Masquerading details behind a murmur and chest pain.

IF 2.3 Q3 EMERGENCY MEDICINE
Turkish Journal of Emergency Medicine Pub Date : 2025-01-02 eCollection Date: 2025-01-01 DOI:10.4103/tjem.tjem_64_24
Alejandro Narvaez Orozco, Alberto Navarro Navajas, Alejandra Ramirez Roldan, Camilo Lopez Ocampo, Juan Manuel Senior Sanchez
{"title":"Masquerading details behind a murmur and chest pain.","authors":"Alejandro Narvaez Orozco, Alberto Navarro Navajas, Alejandra Ramirez Roldan, Camilo Lopez Ocampo, Juan Manuel Senior Sanchez","doi":"10.4103/tjem.tjem_64_24","DOIUrl":null,"url":null,"abstract":"<p><p>Masquerading bundle branch block (MBBB) is a rare presentation of bifascicular blocks. It is the result of a right bundle branch block associated with an advanced left anterior fascicular block due to extensive damage to the conduction system. We present the case of a 75-year-old male with late onset presentation anterior wall myocardial infarction (MI) with ongoing ischemia (which evolved into a ventricular septal defect [VSD]). Electrocardiographically, the MBBB is characterized by a prominent R in V1, left axis deviation and absence of small S waves in I and aVL. Its presence confers a poor prognosis and high risk of progressing to advanced atrioventricular block (AAVB). A mortality rate between 18% and 38.9% has been found and 41.4%-59% of the patients develop AAVB requiring pacemaker implantation. To our knowledge, this is the first reported MBBB case in the setting of an MI complicated with VSD, demonstrating its association with the presence of critical anteroseptal ischemia. The patient rejected any kind of intervention, palliative care was offered, and he died 2 months later.</p>","PeriodicalId":46536,"journal":{"name":"Turkish Journal of Emergency Medicine","volume":"25 1","pages":"59-62"},"PeriodicalIF":2.3000,"publicationDate":"2025-01-02","publicationTypes":"Journal Article","fieldsOfStudy":null,"isOpenAccess":false,"openAccessPdf":"https://www.ncbi.nlm.nih.gov/pmc/articles/PMC11774424/pdf/","citationCount":"0","resultStr":null,"platform":"Semanticscholar","paperid":null,"PeriodicalName":"Turkish Journal of Emergency Medicine","FirstCategoryId":"1085","ListUrlMain":"https://doi.org/10.4103/tjem.tjem_64_24","RegionNum":0,"RegionCategory":null,"ArticlePicture":[],"TitleCN":null,"AbstractTextCN":null,"PMCID":null,"EPubDate":"2025/1/1 0:00:00","PubModel":"eCollection","JCR":"Q3","JCRName":"EMERGENCY MEDICINE","Score":null,"Total":0}
引用次数: 0

Abstract

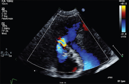
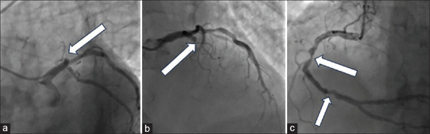
Masquerading bundle branch block (MBBB) is a rare presentation of bifascicular blocks. It is the result of a right bundle branch block associated with an advanced left anterior fascicular block due to extensive damage to the conduction system. We present the case of a 75-year-old male with late onset presentation anterior wall myocardial infarction (MI) with ongoing ischemia (which evolved into a ventricular septal defect [VSD]). Electrocardiographically, the MBBB is characterized by a prominent R in V1, left axis deviation and absence of small S waves in I and aVL. Its presence confers a poor prognosis and high risk of progressing to advanced atrioventricular block (AAVB). A mortality rate between 18% and 38.9% has been found and 41.4%-59% of the patients develop AAVB requiring pacemaker implantation. To our knowledge, this is the first reported MBBB case in the setting of an MI complicated with VSD, demonstrating its association with the presence of critical anteroseptal ischemia. The patient rejected any kind of intervention, palliative care was offered, and he died 2 months later.

Abstract Image

Abstract Image

Abstract Image

杂音和胸痛背后伪装的细节。
伪装束支阻滞(MBBB)是一种罕见的双束状阻滞。它是由于传导系统的广泛损伤而导致的右束支阻滞合并晚期左前束阻滞的结果。我们报告一例75岁男性迟发性前壁心肌梗死(MI)伴持续缺血(演变为室间隔缺损[VSD])。在心电图上,MBBB的特征是V1明显的R,左轴偏移,I和aVL没有小S波。它的存在导致预后不良和进展为晚期房室传导阻滞(AAVB)的高风险。死亡率在18% - 38.9%之间,41.4%-59%的患者发生AAVB,需要植入起搏器。据我们所知,这是第一例心肌梗死合并室间隔缺损的MBBB病例,表明其与严重室间隔缺血存在关联。患者拒绝任何干预,接受姑息治疗,2个月后死亡。
本文章由计算机程序翻译,如有差异,请以英文原文为准。
求助全文
约1分钟内获得全文 求助全文
来源期刊
CiteScore
1.70
自引率
0.00%
发文量
30
审稿时长
22 weeks
期刊介绍: The Turkish Journal of Emergency Medicine (Turk J Emerg Med) is an International, peer-reviewed, open-access journal that publishes clinical and experimental trials, case reports, invited reviews, case images, letters to the Editor, and interesting research conducted in all fields of Emergency Medicine. The Journal is the official scientific publication of the Emergency Medicine Association of Turkey (EMAT) and is printed four times a year, in January, April, July and October. The language of the journal is English. The Journal is based on independent and unbiased double-blinded peer-reviewed principles. Only unpublished papers that are not under review for publication elsewhere can be submitted. The authors are responsible for the scientific content of the material to be published. The Turkish Journal of Emergency Medicine reserves the right to request any research materials on which the paper is based. The Editorial Board of the Turkish Journal of Emergency Medicine and the Publisher adheres to the principles of the International Council of Medical Journal Editors, the World Association of Medical Editors, the Council of Science Editors, the Committee on Publication Ethics, the US National Library of Medicine, the US Office of Research Integrity, the European Association of Science Editors, and the International Society of Managing and Technical Editors.
×
引用
GB/T 7714-2015
复制
MLA
复制
APA
复制
导出至
BibTeX EndNote RefMan NoteFirst NoteExpress
×
提示
您的信息不完整,为了账户安全,请先补充。
现在去补充
×
提示
您因"违规操作"
具体请查看互助需知
我知道了
×
提示
确定
请完成安全验证×
copy
已复制链接
快去分享给好友吧!
我知道了
右上角分享
点击右上角分享
0
联系我们:info@booksci.cn Book学术提供免费学术资源搜索服务,方便国内外学者检索中英文文献。致力于提供最便捷和优质的服务体验。 Copyright © 2023 布克学术 All rights reserved.
京ICP备2023020795号-1
ghs 京公网安备 11010802042870号
Book学术文献互助
Book学术文献互助群
群 号:604180095
Book学术官方微信