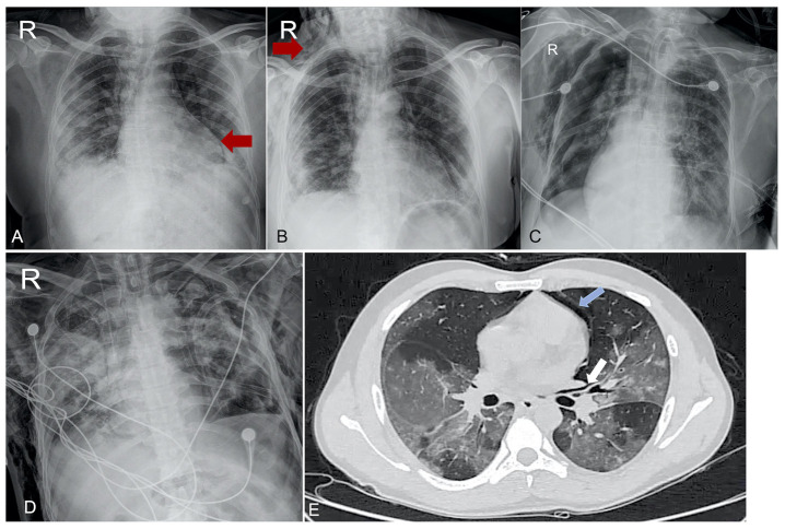
Results: Of 825 patients admitted to COVID ICU, 40 developed pulmonary barotrauma, with a mortality rate of 85%. The mean ± SD PaO2/FiO2 was 96.76 ± 27.78 mmHg. Thirty-nine patients received steroids, 37 developed secondary bacterial infection of the lower respiratory tract with one or more organisms. Acinetobacter baumannii (n = 15), Klebsiella pneumoniae (n = 10), and Pseudomonas aeruginosa (n = 8) were the commonest isolates. Ten patients developed pneumomediastinum, of which 6 patients had subcutaneous emphysema along with pneumomediastinum, and 2 patients developed isolated subcutaneous emphysema. The remaining 28 patients developed pneumothorax.The mean (±SD) for static respiratory system compliance (Crs) for patients on mechanical ventilation on the day of barotrauma was 19.3 (±10.5) mL/cmH2O.

Conclusion: Patients with COVID-19 ARDS developing pulmonary barotrauma have a high associated mortality, and secondary bacterial infection, lung fragility, patient-ventilator asynchrony, as well as low respiratory system compliance, may contribute to lung injury, predisposing to barotrauma.

Abstract Image

Abstract Image

Abstract Image

COVID-19急性呼吸窘迫综合征患者肺气压损伤的特征和结局:一项回顾性观察研究。
冠状病毒病-2019 (COVID-19)急性呼吸窘迫综合征(ARDS)患者的肺气压损伤具有很高的死亡率。虽然各种研究报告了死亡率的增加,但很少有研究评估了导致这种并发症发生的因素。本研究旨在探讨COVID-19 ARDS中气压损伤的影响因素。方法:在这项回顾性研究中,根据世界卫生组织(WHO)的COVID-19疾病严重程度标准,自2020年4月1日起在印度北部一家三级医疗研究型医院的40个床位的重症监护室(ICU)入住的年龄≥18岁、经鼻咽棉子逆转录酶聚合酶链反应(RT-PCR)实验室确诊为SARS-CoV-2的COVID-19重症或危重症患者。包括到2022年3月31日。结果:825例新冠肺炎ICU患者中有40例发生肺气压伤,死亡率为85%。PaO2/FiO2平均值±SD为96.76±27.78 mmHg。39例患者接受类固醇治疗,37例继发下呼吸道细菌感染,伴有一种或多种细菌。鲍曼不动杆菌(15例)、肺炎克雷伯菌(10例)和铜绿假单胞菌(8例)是最常见的分离株。10例发生纵隔气肿,其中6例合并纵隔气肿,2例发生孤立性皮下气肿。其余28例发生气胸。气压创伤当日机械通气患者的静态呼吸系统顺应性(Crs)平均值(±SD)为19.3(±10.5)mL/cmH2O。结论:发生肺气压损伤的COVID-19 ARDS患者死亡率高,继发性细菌感染、肺易碎性、患者与呼吸机不同步以及呼吸系统依从性低可能导致肺损伤,易发生气压损伤。
本文章由计算机程序翻译,如有差异,请以英文原文为准。
求助全文
约1分钟内获得全文 求助全文
来源期刊
Qatar Medical Journal
Qatar Medical Journal Medicine-Medicine (all)
CiteScore
1.80
自引率
0.00%
发文量
77
审稿时长
6 weeks
×
引用
GB/T 7714-2015
复制
MLA
复制
APA
复制
导出至
BibTeX EndNote RefMan NoteFirst NoteExpress
×
提示
您的信息不完整,为了账户安全,请先补充。
现在去补充
×
提示
您因"违规操作"
具体请查看互助需知
我知道了
×
提示
确定
请完成安全验证×
copy
已复制链接
快去分享给好友吧!
我知道了
右上角分享
点击右上角分享
0
联系我们:info@booksci.cn Book学术提供免费学术资源搜索服务,方便国内外学者检索中英文文献。致力于提供最便捷和优质的服务体验。 Copyright © 2023 布克学术 All rights reserved.
京ICP备2023020795号-1
ghs 京公网安备 11010802042870号
Book学术文献互助
Book学术文献互助群
群 号:604180095
Book学术官方微信