Insufficiency fractures in patients with sacral chordoma treated with high-dose radiation therapy with and without resection.

IF 2.1
BJR open Pub Date : 2025-01-16 eCollection Date: 2025-01-01 DOI:10.1093/bjro/tzaf001
Vesna Miladinovic, Robert J P van der Wal, Natasha M Appelman-Dijkstra, Ana Navas Cañete, Wilco C Peul, Johan L Bloem, Augustinus D G Krol
{"title":"Insufficiency fractures in patients with sacral chordoma treated with high-dose radiation therapy with and without resection.","authors":"Vesna Miladinovic, Robert J P van der Wal, Natasha M Appelman-Dijkstra, Ana Navas Cañete, Wilco C Peul, Johan L Bloem, Augustinus D G Krol","doi":"10.1093/bjro/tzaf001","DOIUrl":null,"url":null,"abstract":"<p><strong>Objectives: </strong>Determine the incidence, location, and features of insufficiency fractures (IFs) in sacral chordoma patients treated with high-dose radiation therapy (HDR) with(out) resection, relative to radiation therapy type and irradiation plans.</p><p><strong>Methods: </strong>Clinical data, including details of all surgical procedures and radiotherapies of patients histologically diagnosed with sacral chordoma between 2008 and 2023 available at our database, were retrospectively reviewed. Inclusion criteria were as follows: availability of diagnostic, treatment planning and follow-up magnetic resonance and/or computed tomography scans, and completed treatment. Scans were re-evaluated for the presence and location of IF defined as linear abnormalities with(out) bone marrow oedema (BME)-like changes.</p><p><strong>Results: </strong>From 48 included patients (29 male, median age 66, range 27-85), 22 were diagnosed with 56 IF (45.8%). IF occurred 3-266 months following the treatment. All sacral and iliac bone IF had vertical components parallel to the SI joint. Twenty patients had bilateral and 16 unilateral IF. BME-like changes were visible in 46 IF (82.1%, 0.80, <i>P</i> ≤ .001). In 13/56 IF (23.2%), BME-like changes were seen prior to IF diagnosis; in only 1 patient, BME-like changes did not develop into an IF. Thirty-nine IF (84.7%) occurred within low-dose volume and 7 (15.3%) outside of irradiated volume in 16/44 irradiated patients. Six IF occurred in 1 patient treated with surgery only.</p><p><strong>Conclusions: </strong>Pelvic IFs are common in sacral chordoma patients treated with definitive or (neo)adjuvant HDR, occurring months to years following treatment. Not all IF occur in the irradiated volume.</p><p><strong>Advances in knowledge: </strong>When present, BME-like changes indicate risk of IF developing. IF do not heal over time.</p>","PeriodicalId":72419,"journal":{"name":"BJR open","volume":"7 1","pages":"tzaf001"},"PeriodicalIF":2.1000,"publicationDate":"2025-01-16","publicationTypes":"Journal Article","fieldsOfStudy":null,"isOpenAccess":false,"openAccessPdf":"https://www.ncbi.nlm.nih.gov/pmc/articles/PMC11780842/pdf/","citationCount":"0","resultStr":null,"platform":"Semanticscholar","paperid":null,"PeriodicalName":"BJR open","FirstCategoryId":"1085","ListUrlMain":"https://doi.org/10.1093/bjro/tzaf001","RegionNum":0,"RegionCategory":null,"ArticlePicture":[],"TitleCN":null,"AbstractTextCN":null,"PMCID":null,"EPubDate":"2025/1/1 0:00:00","PubModel":"eCollection","JCR":"","JCRName":"","Score":null,"Total":0}
引用次数: 0

Abstract

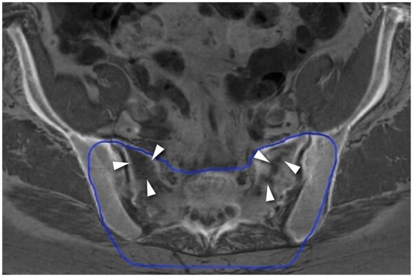
Objectives: Determine the incidence, location, and features of insufficiency fractures (IFs) in sacral chordoma patients treated with high-dose radiation therapy (HDR) with(out) resection, relative to radiation therapy type and irradiation plans.

