A case report of fracture-related infection with Metamycoplasma hominis in an immunocompetent patient.

IF 2.8 Q3 INFECTIOUS DISEASES
Journal of Bone and Joint Infection Pub Date : 2024-12-05 eCollection Date: 2024-01-01 DOI:10.5194/jbji-9-271-2024
Karishma Gokani, Prabu Balasubramanian, Edward Matthews, Dunisha Samarasinghe
{"title":"A case report of fracture-related infection with <i>Metamycoplasma hominis</i> in an immunocompetent patient.","authors":"Karishma Gokani, Prabu Balasubramanian, Edward Matthews, Dunisha Samarasinghe","doi":"10.5194/jbji-9-271-2024","DOIUrl":null,"url":null,"abstract":"<p><p>We report a case of post-traumatic <i>Metamycoplasma hominis</i> fracture-related infection of the right femur in a young male with no identified immunodeficiency. Treatment required multiple washouts and femoral nail revision, combined with 10 weeks of treatment with doxycycline and clindamycin.</p>","PeriodicalId":15271,"journal":{"name":"Journal of Bone and Joint Infection","volume":"9 6","pages":"271-275"},"PeriodicalIF":2.8000,"publicationDate":"2024-12-05","publicationTypes":"Journal Article","fieldsOfStudy":null,"isOpenAccess":false,"openAccessPdf":"https://www.ncbi.nlm.nih.gov/pmc/articles/PMC11799765/pdf/","citationCount":"0","resultStr":null,"platform":"Semanticscholar","paperid":null,"PeriodicalName":"Journal of Bone and Joint Infection","FirstCategoryId":"1085","ListUrlMain":"https://doi.org/10.5194/jbji-9-271-2024","RegionNum":0,"RegionCategory":null,"ArticlePicture":[],"TitleCN":null,"AbstractTextCN":null,"PMCID":null,"EPubDate":"2024/1/1 0:00:00","PubModel":"eCollection","JCR":"Q3","JCRName":"INFECTIOUS DISEASES","Score":null,"Total":0}
引用次数: 0

Abstract

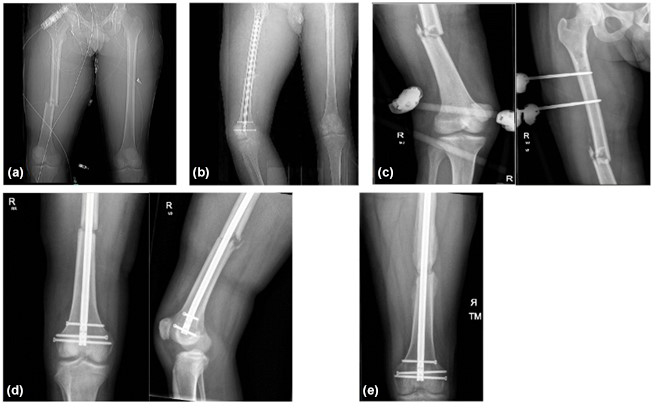
We report a case of post-traumatic Metamycoplasma hominis fracture-related infection of the right femur in a young male with no identified immunodeficiency. Treatment required multiple washouts and femoral nail revision, combined with 10 weeks of treatment with doxycycline and clindamycin.

Abstract Image

Abstract Image

1例免疫功能正常的人型元支原体骨折相关感染报告。
我们报告一例创伤后人类元支原体骨折相关感染的右股骨在一个年轻的男性没有确定的免疫缺陷。治疗需要多次冲洗和股甲翻修,并联合强力霉素和克林霉素治疗10周。
本文章由计算机程序翻译,如有差异,请以英文原文为准。
求助全文
约1分钟内获得全文 求助全文
来源期刊
CiteScore
3.70
自引率
0.00%
发文量
29
审稿时长
12 weeks
×
引用
GB/T 7714-2015
复制
MLA
复制
APA
复制
导出至
BibTeX EndNote RefMan NoteFirst NoteExpress
×
提示
您的信息不完整,为了账户安全,请先补充。
现在去补充
×
提示
您因"违规操作"
具体请查看互助需知
我知道了
×
提示
确定
请完成安全验证×
copy
已复制链接
快去分享给好友吧!
我知道了
右上角分享
点击右上角分享
0
联系我们:info@booksci.cn Book学术提供免费学术资源搜索服务,方便国内外学者检索中英文文献。致力于提供最便捷和优质的服务体验。 Copyright © 2023 布克学术 All rights reserved.
京ICP备2023020795号-1
ghs 京公网安备 11010802042870号
Book学术文献互助
Book学术文献互助群
群 号:604180095
Book学术官方微信