Aberrant Right Subclavian Arteries in Dogs Have a Prevalence of 1.2% and Are More Likely to be an Incidental Finding on Computed Tomographic Studies of the Thorax.

IF 1.5 2区 农林科学 Q2 VETERINARY SCIENCES
Coleen Jones, Julius Klever, Alessia Cordella, Virginie Fouriez-Lablée, Thom C Watton, Francisco Llabres-Diaz
{"title":"Aberrant Right Subclavian Arteries in Dogs Have a Prevalence of 1.2% and Are More Likely to be an Incidental Finding on Computed Tomographic Studies of the Thorax.","authors":"Coleen Jones, Julius Klever, Alessia Cordella, Virginie Fouriez-Lablée, Thom C Watton, Francisco Llabres-Diaz","doi":"10.1111/vru.70011","DOIUrl":null,"url":null,"abstract":"<p><p>Aberrant right subclavian arteries (ARSAs) are a form of vascular ring anomaly (VRA) in dogs and the most common VRA in people. To date, there has been no large-scale study on ARSA in dogs and their potential clinical significance. For part one, a single-center retrospective observational study was performed to determine the prevalence of ARSAs in a population of 1000 dogs undergoing contrast-enhanced CT for various reasons. For part two, further canine ARSA cases were collected to characterize their imaging features further and determine whether any imaging findings were more frequent in dogs with clinical signs attributed to a VRA. The prevalence of ARSA was 1.2% (12/1000). For part two, out of a total of 37 dogs with ARSA, this finding was thought to be incidental in 28 cases (75.6%), clinically relevant in 1 case (2.7%), and potentially relevant in 8 cases (21.6%). Cranial esophageal dilation with gas and fluid and esophageal compression at the site of the ARSA crossing the esophagus was found in the case where the ARSA was considered relevant. Esophageal dilation with esophageal compression by the ARSA was also more frequent in the potentially relevant group. Our study shows that an ARSA is more likely to be an incidental finding; however, due to the low number of cases where the ARSA was considered relevant, no specific imaging findings were found that could help determine their clinical relevance.</p>","PeriodicalId":23581,"journal":{"name":"Veterinary Radiology & Ultrasound","volume":"66 2","pages":"e70011"},"PeriodicalIF":1.5000,"publicationDate":"2025-03-01","publicationTypes":"Journal Article","fieldsOfStudy":null,"isOpenAccess":false,"openAccessPdf":"https://www.ncbi.nlm.nih.gov/pmc/articles/PMC11808225/pdf/","citationCount":"0","resultStr":null,"platform":"Semanticscholar","paperid":null,"PeriodicalName":"Veterinary Radiology & Ultrasound","FirstCategoryId":"97","ListUrlMain":"https://doi.org/10.1111/vru.70011","RegionNum":2,"RegionCategory":"农林科学","ArticlePicture":[],"TitleCN":null,"AbstractTextCN":null,"PMCID":null,"EPubDate":"","PubModel":"","JCR":"Q2","JCRName":"VETERINARY SCIENCES","Score":null,"Total":0}
引用次数: 0

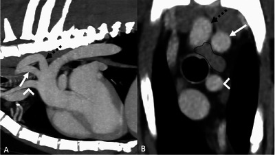
Abstract

Aberrant right subclavian arteries (ARSAs) are a form of vascular ring anomaly (VRA) in dogs and the most common VRA in people. To date, there has been no large-scale study on ARSA in dogs and their potential clinical significance. For part one, a single-center retrospective observational study was performed to determine the prevalence of ARSAs in a population of 1000 dogs undergoing contrast-enhanced CT for various reasons. For part two, further canine ARSA cases were collected to characterize their imaging features further and determine whether any imaging findings were more frequent in dogs with clinical signs attributed to a VRA. The prevalence of ARSA was 1.2% (12/1000). For part two, out of a total of 37 dogs with ARSA, this finding was thought to be incidental in 28 cases (75.6%), clinically relevant in 1 case (2.7%), and potentially relevant in 8 cases (21.6%). Cranial esophageal dilation with gas and fluid and esophageal compression at the site of the ARSA crossing the esophagus was found in the case where the ARSA was considered relevant. Esophageal dilation with esophageal compression by the ARSA was also more frequent in the potentially relevant group. Our study shows that an ARSA is more likely to be an incidental finding; however, due to the low number of cases where the ARSA was considered relevant, no specific imaging findings were found that could help determine their clinical relevance.