Methods: Clinical data, including details of all surgical procedures and radiotherapies of patients histologically diagnosed with sacral chordoma between 2008 and 2023 available at our database, were retrospectively reviewed. Inclusion criteria were as follows: availability of diagnostic, treatment planning and follow-up magnetic resonance and/or computed tomography scans, and completed treatment. Scans were re-evaluated for the presence and location of IF defined as linear abnormalities with(out) bone marrow oedema (BME)-like changes.

Results: From 48 included patients (29 male, median age 66, range 27-85), 22 were diagnosed with 56 IF (45.8%). IF occurred 3-266 months following the treatment. All sacral and iliac bone IF had vertical components parallel to the SI joint. Twenty patients had bilateral and 16 unilateral IF. BME-like changes were visible in 46 IF (82.1%, 0.80, P ≤ .001). In 13/56 IF (23.2%), BME-like changes were seen prior to IF diagnosis; in only 1 patient, BME-like changes did not develop into an IF. Thirty-nine IF (84.7%) occurred within low-dose volume and 7 (15.3%) outside of irradiated volume in 16/44 irradiated patients. Six IF occurred in 1 patient treated with surgery only.

Conclusions: Pelvic IFs are common in sacral chordoma patients treated with definitive or (neo)adjuvant HDR, occurring months to years following treatment. Not all IF occur in the irradiated volume.

Advances in knowledge: When present, BME-like changes indicate risk of IF developing. IF do not heal over time.

Abstract Image

Abstract Image

Abstract Image

骶骨脊索瘤伴和不伴大剂量放疗治疗不全骨折的疗效。
目的:确定高剂量放射治疗(HDR)伴(外)切除的骶脊索瘤患者不全性骨折(if)的发生率、位置和特征,并与放射治疗类型和照射计划进行比较。方法:回顾性分析数据库中2008年至2023年组织学诊断为骶脊索瘤患者的临床资料,包括所有手术和放疗的细节。纳入标准如下:诊断的可用性,治疗计划和随访磁共振和/或计算机断层扫描,完成治疗。重新评估扫描以确定IF的存在和位置,IF定义为线性异常伴(外)骨髓水肿(BME)样变化。结果:在48例纳入的患者中(29例男性,中位年龄66岁,范围27-85岁),22例诊断为56例IF(45.8%)。IF发生在治疗后3-266个月。所有骶骨和髂骨IF都有平行于骶髂关节的垂直组件。20例为双侧IF, 16例为单侧IF。46例IF可见bme样改变(82.1%,0.80,P≤0.001)。在13/56 IF(23.2%)中,在IF诊断前发现bme样改变;只有1例患者,bme样改变未发展为IF。在16/44的放疗患者中,39例(84.7%)发生在低剂量体内,7例(15.3%)发生在照射体外。仅手术治疗的1例患者发生6例IF。结论:盆腔if在接受最终或(新)辅助HDR治疗的骶脊索瘤患者中很常见,发生在治疗后数月至数年。并不是所有的IF都发生在被照射的体积中。知识的进步:当出现bme样改变时,表明发生IF的风险。如果不愈合随着时间的推移。
本文章由计算机程序翻译,如有差异,请以英文原文为准。
求助全文
约1分钟内获得全文 求助全文
来源期刊
自引率
0.00%
发文量
0
审稿时长
18 weeks
×
引用
GB/T 7714-2015
复制
MLA
复制
APA
复制
导出至
BibTeX EndNote RefMan NoteFirst NoteExpress
×
提示
您的信息不完整,为了账户安全,请先补充。
现在去补充
×
提示
您因"违规操作"
具体请查看互助需知
我知道了
×
提示
确定
请完成安全验证×
copy
已复制链接
快去分享给好友吧!
我知道了
右上角分享
点击右上角分享
0
联系我们:info@booksci.cn Book学术提供免费学术资源搜索服务,方便国内外学者检索中英文文献。致力于提供最便捷和优质的服务体验。 Copyright © 2023 布克学术 All rights reserved.
京ICP备2023020795号-1
ghs 京公网安备 11010802042870号
Book学术文献互助
Book学术文献互助群
群 号:604180095
Book学术官方微信