An Adverse Double-Hit by Pembrolizumab: A Case Report of Bullous Pemphigoid and Pneumonitis.

IF 0.9
Journal of medical cases Pub Date : 2025-02-01 Epub Date: 2025-02-02 DOI:10.14740/jmc5089
Christodoulos Chatzigrigoriadis, Prodromos Avramidis, Christos Davoulos, Foteinos-Ioannis Dimitrakopoulos, George Eleftherakis, Christina Petropoulou, Despoina Sperdouli, Georgios Marios Stergiopoulos, Panagis Galiatsatos, Stelios Assimakopoulos
{"title":"An Adverse Double-Hit by Pembrolizumab: A Case Report of Bullous Pemphigoid and Pneumonitis.","authors":"Christodoulos Chatzigrigoriadis, Prodromos Avramidis, Christos Davoulos, Foteinos-Ioannis Dimitrakopoulos, George Eleftherakis, Christina Petropoulou, Despoina Sperdouli, Georgios Marios Stergiopoulos, Panagis Galiatsatos, Stelios Assimakopoulos","doi":"10.14740/jmc5089","DOIUrl":null,"url":null,"abstract":"<p><p>Immune checkpoint inhibitors like pembrolizumab represent a modern approach to the management of various malignancies, including non-small cell lung cancer. The therapeutic activity of immunotherapy is exerted by the activation of immune cells against the tumor cells. However, systemic activation of the immune system can lead to the development of autoimmune complications known as immune-related adverse events. A combination of rare immune-related adverse events is occasionally observed simultaneously in the same patient. We present the case of a 66-year-old male with squamous non-small cell lung carcinoma who presented to the emergency department with dyspnea and respiratory failure. Imaging findings were consistent with pulmonary embolism and nonspecific interstitial pneumonitis. One month before this event, he was diagnosed with bullous pemphigoid following 21 cycles of treatment with pembrolizumab. The radiological findings, the lack of response to antibiotics, the negative microbiological workup, and the excellent response to corticosteroids established the diagnosis of pembrolizumab-induced pneumonitis. The combination of bullous pemphigoid and pneumonitis secondary to pembrolizumab is rare; only a few case reports exist in the literature. Hence, this case highlights the possibility of multiple immune-related adverse events in the same patient. The exclusion of infectious diseases and other immunologic disorders with a similar clinical presentation is necessary to make the final diagnosis of immune-related adverse events and start the appropriate treatment. Serology, histopathology, and direct immunofluorescence aid to the diagnosis of immune-related bullous pemphigoid; the differential diagnosis includes other pemphigoid or lichenoid diseases, Stevens-Johnson syndrome/toxic epidermal necrolysis, and drug reaction with eosinophilia and systemic symptoms. Imaging, microbiological testing, and bronchoscopy (if possible) confirm the diagnosis of immune-related pneumonitis, which should be differentiated from acute coronary syndrome, cardiogenic pulmonary edema, pulmonary embolism, tumor progression, and lower respiratory tract infections (especially <i>Pneumocystis jirovecii</i> pneumonia in immunocompromised patients). An interdisciplinary approach is necessary for the management of these cases.</p>","PeriodicalId":101328,"journal":{"name":"Journal of medical cases","volume":"16 2","pages":"69-76"},"PeriodicalIF":0.9000,"publicationDate":"2025-02-01","publicationTypes":"Journal Article","fieldsOfStudy":null,"isOpenAccess":false,"openAccessPdf":"https://www.ncbi.nlm.nih.gov/pmc/articles/PMC11809608/pdf/","citationCount":"0","resultStr":null,"platform":"Semanticscholar","paperid":null,"PeriodicalName":"Journal of medical cases","FirstCategoryId":"1085","ListUrlMain":"https://doi.org/10.14740/jmc5089","RegionNum":0,"RegionCategory":null,"ArticlePicture":[],"TitleCN":null,"AbstractTextCN":null,"PMCID":null,"EPubDate":"2025/2/2 0:00:00","PubModel":"Epub","JCR":"","JCRName":"","Score":null,"Total":0}
引用次数: 0

