Choroidal neovascularization secondary to angioid streaks in a patient with pseudoxanthoma elasticum: case report.

David-Ionuț Beuran, Camelia Constantin, Răzvan Constantin Șerban, Lucian George Eftimie, Cătălin Cornăcel
{"title":"Choroidal neovascularization secondary to angioid streaks in a patient with pseudoxanthoma elasticum: case report.","authors":"David-Ionuț Beuran, Camelia Constantin, Răzvan Constantin Șerban, Lucian George Eftimie, Cătălin Cornăcel","doi":"10.22336/rjo.2024.85","DOIUrl":null,"url":null,"abstract":"<p><strong>Objective: </strong>Present the diagnosis and therapeutic approach in a patient with pseudoxanthoma elasticum and ocular involvement.</p><p><strong>Case report: </strong>A 46-year-old patient presented for progressive loss of vision and metamorphopsias in the left eye. The ophthalmological examination showed angioid streaks and secondary choroidal neovascularization. The dermatologist performed an incisional biopsy of a skin area in the right axilla that showed white-yellow, discrete streaks. Histopathological examination confirmed the diagnosis of pseudoxanthoma elasticum. It was decided to start intravitreal injections with aflibercept. Three injections were made in the left eye with subsequent visual acuity improvement.</p><p><strong>Discussion: </strong>Angioid streaks are a rare retinal condition, and pseudoxanthoma elasticum is the most common association. Other systemic conditions are Ehlers-Danlos syndrome, Paget's disease, and hemoglobinopathies. Definite diagnosis requires skin lesions or calcified elastic fibers on pathological examination and angioid streaks of the retina. Choroidal neovascularization is a frequent complication and leads to vision loss. Intravitreal inhibitors of vascular endothelial growth factor are currently the first line of treatment.</p><p><strong>Conclusions: </strong>Pseudoxanthoma elasticum has numerous systemic manifestations and requires a multidisciplinary team to be monitored and treated.</p>","PeriodicalId":94355,"journal":{"name":"Romanian journal of ophthalmology","volume":"68 4","pages":"470-475"},"PeriodicalIF":0.0000,"publicationDate":"2024-10-01","publicationTypes":"Journal Article","fieldsOfStudy":null,"isOpenAccess":false,"openAccessPdf":"https://www.ncbi.nlm.nih.gov/pmc/articles/PMC11809835/pdf/","citationCount":"0","resultStr":null,"platform":"Semanticscholar","paperid":null,"PeriodicalName":"Romanian journal of ophthalmology","FirstCategoryId":"1085","ListUrlMain":"https://doi.org/10.22336/rjo.2024.85","RegionNum":0,"RegionCategory":null,"ArticlePicture":[],"TitleCN":null,"AbstractTextCN":null,"PMCID":null,"EPubDate":"","PubModel":"","JCR":"","JCRName":"","Score":null,"Total":0}
引用次数: 0

Abstract

Objective: Present the diagnosis and therapeutic approach in a patient with pseudoxanthoma elasticum and ocular involvement.

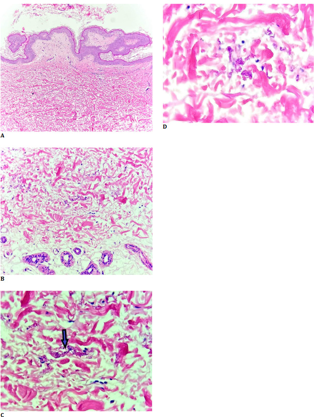
Case report: A 46-year-old patient presented for progressive loss of vision and metamorphopsias in the left eye. The ophthalmological examination showed angioid streaks and secondary choroidal neovascularization. The dermatologist performed an incisional biopsy of a skin area in the right axilla that showed white-yellow, discrete streaks. Histopathological examination confirmed the diagnosis of pseudoxanthoma elasticum. It was decided to start intravitreal injections with aflibercept. Three injections were made in the left eye with subsequent visual acuity improvement.

Discussion: Angioid streaks are a rare retinal condition, and pseudoxanthoma elasticum is the most common association. Other systemic conditions are Ehlers-Danlos syndrome, Paget's disease, and hemoglobinopathies. Definite diagnosis requires skin lesions or calcified elastic fibers on pathological examination and angioid streaks of the retina. Choroidal neovascularization is a frequent complication and leads to vision loss. Intravitreal inhibitors of vascular endothelial growth factor are currently the first line of treatment.

Conclusions: Pseudoxanthoma elasticum has numerous systemic manifestations and requires a multidisciplinary team to be monitored and treated.

Abstract Image

Abstract Image

Abstract Image

弹性假黄色瘤继发于血管样条纹的脉络膜新生血管:1例报告。
目的:探讨1例弹性假黄色瘤累及眼部的诊断和治疗方法。病例报告:一个46岁的病人提出了进行性视力丧失和变形的左眼。眼科检查显示血管样条纹及继发脉络膜新生血管。皮肤科医生对右腋窝的皮肤区域进行了切口活组织检查,发现黄白色的离散条纹。组织病理学检查证实为弹性假性黄瘤。我们决定开始玻璃体内注射阿伯西普。在左眼进行三次注射,随后视力有所改善。讨论:血管样条纹是一种罕见的视网膜疾病,而弹性假黄色瘤是最常见的关联。其他系统性疾病有埃勒斯-丹洛斯综合征、佩吉特病和血红蛋白病。明确诊断需要皮肤病变或钙化弹性纤维病理检查和视网膜血管样条纹。脉络膜新生血管是一种常见的并发症,可导致视力丧失。玻璃体内血管内皮生长因子抑制剂是目前的一线治疗方法。结论:弹性假黄瘤具有多种全身性表现,需要多学科团队进行监测和治疗。
本文章由计算机程序翻译,如有差异,请以英文原文为准。
求助全文
约1分钟内获得全文 求助全文
来源期刊
自引率
0.00%
发文量
0
×
引用
GB/T 7714-2015
复制
MLA
复制
APA
复制
导出至
BibTeX EndNote RefMan NoteFirst NoteExpress
×
提示
您的信息不完整,为了账户安全,请先补充。
现在去补充
×
提示
您因"违规操作"
具体请查看互助需知
我知道了
×
提示
确定
请完成安全验证×
copy
已复制链接
快去分享给好友吧!
我知道了
右上角分享
点击右上角分享
0
联系我们:info@booksci.cn Book学术提供免费学术资源搜索服务,方便国内外学者检索中英文文献。致力于提供最便捷和优质的服务体验。 Copyright © 2023 布克学术 All rights reserved.
京ICP备2023020795号-1
ghs 京公网安备 11010802042870号
Book学术文献互助
Book学术文献互助群
群 号:604180095
Book学术官方微信