Successful treatment of subinvolution of the placenta site with uterine artery embolisation, sparing the patient's fertility: A case report

IF 0.6 Q4 OBSTETRICS & GYNECOLOGY
Nour Saleh , Amin Bahabri , Ross Vander Wal
{"title":"Successful treatment of subinvolution of the placenta site with uterine artery embolisation, sparing the patient's fertility: A case report","authors":"Nour Saleh ,&nbsp;Amin Bahabri ,&nbsp;Ross Vander Wal","doi":"10.1016/j.crwh.2025.e00682","DOIUrl":null,"url":null,"abstract":"<div><div>Subinvolution of the placental site can lead to severe post-partum haemorrhage, though it is a rare cause of the condition. Subinvolution of the placental site is an abnormal persistence of widely dilated uteroplacental spiral arteries in the absence of retained products of conception, and is associated with an increased risk of maternal morbidity and mortality. This report presents a case of an uneventful caesarean section that was followed by multiple presentations of major secondary post-partum haemorrhage, with a subsequent diagnosis of subinvolution of the placental site on histopathology. The patient was eventually treated with uterine artery embolisation after trials of medical and other interventional measures.</div></div>","PeriodicalId":9657,"journal":{"name":"Case Reports in Women's Health","volume":"45 ","pages":"Article e00682"},"PeriodicalIF":0.6000,"publicationDate":"2025-01-08","publicationTypes":"Journal Article","fieldsOfStudy":null,"isOpenAccess":false,"openAccessPdf":"https://www.ncbi.nlm.nih.gov/pmc/articles/PMC11774794/pdf/","citationCount":"0","resultStr":null,"platform":"Semanticscholar","paperid":null,"PeriodicalName":"Case Reports in Women's Health","FirstCategoryId":"1085","ListUrlMain":"https://www.sciencedirect.com/science/article/pii/S2214911225000037","RegionNum":0,"RegionCategory":null,"ArticlePicture":[],"TitleCN":null,"AbstractTextCN":null,"PMCID":null,"EPubDate":"","PubModel":"","JCR":"Q4","JCRName":"OBSTETRICS & GYNECOLOGY","Score":null,"Total":0}
引用次数: 0

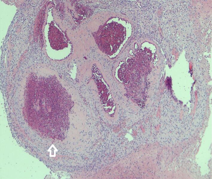
Abstract

Subinvolution of the placental site can lead to severe post-partum haemorrhage, though it is a rare cause of the condition. Subinvolution of the placental site is an abnormal persistence of widely dilated uteroplacental spiral arteries in the absence of retained products of conception, and is associated with an increased risk of maternal morbidity and mortality. This report presents a case of an uneventful caesarean section that was followed by multiple presentations of major secondary post-partum haemorrhage, with a subsequent diagnosis of subinvolution of the placental site on histopathology. The patient was eventually treated with uterine artery embolisation after trials of medical and other interventional measures.

Abstract Image

Abstract Image

Abstract Image

子宫动脉栓塞成功治疗胎盘部位亚旧旧化,保留患者的生育能力:1例报告。
胎盘部位的亚内陷可导致严重的产后出血,虽然它是一个罕见的原因的条件。胎盘部位亚内翻是指在妊娠产物未保留的情况下,子宫胎盘螺旋动脉广泛扩张的异常持续存在,与产妇发病率和死亡率增加有关。本报告提出了一个病例的平稳剖宫产后,随后出现了多次主要的继发性产后出血,随后的组织病理学诊断为胎盘部位的亚内陷。经过医学和其他干预措施的试验,患者最终接受子宫动脉栓塞治疗。
本文章由计算机程序翻译,如有差异,请以英文原文为准。
求助全文
约1分钟内获得全文 求助全文
来源期刊
Case Reports in Women's Health
Case Reports in Women's Health Medicine-Obstetrics and Gynecology
CiteScore
2.10
自引率
0.00%
发文量
89
审稿时长
7 days
×
引用
GB/T 7714-2015
复制
MLA
复制
APA
复制
导出至
BibTeX EndNote RefMan NoteFirst NoteExpress
×
提示
您的信息不完整,为了账户安全,请先补充。
现在去补充
×
提示
您因"违规操作"
具体请查看互助需知
我知道了
×
提示
确定
请完成安全验证×
copy
已复制链接
快去分享给好友吧!
我知道了
右上角分享
点击右上角分享
0
联系我们:info@booksci.cn Book学术提供免费学术资源搜索服务,方便国内外学者检索中英文文献。致力于提供最便捷和优质的服务体验。 Copyright © 2023 布克学术 All rights reserved.
京ICP备2023020795号-1
ghs 京公网安备 11010802042870号
Book学术文献互助
Book学术文献互助群
群 号:604180095
Book学术官方微信