First Transcatheter Valve-in-Valve Implantation With Myval Octacor Into a Failed Biological Prosthetic Aortic Valve in Serbia.

IF 1.4 Q3 CARDIAC & CARDIOVASCULAR SYSTEMS
Cardiology Research Pub Date : 2025-02-01 Epub Date: 2025-01-04 DOI:10.14740/cr1751
Valentina Balint Jovanovic, Mihajlo Farkic, Darko Boljevic, Milovan Bojic, Matija Furtula, Dragan Topic, Milan Dobric, Alfonso Ielasi, Vladimir Zobenica, Ida Subotic, Aleksandra Nikolic
{"title":"First Transcatheter Valve-in-Valve Implantation With Myval Octacor Into a Failed Biological Prosthetic Aortic Valve in Serbia.","authors":"Valentina Balint Jovanovic, Mihajlo Farkic, Darko Boljevic, Milovan Bojic, Matija Furtula, Dragan Topic, Milan Dobric, Alfonso Ielasi, Vladimir Zobenica, Ida Subotic, Aleksandra Nikolic","doi":"10.14740/cr1751","DOIUrl":null,"url":null,"abstract":"<p><p>The natural progression of bioprosthetic valve degeneration over time requires further interventions for those experiencing symptomatic prosthesis dysfunction. Transcatheter aortic valve replacement (TAVR) emerges as a promising therapeutic option to alleviate symptoms in such patients. The valve-in-valve (ViV) technique eliminates the necessity for repetitive open-heart surgical procedures, offering particular advantages for individuals with higher surgical risks. In this report, we describe the case of a 78-year-old female patient presenting with severe symptomatic aortic restenosis of a biological aortic valve implanted 5 years prior. Given the patient's high surgical risk, a transcatheter ViV implantation was chosen as the treatment approach. Utilizing a balloon-expandable valve, the intervention resulted in the successful implantation of a functional TAVR, resulting in symptom relief and enabling a fast discharge from the hospital.</p>","PeriodicalId":9424,"journal":{"name":"Cardiology Research","volume":"16 1","pages":"72-79"},"PeriodicalIF":1.4000,"publicationDate":"2025-02-01","publicationTypes":"Journal Article","fieldsOfStudy":null,"isOpenAccess":false,"openAccessPdf":"https://www.ncbi.nlm.nih.gov/pmc/articles/PMC11779679/pdf/","citationCount":"0","resultStr":null,"platform":"Semanticscholar","paperid":null,"PeriodicalName":"Cardiology Research","FirstCategoryId":"1085","ListUrlMain":"https://doi.org/10.14740/cr1751","RegionNum":0,"RegionCategory":null,"ArticlePicture":[],"TitleCN":null,"AbstractTextCN":null,"PMCID":null,"EPubDate":"2025/1/4 0:00:00","PubModel":"Epub","JCR":"Q3","JCRName":"CARDIAC & CARDIOVASCULAR SYSTEMS","Score":null,"Total":0}
引用次数: 0

Abstract

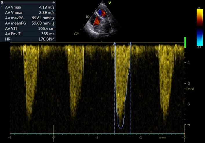
The natural progression of bioprosthetic valve degeneration over time requires further interventions for those experiencing symptomatic prosthesis dysfunction. Transcatheter aortic valve replacement (TAVR) emerges as a promising therapeutic option to alleviate symptoms in such patients. The valve-in-valve (ViV) technique eliminates the necessity for repetitive open-heart surgical procedures, offering particular advantages for individuals with higher surgical risks. In this report, we describe the case of a 78-year-old female patient presenting with severe symptomatic aortic restenosis of a biological aortic valve implanted 5 years prior. Given the patient's high surgical risk, a transcatheter ViV implantation was chosen as the treatment approach. Utilizing a balloon-expandable valve, the intervention resulted in the successful implantation of a functional TAVR, resulting in symptom relief and enabling a fast discharge from the hospital.

Abstract Image

Abstract Image

Abstract Image

塞尔维亚首例经导管瓣膜内植入Myval八瓣植入失败的生物假主动脉瓣。
随着时间的推移,生物假体瓣膜退化的自然进展需要对那些有症状的假体功能障碍的患者进行进一步的干预。经导管主动脉瓣置换术(TAVR)是缓解此类患者症状的一种有前景的治疗选择。瓣膜中瓣膜(ViV)技术消除了重复的心内直视手术的必要性,为手术风险较高的患者提供了特别的优势。在此报告中,我们描述了一例78岁的女性患者,在5年前植入的生物主动脉瓣后出现严重的症状性主动脉再狭窄。考虑到患者手术风险高,选择经导管ViV植入作为治疗方法。利用球囊可膨胀瓣膜,干预导致成功植入功能性TAVR,导致症状缓解并使患者快速出院。
本文章由计算机程序翻译,如有差异,请以英文原文为准。
求助全文
约1分钟内获得全文 求助全文
来源期刊
Cardiology Research
Cardiology Research CARDIAC & CARDIOVASCULAR SYSTEMS-
CiteScore
2.50
自引率
0.00%
发文量
42
期刊介绍: Cardiology Research is an open access, peer-reviewed, international journal. All submissions relating to basic research and clinical practice of cardiology and cardiovascular medicine are in this journal''s scope. This journal focuses on publishing original research and observations in all cardiovascular medicine aspects. Manuscript types include original article, review, case report, short communication, book review, letter to the editor.
×
引用
GB/T 7714-2015
复制
MLA
复制
APA
复制
导出至
BibTeX EndNote RefMan NoteFirst NoteExpress
×
提示
您的信息不完整,为了账户安全,请先补充。
现在去补充
×
提示
您因"违规操作"
具体请查看互助需知
我知道了
×
提示
确定
请完成安全验证×
copy
已复制链接
快去分享给好友吧!
我知道了
右上角分享
点击右上角分享
0
联系我们:info@booksci.cn Book学术提供免费学术资源搜索服务,方便国内外学者检索中英文文献。致力于提供最便捷和优质的服务体验。 Copyright © 2023 布克学术 All rights reserved.
京ICP备2023020795号-1
ghs 京公网安备 11010802042870号
Book学术文献互助
Book学术文献互助群
群 号:604180095
Book学术官方微信