A case of lung adenocarcinoma expressing carbonic anhydrase IX and cluster of differentiation 10 antigen combined with renal clear cell carcinoma.

IF 3.1 4区 医学 Q2 PATHOLOGY
Cytojournal Pub Date : 2024-12-12 eCollection Date: 2024-01-01 DOI:10.25259/Cytojournal_106_2024
Yunjun Wang, Ting Wang, Hengming Zhang, Guohua Yu
{"title":"A case of lung adenocarcinoma expressing carbonic anhydrase IX and cluster of differentiation 10 antigen combined with renal clear cell carcinoma.","authors":"Yunjun Wang, Ting Wang, Hengming Zhang, Guohua Yu","doi":"10.25259/Cytojournal_106_2024","DOIUrl":null,"url":null,"abstract":"<p><p>Few reports exist on dual primary lung and kidney tumors. Lung adenocarcinoma and renal clear-cell carcinoma are usually distinguished based on histological morphology and characteristic immunohistochemistry. This study describes a patient with concurrent lung adenocarcinoma and clear cell renal cell carcinoma, notable for their shared expression of both carbonic anhydrase IX (CA9) and cluster of differentiation 10 (CD10) markers, a phenomenon that has remained unreported in existing literature. We made a correct diagnosis based on histological morphology and immunohistochemical results, discussed the significance of CA9 and CD10 expression in lung adenocarcinoma, and provided insights for differential diagnosis, intending to offer pathologists relevant insights for diagnosing multiple primary malignant neoplasms.</p>","PeriodicalId":49082,"journal":{"name":"Cytojournal","volume":"21 ","pages":"62"},"PeriodicalIF":3.1000,"publicationDate":"2024-12-12","publicationTypes":"Journal Article","fieldsOfStudy":null,"isOpenAccess":false,"openAccessPdf":"https://www.ncbi.nlm.nih.gov/pmc/articles/PMC11801657/pdf/","citationCount":"0","resultStr":null,"platform":"Semanticscholar","paperid":null,"PeriodicalName":"Cytojournal","FirstCategoryId":"3","ListUrlMain":"https://doi.org/10.25259/Cytojournal_106_2024","RegionNum":4,"RegionCategory":"医学","ArticlePicture":[],"TitleCN":null,"AbstractTextCN":null,"PMCID":null,"EPubDate":"2024/1/1 0:00:00","PubModel":"eCollection","JCR":"Q2","JCRName":"PATHOLOGY","Score":null,"Total":0}
引用次数: 0

Abstract

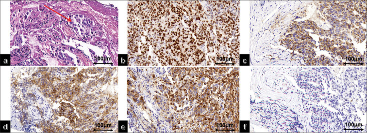
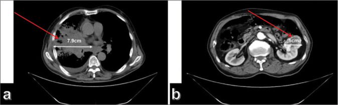
Few reports exist on dual primary lung and kidney tumors. Lung adenocarcinoma and renal clear-cell carcinoma are usually distinguished based on histological morphology and characteristic immunohistochemistry. This study describes a patient with concurrent lung adenocarcinoma and clear cell renal cell carcinoma, notable for their shared expression of both carbonic anhydrase IX (CA9) and cluster of differentiation 10 (CD10) markers, a phenomenon that has remained unreported in existing literature. We made a correct diagnosis based on histological morphology and immunohistochemical results, discussed the significance of CA9 and CD10 expression in lung adenocarcinoma, and provided insights for differential diagnosis, intending to offer pathologists relevant insights for diagnosing multiple primary malignant neoplasms.

Abstract Image

Abstract Image

Abstract Image

表达碳酸酐酶IX和分化10抗原簇的肺腺癌合并肾透明细胞癌1例。
关于肺和肾双原发肿瘤的报道很少。肺腺癌和肾透明细胞癌通常根据组织学形态和免疫组织化学特征来区分。本研究描述了一例同时患有肺腺癌和透明细胞肾细胞癌的患者,值得注意的是他们的碳酸酐酶IX (CA9)和分化簇10 (CD10)标记物的共同表达,这一现象在现有文献中尚未报道。我们根据组织形态学和免疫组化结果做出正确诊断,探讨CA9和CD10表达在肺腺癌中的意义,并为鉴别诊断提供见解,旨在为病理学家诊断多发原发恶性肿瘤提供相关见解。
本文章由计算机程序翻译,如有差异,请以英文原文为准。
求助全文
约1分钟内获得全文 求助全文
来源期刊
Cytojournal
Cytojournal PATHOLOGY-
CiteScore
2.20
自引率
42.10%
发文量
56
审稿时长
>12 weeks
期刊介绍: The CytoJournal is an open-access peer-reviewed journal committed to publishing high-quality articles in the field of Diagnostic Cytopathology including Molecular aspects. The journal is owned by the Cytopathology Foundation and published by the Scientific Scholar.
×
引用
GB/T 7714-2015
复制
MLA
复制
APA
复制
导出至
BibTeX EndNote RefMan NoteFirst NoteExpress
×
提示
您的信息不完整,为了账户安全,请先补充。
现在去补充
×
提示
您因"违规操作"
具体请查看互助需知
我知道了
×
提示
确定
请完成安全验证×
copy
已复制链接
快去分享给好友吧!
我知道了
右上角分享
点击右上角分享
0
联系我们:info@booksci.cn Book学术提供免费学术资源搜索服务,方便国内外学者检索中英文文献。致力于提供最便捷和优质的服务体验。 Copyright © 2023 布克学术 All rights reserved.
京ICP备2023020795号-1
ghs 京公网安备 11010802042870号
Book学术文献互助
Book学术文献互助群
群 号:604180095
Book学术官方微信