In vivo bone regeneration performance of hydroxypropyl methylcellulose hydrogel-based composite bone cements in ovariectomized and ovary-intact rats: a preliminary investigation

IF 4.5 3区 医学 Q2 ENGINEERING, BIOMEDICAL
Mosharraf Hossain, Tamima Sultana, Ji Eun Moon, Soobin Im, Je Hoon Jeong
{"title":"In vivo bone regeneration performance of hydroxypropyl methylcellulose hydrogel-based composite bone cements in ovariectomized and ovary-intact rats: a preliminary investigation","authors":"Mosharraf Hossain,&nbsp;Tamima Sultana,&nbsp;Ji Eun Moon,&nbsp;Soobin Im,&nbsp;Je Hoon Jeong","doi":"10.1007/s10856-024-06839-2","DOIUrl":null,"url":null,"abstract":"<div><p>The objective of this study is to fabricate and develop hydroxypropyl methylcellulose (HPMC) hydrogel (HG)-based composite bone cements with incorporation of hydroxyapatite (HA), beta-tricalcium phosphate (β-TCP), and with/without polymethylmethacrylate (PMMA) for vertebroplasty. For animal study, twenty female Wister rats (250–300 g, 12 weeks of age) were divided into four groups including a two non-ovariectomy (NOVX) groups and two ovariectomy (OVX)-induced osteoporosis groups. Two prepared biocomposites including HG/β-TCP/HA and HG/β-TCP/HA/PMMA were injected into the tibial defects of both OVX and NOVX rats for evaluating in vivo osteogenesis after 12 weeks. Micro-computed tomography and histological analysis using hematoxylin and eosin (H&amp;E) and Masson's trichrome stains of the two composite cements implanted into the tibial defects of OVX and NOVX rats revealed enhanced bone regeneration potential. However, no statistically significant differences were noted among the groups based on new bone formation, demonstrating that the injected composite cements showed similar osteogenesis effects in both OVX and NOVX rats. These findings suggest that the newly developed composite bone cement composed of HG, β-TCP, HA and/or PMMA may be a promising and professional tool for treating osteoporotic and non-osteoporotic vertebral fractures.</p><div><figure><div><div><picture><source><img></source></picture></div></div></figure></div></div>","PeriodicalId":647,"journal":{"name":"Journal of Materials Science: Materials in Medicine","volume":"36 1","pages":""},"PeriodicalIF":4.5000,"publicationDate":"2025-01-30","publicationTypes":"Journal Article","fieldsOfStudy":null,"isOpenAccess":false,"openAccessPdf":"https://www.ncbi.nlm.nih.gov/pmc/articles/PMC11782363/pdf/","citationCount":"0","resultStr":null,"platform":"Semanticscholar","paperid":null,"PeriodicalName":"Journal of Materials Science: Materials in Medicine","FirstCategoryId":"5","ListUrlMain":"https://link.springer.com/article/10.1007/s10856-024-06839-2","RegionNum":3,"RegionCategory":"医学","ArticlePicture":[],"TitleCN":null,"AbstractTextCN":null,"PMCID":null,"EPubDate":"","PubModel":"","JCR":"Q2","JCRName":"ENGINEERING, BIOMEDICAL","Score":null,"Total":0}
引用次数: 0

