Multiple bronchopleural fistulas resolved with combination stent therapy.

IF 2.3 4区 医学 Q3 CARDIAC & CARDIOVASCULAR SYSTEMS
Annals of Thoracic Medicine Pub Date : 2025-01-01 Epub Date: 2024-10-23 DOI:10.4103/atm.atm_101_24
Aga Jimu, Xiuli Liu, Yingqi Fan, Pengfei Yu
{"title":"Multiple bronchopleural fistulas resolved with combination stent therapy.","authors":"Aga Jimu, Xiuli Liu, Yingqi Fan, Pengfei Yu","doi":"10.4103/atm.atm_101_24","DOIUrl":null,"url":null,"abstract":"<p><p>Bronchopleural fistula (BPF) is a rare yet severe complication following lobectomy, with no standardized treatment protocol established. We present a case of a 65-year-old male with chronic obstructive pulmonary disease who developed multiple BPFs postresection of the right lower lobe due to lung cancer and with tumor recurrence and metastasis. We employed a comprehensive management strategy comprising rigorous infection control, meticulous chest drainage, antitumor treatment, and targeted deployment of bronchial stents. This approach not only resolved the BPFs but also achieved a complete response of the lung cancer, extending progression-free survival to over 3 years.</p>","PeriodicalId":50760,"journal":{"name":"Annals of Thoracic Medicine","volume":"20 1","pages":"82-85"},"PeriodicalIF":2.3000,"publicationDate":"2025-01-01","publicationTypes":"Journal Article","fieldsOfStudy":null,"isOpenAccess":false,"openAccessPdf":"https://www.ncbi.nlm.nih.gov/pmc/articles/PMC11804959/pdf/","citationCount":"0","resultStr":null,"platform":"Semanticscholar","paperid":null,"PeriodicalName":"Annals of Thoracic Medicine","FirstCategoryId":"3","ListUrlMain":"https://doi.org/10.4103/atm.atm_101_24","RegionNum":4,"RegionCategory":"医学","ArticlePicture":[],"TitleCN":null,"AbstractTextCN":null,"PMCID":null,"EPubDate":"2024/10/23 0:00:00","PubModel":"Epub","JCR":"Q3","JCRName":"CARDIAC & CARDIOVASCULAR SYSTEMS","Score":null,"Total":0}
引用次数: 0

Abstract

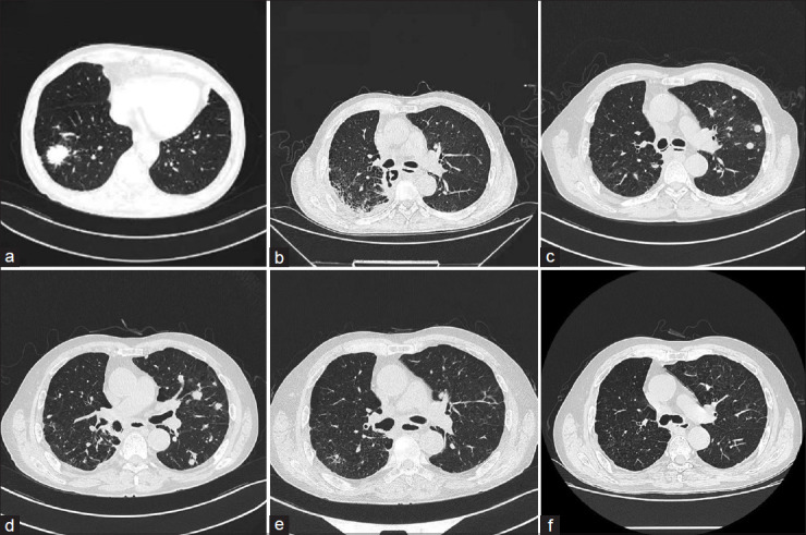
Bronchopleural fistula (BPF) is a rare yet severe complication following lobectomy, with no standardized treatment protocol established. We present a case of a 65-year-old male with chronic obstructive pulmonary disease who developed multiple BPFs postresection of the right lower lobe due to lung cancer and with tumor recurrence and metastasis. We employed a comprehensive management strategy comprising rigorous infection control, meticulous chest drainage, antitumor treatment, and targeted deployment of bronchial stents. This approach not only resolved the BPFs but also achieved a complete response of the lung cancer, extending progression-free survival to over 3 years.

Abstract Image

Abstract Image

Abstract Image

联合支架治疗多发性支气管胸膜瘘。
支气管胸膜瘘(BPF)是肺叶切除术后罕见但严重的并发症,目前尚无标准化的治疗方案。我们报告一例65岁男性慢性阻塞性肺疾病患者,因肺癌切除右下叶后出现多发BPFs,并伴有肿瘤复发和转移。我们采用了全面的治疗策略,包括严格的感染控制,细致的胸腔引流,抗肿瘤治疗和有针对性的支气管支架部署。该方法不仅解决了BPFs,而且实现了肺癌的完全缓解,将无进展生存期延长至3年以上。
本文章由计算机程序翻译,如有差异,请以英文原文为准。
求助全文
约1分钟内获得全文 求助全文
来源期刊
Annals of Thoracic Medicine
Annals of Thoracic Medicine CARDIAC & CARDIOVASCULAR SYSTEMS-RESPIRATORY SYSTEM
CiteScore
4.10
自引率
4.30%
发文量
19
审稿时长
>12 weeks
期刊介绍: The journal will cover studies related to multidisciplinary specialties of chest medicine, such as adult and pediatrics pulmonology, thoracic surgery, critical care medicine, respiratory care, transplantation, sleep medicine, related basic medical sciences, and more. The journal also features basic science, special reports, case reports, board review , and more. Editorials and communications to the editor that explore controversial issues and encourage further discussion by physicians dealing with chest medicine.
×
引用
GB/T 7714-2015
复制
MLA
复制
APA
复制
导出至
BibTeX EndNote RefMan NoteFirst NoteExpress
×
提示
您的信息不完整,为了账户安全,请先补充。
现在去补充
×
提示
您因"违规操作"
具体请查看互助需知
我知道了
×
提示
确定
请完成安全验证×
copy
已复制链接
快去分享给好友吧!
我知道了
右上角分享
点击右上角分享
0
联系我们:info@booksci.cn Book学术提供免费学术资源搜索服务,方便国内外学者检索中英文文献。致力于提供最便捷和优质的服务体验。 Copyright © 2023 布克学术 All rights reserved.
京ICP备2023020795号-1
ghs 京公网安备 11010802042870号
Book学术文献互助
Book学术文献互助群
群 号:604180095
Book学术官方微信