Abstract Image

Abstract Image

Abstract Image

狗的右锁骨下动脉异常发生率为1.2%,更可能是胸部计算机断层扫描的偶然发现。
右锁骨下动脉异常(ARSAs)是犬类血管环异常(VRA)的一种形式,也是人类最常见的VRA。迄今为止,还没有对狗的ARSA及其潜在的临床意义进行大规模的研究。在第一部分中,我们进行了一项单中心回顾性观察性研究,以确定由于各种原因接受对比增强CT扫描的1000只狗中arsa的患病率。在第二部分中,进一步收集犬类ARSA病例,进一步表征其影像学特征,并确定在有VRA临床症状的犬中是否有更频繁的影像学发现。ARSA患病率为1.2%(12/1000)。在第二部分中,在37只患ARSA的狗中,这一发现被认为在28例(75.6%)中是偶然的,在1例(2.7%)中是临床相关的,在8例(21.6%)中是潜在相关的。在认为与ARSA相关的病例中,可在ARSA穿过食管的部位发现伴有气体和液体的颅食管扩张和食管压迫。在潜在相关组中,ARSA引起的食管扩张伴食管压迫也更为常见。我们的研究表明ARSA更有可能是偶然发现的;然而,由于认为ARSA相关的病例较少,因此没有发现可以帮助确定其临床相关性的特定影像学结果。
本文章由计算机程序翻译,如有差异,请以英文原文为准。
求助全文
约1分钟内获得全文 求助全文
来源期刊
Veterinary Radiology & Ultrasound
Veterinary Radiology & Ultrasound 农林科学-兽医学
CiteScore
2.40
自引率
17.60%
发文量
133
审稿时长
8-16 weeks
期刊介绍: Veterinary Radiology & Ultrasound is a bimonthly, international, peer-reviewed, research journal devoted to the fields of veterinary diagnostic imaging and radiation oncology. Established in 1958, it is owned by the American College of Veterinary Radiology and is also the official journal for six affiliate veterinary organizations. Veterinary Radiology & Ultrasound is represented on the International Committee of Medical Journal Editors, World Association of Medical Editors, and Committee on Publication Ethics. The mission of Veterinary Radiology & Ultrasound is to serve as a leading resource for high quality articles that advance scientific knowledge and standards of clinical practice in the areas of veterinary diagnostic radiology, computed tomography, magnetic resonance imaging, ultrasonography, nuclear imaging, radiation oncology, and interventional radiology. Manuscript types include original investigations, imaging diagnosis reports, review articles, editorials and letters to the Editor. Acceptance criteria include originality, significance, quality, reader interest, composition and adherence to author guidelines.
×
引用
GB/T 7714-2015
复制
MLA
复制
APA
复制
导出至
BibTeX EndNote RefMan NoteFirst NoteExpress
×
提示
您的信息不完整,为了账户安全,请先补充。
现在去补充
×
提示
您因"违规操作"
具体请查看互助需知
我知道了
×
提示
确定
请完成安全验证×
copy
已复制链接
快去分享给好友吧!
我知道了
右上角分享
点击右上角分享
0
联系我们:info@booksci.cn Book学术提供免费学术资源搜索服务,方便国内外学者检索中英文文献。致力于提供最便捷和优质的服务体验。 Copyright © 2023 布克学术 All rights reserved.
京ICP备2023020795号-1
ghs 京公网安备 11010802042870号
Book学术文献互助
Book学术文献互助群
群 号:604180095
Book学术官方微信