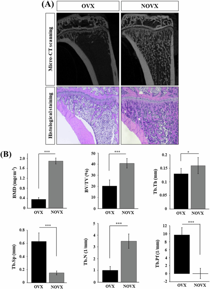
Abstract

The objective of this study is to fabricate and develop hydroxypropyl methylcellulose (HPMC) hydrogel (HG)-based composite bone cements with incorporation of hydroxyapatite (HA), beta-tricalcium phosphate (β-TCP), and with/without polymethylmethacrylate (PMMA) for vertebroplasty. For animal study, twenty female Wister rats (250–300 g, 12 weeks of age) were divided into four groups including a two non-ovariectomy (NOVX) groups and two ovariectomy (OVX)-induced osteoporosis groups. Two prepared biocomposites including HG/β-TCP/HA and HG/β-TCP/HA/PMMA were injected into the tibial defects of both OVX and NOVX rats for evaluating in vivo osteogenesis after 12 weeks. Micro-computed tomography and histological analysis using hematoxylin and eosin (H&E) and Masson's trichrome stains of the two composite cements implanted into the tibial defects of OVX and NOVX rats revealed enhanced bone regeneration potential. However, no statistically significant differences were noted among the groups based on new bone formation, demonstrating that the injected composite cements showed similar osteogenesis effects in both OVX and NOVX rats. These findings suggest that the newly developed composite bone cement composed of HG, β-TCP, HA and/or PMMA may be a promising and professional tool for treating osteoporotic and non-osteoporotic vertebral fractures.

Abstract Image

Abstract Image

Abstract Image

羟丙基甲基纤维素水凝胶复合骨水泥在切除卵巢和完整卵巢大鼠体内骨再生性能的初步研究。
本研究的目的是制备和开发以羟丙基甲基纤维素(HPMC)水凝胶(HG)为基础的复合骨水泥,结合羟基磷灰石(HA)、β-磷酸三钙(β-TCP)和聚甲基丙烯酸甲酯(PMMA)用于椎体成形术。动物实验选用雌性Wister大鼠20只(250 ~ 300 g, 12周龄),分为2组非卵巢切除(NOVX)组和2组卵巢切除(OVX)所致骨质疏松症组。将制备的HG/β-TCP/HA和HG/β-TCP/HA/PMMA两种生物复合材料分别注射到OVX和NOVX大鼠胫骨缺损中,12周后观察其体内成骨情况。利用苏木精伊红(H&E)和马松三色染色对两种复合骨水泥植入OVX和NOVX大鼠胫骨缺损进行显微计算机断层扫描和组织学分析,结果显示骨再生潜力增强。然而,基于新骨形成,各组之间没有统计学上的显著差异,这表明注射复合水泥在OVX和NOVX大鼠中具有相似的成骨作用。这些发现表明,新开发的由HG、β-TCP、HA和/或PMMA组成的复合骨水泥可能是治疗骨质疏松性和非骨质疏松性椎体骨折的一种有前途的专业工具。
本文章由计算机程序翻译,如有差异,请以英文原文为准。
求助全文
约1分钟内获得全文 求助全文
来源期刊
Journal of Materials Science: Materials in Medicine
Journal of Materials Science: Materials in Medicine 工程技术-材料科学:生物材料
CiteScore
8.00
自引率
0.00%
发文量
73
审稿时长
3.5 months
期刊介绍: The Journal of Materials Science: Materials in Medicine publishes refereed papers providing significant progress in the application of biomaterials and tissue engineering constructs as medical or dental implants, prostheses and devices. Coverage spans a wide range of topics from basic science to clinical applications, around the theme of materials in medicine and dentistry. The central element is the development of synthetic and natural materials used in orthopaedic, maxillofacial, cardiovascular, neurological, ophthalmic and dental applications. Special biomedical topics include biomaterial synthesis and characterisation, biocompatibility studies, nanomedicine, tissue engineering constructs and cell substrates, regenerative medicine, computer modelling and other advanced experimental methodologies.
×
引用
GB/T 7714-2015
复制
MLA
复制
APA
复制
导出至
BibTeX EndNote RefMan NoteFirst NoteExpress
×
提示
您的信息不完整,为了账户安全,请先补充。
现在去补充
×
提示
您因"违规操作"
具体请查看互助需知
我知道了
×
提示
确定
请完成安全验证×
copy
已复制链接
快去分享给好友吧!
我知道了
右上角分享
点击右上角分享
0
联系我们:info@booksci.cn Book学术提供免费学术资源搜索服务,方便国内外学者检索中英文文献。致力于提供最便捷和优质的服务体验。 Copyright © 2023 布克学术 All rights reserved.
京ICP备2023020795号-1
ghs 京公网安备 11010802042870号
Book学术文献互助
Book学术文献互助群
群 号:604180095
Book学术官方微信