Abstract

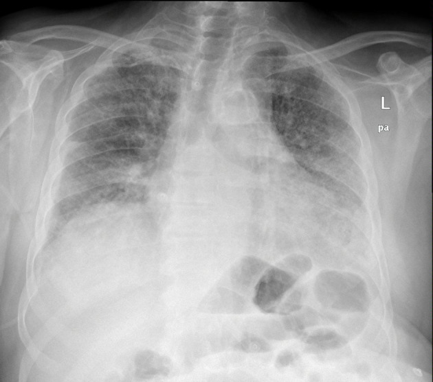
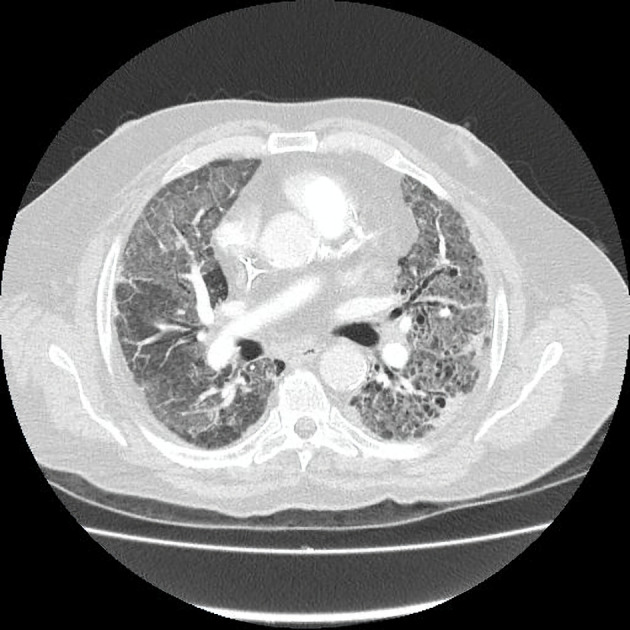
Immune checkpoint inhibitors like pembrolizumab represent a modern approach to the management of various malignancies, including non-small cell lung cancer. The therapeutic activity of immunotherapy is exerted by the activation of immune cells against the tumor cells. However, systemic activation of the immune system can lead to the development of autoimmune complications known as immune-related adverse events. A combination of rare immune-related adverse events is occasionally observed simultaneously in the same patient. We present the case of a 66-year-old male with squamous non-small cell lung carcinoma who presented to the emergency department with dyspnea and respiratory failure. Imaging findings were consistent with pulmonary embolism and nonspecific interstitial pneumonitis. One month before this event, he was diagnosed with bullous pemphigoid following 21 cycles of treatment with pembrolizumab. The radiological findings, the lack of response to antibiotics, the negative microbiological workup, and the excellent response to corticosteroids established the diagnosis of pembrolizumab-induced pneumonitis. The combination of bullous pemphigoid and pneumonitis secondary to pembrolizumab is rare; only a few case reports exist in the literature. Hence, this case highlights the possibility of multiple immune-related adverse events in the same patient. The exclusion of infectious diseases and other immunologic disorders with a similar clinical presentation is necessary to make the final diagnosis of immune-related adverse events and start the appropriate treatment. Serology, histopathology, and direct immunofluorescence aid to the diagnosis of immune-related bullous pemphigoid; the differential diagnosis includes other pemphigoid or lichenoid diseases, Stevens-Johnson syndrome/toxic epidermal necrolysis, and drug reaction with eosinophilia and systemic symptoms. Imaging, microbiological testing, and bronchoscopy (if possible) confirm the diagnosis of immune-related pneumonitis, which should be differentiated from acute coronary syndrome, cardiogenic pulmonary edema, pulmonary embolism, tumor progression, and lower respiratory tract infections (especially Pneumocystis jirovecii pneumonia in immunocompromised patients). An interdisciplinary approach is necessary for the management of these cases.

Abstract Image

Abstract Image

Abstract Image

派姆单抗双重打击:大疱性类天疱疮和肺炎1例报告。
像派姆单抗这样的免疫检查点抑制剂代表了一种治疗各种恶性肿瘤的现代方法,包括非小细胞肺癌。免疫疗法的治疗活性是通过免疫细胞对肿瘤细胞的激活来发挥的。然而,免疫系统的全身性激活可导致自身免疫性并发症的发展,即免疫相关不良事件。罕见的免疫相关不良事件的组合偶尔会在同一患者中同时观察到。我们提出的情况下,66岁男性鳞状非小细胞肺癌谁提出了急诊科呼吸困难和呼吸衰竭。影像学表现与肺栓塞和非特异性间质性肺炎一致。在此事件发生前一个月,在使用派姆单抗治疗21个周期后,他被诊断为大疱性类天疱疮。放射学检查结果,对抗生素缺乏反应,微生物检查阴性,以及对皮质类固醇的良好反应,确定了派姆单抗诱导肺炎的诊断。大疱性类天疱疮和继发于派姆单抗的肺炎合并是罕见的;文献中只有少数病例报告。因此,该病例强调了同一患者发生多种免疫相关不良事件的可能性。排除具有类似临床表现的感染性疾病和其他免疫紊乱是对免疫相关不良事件做出最终诊断并开始适当治疗的必要条件。血清学、组织病理学和直接免疫荧光有助于免疫相关性大疱性类天疱疮的诊断;鉴别诊断包括其他类天疱疮或苔藓样疾病、Stevens-Johnson综合征/中毒性表皮坏死松解、伴嗜酸性粒细胞增多和全身症状的药物反应。影像学、微生物学检查和支气管镜检查(如果可能)证实免疫相关性肺炎的诊断,应与急性冠状动脉综合征、心源性肺水肿、肺栓塞、肿瘤进展和下呼吸道感染(特别是免疫功能低下患者的肺囊虫肺炎)相鉴别。对这些病例的管理需要跨学科的方法。
本文章由计算机程序翻译,如有差异,请以英文原文为准。
求助全文
约1分钟内获得全文 求助全文
来源期刊
CiteScore
1.10
自引率
0.00%
发文量
0
×
引用
GB/T 7714-2015
复制
MLA
复制
APA
复制
导出至
BibTeX EndNote RefMan NoteFirst NoteExpress
×
提示
您的信息不完整,为了账户安全,请先补充。
现在去补充
×
提示
您因"违规操作"
具体请查看互助需知
我知道了
×
提示
确定
请完成安全验证×
copy
已复制链接
快去分享给好友吧!
我知道了
右上角分享
点击右上角分享
0
联系我们:info@booksci.cn Book学术提供免费学术资源搜索服务,方便国内外学者检索中英文文献。致力于提供最便捷和优质的服务体验。 Copyright © 2023 布克学术 All rights reserved.
京ICP备2023020795号-1
ghs 京公网安备 11010802042870号
Book学术文献互助
Book学术文献互助群
群 号:604180095
Book学术官方微信