Successful Endoscopic Management of Oxyntic Gland Adenoma: A Case Report.

IF 0.8 Q3 MEDICINE, GENERAL & INTERNAL
Rajarajeshwari Ramachandran, Tyler Grantham, Jeffrey Loeffler, Madhavi Reddy, Vinaya Gaduputi
{"title":"Successful Endoscopic Management of Oxyntic Gland Adenoma: A Case Report.","authors":"Rajarajeshwari Ramachandran, Tyler Grantham, Jeffrey Loeffler, Madhavi Reddy, Vinaya Gaduputi","doi":"10.1177/23247096251313729","DOIUrl":null,"url":null,"abstract":"<p><p>Oxyntic gland adenomas (OGAs) are benign gastric neoplasms composed of gland-forming epithelial cells with predominantly chief cell differentiation resembling oxyntic glands confined to the mucosa. If the tumor has submucosal invasion, it should be classified as gastric adenocarcinoma of fundic gland type. The OGAs can pose a diagnostic challenge, as they can resemble aggressive gastric neoplasms. There are no current guidelines on the management of OGA. Due to the relatively small size and low malignant potential, these lesions are typically managed endoscopically. In this case, we are reporting a 22-year-old woman who was diagnosed with OGA during evaluation of iron deficiency anemia and underwent successful endoscopic resection.</p>","PeriodicalId":16198,"journal":{"name":"Journal of investigative medicine high impact case reports","volume":"13 ","pages":"23247096251313729"},"PeriodicalIF":0.8000,"publicationDate":"2025-01-01","publicationTypes":"Journal Article","fieldsOfStudy":null,"isOpenAccess":false,"openAccessPdf":"https://www.ncbi.nlm.nih.gov/pmc/articles/PMC11783470/pdf/","citationCount":"0","resultStr":null,"platform":"Semanticscholar","paperid":null,"PeriodicalName":"Journal of investigative medicine high impact case reports","FirstCategoryId":"1085","ListUrlMain":"https://doi.org/10.1177/23247096251313729","RegionNum":0,"RegionCategory":null,"ArticlePicture":[],"TitleCN":null,"AbstractTextCN":null,"PMCID":null,"EPubDate":"","PubModel":"","JCR":"Q3","JCRName":"MEDICINE, GENERAL & INTERNAL","Score":null,"Total":0}
引用次数: 0

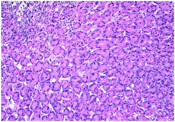
Abstract

Oxyntic gland adenomas (OGAs) are benign gastric neoplasms composed of gland-forming epithelial cells with predominantly chief cell differentiation resembling oxyntic glands confined to the mucosa. If the tumor has submucosal invasion, it should be classified as gastric adenocarcinoma of fundic gland type. The OGAs can pose a diagnostic challenge, as they can resemble aggressive gastric neoplasms. There are no current guidelines on the management of OGA. Due to the relatively small size and low malignant potential, these lesions are typically managed endoscopically. In this case, we are reporting a 22-year-old woman who was diagnosed with OGA during evaluation of iron deficiency anemia and underwent successful endoscopic resection.

Abstract Image

Abstract Image

Abstract Image

内镜下成功治疗氧合腺腺瘤1例。
氧合腺腺瘤(OGAs)是由腺体形成的上皮细胞组成的良性胃肿瘤,其主要细胞分化类似于粘膜内的氧合腺。如果肿瘤有粘膜下浸润,则应归类为基底腺型胃腺癌。由于OGAs类似于侵袭性胃肿瘤,因此对诊断具有挑战性。目前还没有关于OGA管理的指导方针。由于相对较小的尺寸和低恶性潜能,这些病变通常是内窥镜下处理。在这个病例中,我们报告了一名22岁的女性,她在评估缺铁性贫血时被诊断为OGA,并成功进行了内镜切除。
本文章由计算机程序翻译,如有差异,请以英文原文为准。
求助全文
约1分钟内获得全文 求助全文
来源期刊
CiteScore
1.90
自引率
0.00%
发文量
165
审稿时长
12 weeks
期刊介绍: The AFMR is committed to enhancing the training and career development of our members and to furthering its mission to facilitate the conduct of research to improve medical care. Case reports represent an important avenue for trainees (interns, residents, and fellows) and early-stage faculty to demonstrate productive, scholarly activity.
×
引用
GB/T 7714-2015
复制
MLA
复制
APA
复制
导出至
BibTeX EndNote RefMan NoteFirst NoteExpress
×
提示
您的信息不完整,为了账户安全,请先补充。
现在去补充
×
提示
您因"违规操作"
具体请查看互助需知
我知道了
×
提示
确定
请完成安全验证×
copy
已复制链接
快去分享给好友吧!
我知道了
右上角分享
点击右上角分享
0
联系我们:info@booksci.cn Book学术提供免费学术资源搜索服务,方便国内外学者检索中英文文献。致力于提供最便捷和优质的服务体验。 Copyright © 2023 布克学术 All rights reserved.
京ICP备2023020795号-1
ghs 京公网安备 11010802042870号
Book学术文献互助
Book学术文献互助群
群 号:604180095
Book学术官方微信