Percutaneous large-bore mechanical thrombectomy for macroscopic fat pulmonary embolism: a case report.

IF 1.5 Q3 CARDIAC & CARDIOVASCULAR SYSTEMS
James M Chan, Zeyad Aljeboori, Angajendra Ghosh, Benjamin Peake, Moira N Rush, Alexandra Du Guesclin, Hui Yin Lim, Miranda Siemienowicz, Hong Kuan Kok, Goran Mitreski
{"title":"Percutaneous large-bore mechanical thrombectomy for macroscopic fat pulmonary embolism: a case report.","authors":"James M Chan, Zeyad Aljeboori, Angajendra Ghosh, Benjamin Peake, Moira N Rush, Alexandra Du Guesclin, Hui Yin Lim, Miranda Siemienowicz, Hong Kuan Kok, Goran Mitreski","doi":"10.1186/s42155-025-00521-6","DOIUrl":null,"url":null,"abstract":"<p><strong>Background: </strong>Macroscopic fat pulmonary embolism is extremely uncommon. Most cases occur in the context of fat grafting or long bone fractures. Macroscopic fat pulmonary embolism may be associated with cardiopulmonary compromise and is associated with high mortality. Mechanical thrombectomy is an emerging technique in interventional radiology, primarily investigated as a therapeutic approach for thrombotic pulmonary embolism.</p><p><strong>Case presentation: </strong>We present a case report of a 73-year-old woman with macroscopic fat pulmonary embolism after a neck of femur fracture. Initially, she had severe circulatory shock, requiring multiple vasopressors and admission to the Intensive Care Unit. A percutaneous large-bore mechanical thrombectomy was performed, after which notable improvements to haemodynamic function and overall clinical trajectory were observed.</p><p><strong>Conclusions: </strong>To our knowledge, this is the first report of mechanical thrombectomy in macroscopic fat pulmonary embolism. Further research is required to better delineate the role of mechanical thrombectomy in this rare condition.</p>","PeriodicalId":52351,"journal":{"name":"CVIR Endovascular","volume":"8 1","pages":"10"},"PeriodicalIF":1.5000,"publicationDate":"2025-02-06","publicationTypes":"Journal Article","fieldsOfStudy":null,"isOpenAccess":false,"openAccessPdf":"https://www.ncbi.nlm.nih.gov/pmc/articles/PMC11799482/pdf/","citationCount":"0","resultStr":null,"platform":"Semanticscholar","paperid":null,"PeriodicalName":"CVIR Endovascular","FirstCategoryId":"1085","ListUrlMain":"https://doi.org/10.1186/s42155-025-00521-6","RegionNum":0,"RegionCategory":null,"ArticlePicture":[],"TitleCN":null,"AbstractTextCN":null,"PMCID":null,"EPubDate":"","PubModel":"","JCR":"Q3","JCRName":"CARDIAC & CARDIOVASCULAR SYSTEMS","Score":null,"Total":0}
引用次数: 0

Abstract

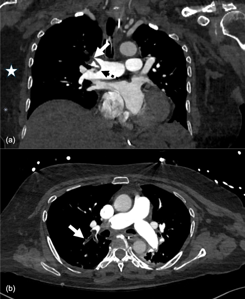
Background: Macroscopic fat pulmonary embolism is extremely uncommon. Most cases occur in the context of fat grafting or long bone fractures. Macroscopic fat pulmonary embolism may be associated with cardiopulmonary compromise and is associated with high mortality. Mechanical thrombectomy is an emerging technique in interventional radiology, primarily investigated as a therapeutic approach for thrombotic pulmonary embolism.

Case presentation: We present a case report of a 73-year-old woman with macroscopic fat pulmonary embolism after a neck of femur fracture. Initially, she had severe circulatory shock, requiring multiple vasopressors and admission to the Intensive Care Unit. A percutaneous large-bore mechanical thrombectomy was performed, after which notable improvements to haemodynamic function and overall clinical trajectory were observed.

Conclusions: To our knowledge, this is the first report of mechanical thrombectomy in macroscopic fat pulmonary embolism. Further research is required to better delineate the role of mechanical thrombectomy in this rare condition.

Abstract Image

Abstract Image

Abstract Image

经皮大口径机械取栓治疗肉眼可见的脂肪性肺栓塞1例。
背景:肉眼可见的脂肪性肺栓塞极为罕见。大多数病例发生在脂肪移植或长骨骨折的背景下。肉眼可见的脂肪性肺栓塞可能与心肺功能受损有关,并与高死亡率有关。机械取栓是介入放射学中的一项新兴技术,主要用于血栓性肺栓塞的治疗。病例介绍:我们报告一例73岁女性股骨颈骨折后出现肉眼可见的脂肪性肺栓塞。最初,她有严重的循环性休克,需要多种血管加压药物,并住进重症监护室。经皮大口径机械取栓后,血流动力学功能和整体临床轨迹均有明显改善。结论:据我们所知,这是首例机械取栓治疗宏观脂肪性肺栓塞的报道。需要进一步的研究来更好地描述机械取栓在这种罕见疾病中的作用。
本文章由计算机程序翻译,如有差异,请以英文原文为准。
求助全文
约1分钟内获得全文 求助全文
来源期刊
CVIR Endovascular
CVIR Endovascular Medicine-Radiology, Nuclear Medicine and Imaging
CiteScore
2.30
自引率
0.00%
发文量
59
×
引用
GB/T 7714-2015
复制
MLA
复制
APA
复制
导出至
BibTeX EndNote RefMan NoteFirst NoteExpress
×
提示
您的信息不完整,为了账户安全,请先补充。
现在去补充
×
提示
您因"违规操作"
具体请查看互助需知
我知道了
×
提示
确定
请完成安全验证×
copy
已复制链接
快去分享给好友吧!
我知道了
右上角分享
点击右上角分享
0
联系我们:info@booksci.cn Book学术提供免费学术资源搜索服务,方便国内外学者检索中英文文献。致力于提供最便捷和优质的服务体验。 Copyright © 2023 布克学术 All rights reserved.
京ICP备2023020795号-1
ghs 京公网安备 11010802042870号
Book学术文献互助
Book学术文献互助群
群 号:604180095
Book学术官方微信