A case report of pulmonary paragonimiasis diagnosed via the deterioration of pulmonary cavities during high-dose corticosteroid therapy for chronic eosinophilic pneumonia.

IF 2.3 4区 医学 Q3 CARDIAC & CARDIOVASCULAR SYSTEMS
Annals of Thoracic Medicine Pub Date : 2025-01-01 Epub Date: 2025-01-11 DOI:10.4103/atm.atm_146_24
Takehiro Hashimoto, Akira Nishizono, Kazufumi Hiramatsu
{"title":"A case report of pulmonary paragonimiasis diagnosed via the deterioration of pulmonary cavities during high-dose corticosteroid therapy for chronic eosinophilic pneumonia.","authors":"Takehiro Hashimoto, Akira Nishizono, Kazufumi Hiramatsu","doi":"10.4103/atm.atm_146_24","DOIUrl":null,"url":null,"abstract":"<p><p>A 32-year-old Chinese woman with a cough and bloody sputum was diagnosed with chronic eosinophilic pneumonia. After starting corticosteroid therapy, chest radiography showed improvement in the bilateral infiltrative shadow. However, chest image findings showed worsening of the bilateral infiltrative shadow and pulmonary cavities during the 20 mg/day of oral prednisolone therapy. Transbronchial lung biopsy and bronchoalveolar lavage were repeated, and the patient was diagnosed with pulmonary paragonimiasis. After starting praziquantel treatment, chest radiography findings and clinical symptoms improved. Careful follow-up during corticosteroid therapy is important to judge whether transient improvement and true deterioration of radiological findings.</p>","PeriodicalId":50760,"journal":{"name":"Annals of Thoracic Medicine","volume":"20 1","pages":"74-77"},"PeriodicalIF":2.3000,"publicationDate":"2025-01-01","publicationTypes":"Journal Article","fieldsOfStudy":null,"isOpenAccess":false,"openAccessPdf":"https://www.ncbi.nlm.nih.gov/pmc/articles/PMC11804950/pdf/","citationCount":"0","resultStr":null,"platform":"Semanticscholar","paperid":null,"PeriodicalName":"Annals of Thoracic Medicine","FirstCategoryId":"3","ListUrlMain":"https://doi.org/10.4103/atm.atm_146_24","RegionNum":4,"RegionCategory":"医学","ArticlePicture":[],"TitleCN":null,"AbstractTextCN":null,"PMCID":null,"EPubDate":"2025/1/11 0:00:00","PubModel":"Epub","JCR":"Q3","JCRName":"CARDIAC & CARDIOVASCULAR SYSTEMS","Score":null,"Total":0}
引用次数: 0

Abstract

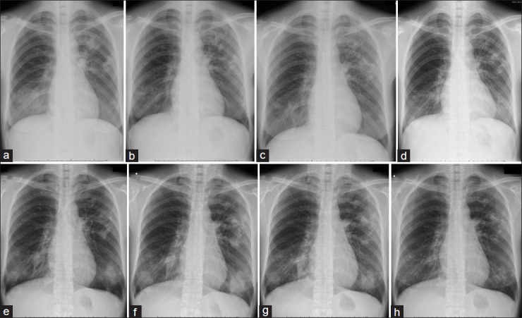
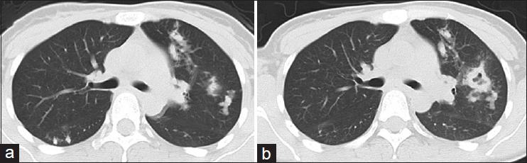
A 32-year-old Chinese woman with a cough and bloody sputum was diagnosed with chronic eosinophilic pneumonia. After starting corticosteroid therapy, chest radiography showed improvement in the bilateral infiltrative shadow. However, chest image findings showed worsening of the bilateral infiltrative shadow and pulmonary cavities during the 20 mg/day of oral prednisolone therapy. Transbronchial lung biopsy and bronchoalveolar lavage were repeated, and the patient was diagnosed with pulmonary paragonimiasis. After starting praziquantel treatment, chest radiography findings and clinical symptoms improved. Careful follow-up during corticosteroid therapy is important to judge whether transient improvement and true deterioration of radiological findings.

Abstract Image

Abstract Image

Abstract Image

慢性嗜酸性粒细胞性肺炎的高剂量皮质类固醇治疗期间通过肺腔恶化诊断肺吸虫病1例报告。
一名32岁中国女性因咳嗽和痰血被诊断为慢性嗜酸性粒细胞性肺炎。开始皮质类固醇治疗后,胸片显示双侧浸润影改善。然而,在口服强的松龙20mg /d治疗期间,胸部图像显示双侧浸润阴影和肺腔恶化。经支气管肺活检及支气管肺泡灌洗,诊断为肺吸虫病。开始吡喹酮治疗后,胸片表现和临床症状均有所改善。在皮质类固醇治疗期间的仔细随访对于判断放射学表现是否有短暂改善和真正恶化是很重要的。
本文章由计算机程序翻译,如有差异,请以英文原文为准。
求助全文
约1分钟内获得全文 求助全文
来源期刊
Annals of Thoracic Medicine
Annals of Thoracic Medicine CARDIAC & CARDIOVASCULAR SYSTEMS-RESPIRATORY SYSTEM
CiteScore
4.10
自引率
4.30%
发文量
19
审稿时长
>12 weeks
期刊介绍: The journal will cover studies related to multidisciplinary specialties of chest medicine, such as adult and pediatrics pulmonology, thoracic surgery, critical care medicine, respiratory care, transplantation, sleep medicine, related basic medical sciences, and more. The journal also features basic science, special reports, case reports, board review , and more. Editorials and communications to the editor that explore controversial issues and encourage further discussion by physicians dealing with chest medicine.
×
引用
GB/T 7714-2015
复制
MLA
复制
APA
复制
导出至
BibTeX EndNote RefMan NoteFirst NoteExpress
×
提示
您的信息不完整,为了账户安全,请先补充。
现在去补充
×
提示
您因"违规操作"
具体请查看互助需知
我知道了
×
提示
确定
请完成安全验证×
copy
已复制链接
快去分享给好友吧!
我知道了
右上角分享
点击右上角分享
0
联系我们:info@booksci.cn Book学术提供免费学术资源搜索服务,方便国内外学者检索中英文文献。致力于提供最便捷和优质的服务体验。 Copyright © 2023 布克学术 All rights reserved.
京ICP备2023020795号-1
ghs 京公网安备 11010802042870号
Book学术文献互助
Book学术文献互助群
群 号:604180095
Book学术官方微信