Regulation of involucrin and signalling pathway in scleroderma epidermal keratinocytes.

IF 1.4 4区 医学 Q3 ALLERGY
Postepy Dermatologii I Alergologii Pub Date : 2024-12-01 Epub Date: 2024-11-08 DOI:10.5114/ada.2024.144841
Jia-Qi Chen, Min Zheng, Wei Li, Jiong Zhou, Xiao-Yong Man
{"title":"Regulation of involucrin and signalling pathway in scleroderma epidermal keratinocytes.","authors":"Jia-Qi Chen, Min Zheng, Wei Li, Jiong Zhou, Xiao-Yong Man","doi":"10.5114/ada.2024.144841","DOIUrl":null,"url":null,"abstract":"<p><strong>Introduction: </strong>Systemic sclerosis is a complex disease characterized by the fibrosis and vasculopathy.</p><p><strong>Aim: </strong>We aimed to assess scleroderma by examining involucrin, an early terminal differentiation marker of epidermal keratinocytes.</p><p><strong>Material and methods: </strong>Immunolocalization of involucrin was performed in healthy controls and patients with scleroderma lesions by using an immunofluorescence (IF) assay. Normal and scleroderma keratinocytes were incubated in low-Ca basal-defined K-SFM overnight. Cells were pre-treated with Y-27632 (a Rho signalling pathway inhibitor) or interleukins (ILs), tumor necrosis factor-α (TNF-α), transforming growth factor β1 (TGF-β1), endothelin-1 (ET-1), interferon-γ (IFN)-γ, vascular endothelial growth factor (VEGF) and platelet-derived growth factor (PDGF) - BB. The involucrin protein expression level was measured by western blot.</p><p><strong>Results: </strong>Compared with the normal skin, involucrin was detected in the granular layer and the upper stratum spinosum in patients with scleroderma lesions. However, involucrin protein expression was decreased in cultured scleroderma keratinocytes. IL-6, IL-10, IL-17A, TNF-α, TGF-β1, ET-1, IFN-γ, VEGF165, and PDGF-BB increased involucrin expression in normal keratinocytes but decreased it in scleroderma keratinocytes. IFN-γ and IL-13 remarkably downregulated involucrin levels in normal and scleroderma keratinocytes, respectively, by Y-27632 intervention.</p><p><strong>Conclusions: </strong>Inflammatory cytokines, such as IL-6, IL-10, TGF-β1, ET-1, IFN-γ, VEGF, PDGF-BB, and Rho signalling pathway may be associated with the delayed epidermal differentiation in scleroderma.</p>","PeriodicalId":54595,"journal":{"name":"Postepy Dermatologii I Alergologii","volume":"41 6","pages":"604-609"},"PeriodicalIF":1.4000,"publicationDate":"2024-12-01","publicationTypes":"Journal Article","fieldsOfStudy":null,"isOpenAccess":false,"openAccessPdf":"https://www.ncbi.nlm.nih.gov/pmc/articles/PMC11770575/pdf/","citationCount":"0","resultStr":null,"platform":"Semanticscholar","paperid":null,"PeriodicalName":"Postepy Dermatologii I Alergologii","FirstCategoryId":"3","ListUrlMain":"https://doi.org/10.5114/ada.2024.144841","RegionNum":4,"RegionCategory":"医学","ArticlePicture":[],"TitleCN":null,"AbstractTextCN":null,"PMCID":null,"EPubDate":"2024/11/8 0:00:00","PubModel":"Epub","JCR":"Q3","JCRName":"ALLERGY","Score":null,"Total":0}
引用次数: 0

Abstract

Introduction: Systemic sclerosis is a complex disease characterized by the fibrosis and vasculopathy.

Aim: We aimed to assess scleroderma by examining involucrin, an early terminal differentiation marker of epidermal keratinocytes.

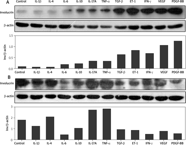
Material and methods: Immunolocalization of involucrin was performed in healthy controls and patients with scleroderma lesions by using an immunofluorescence (IF) assay. Normal and scleroderma keratinocytes were incubated in low-Ca basal-defined K-SFM overnight. Cells were pre-treated with Y-27632 (a Rho signalling pathway inhibitor) or interleukins (ILs), tumor necrosis factor-α (TNF-α), transforming growth factor β1 (TGF-β1), endothelin-1 (ET-1), interferon-γ (IFN)-γ, vascular endothelial growth factor (VEGF) and platelet-derived growth factor (PDGF) - BB. The involucrin protein expression level was measured by western blot.

Results: Compared with the normal skin, involucrin was detected in the granular layer and the upper stratum spinosum in patients with scleroderma lesions. However, involucrin protein expression was decreased in cultured scleroderma keratinocytes. IL-6, IL-10, IL-17A, TNF-α, TGF-β1, ET-1, IFN-γ, VEGF165, and PDGF-BB increased involucrin expression in normal keratinocytes but decreased it in scleroderma keratinocytes. IFN-γ and IL-13 remarkably downregulated involucrin levels in normal and scleroderma keratinocytes, respectively, by Y-27632 intervention.

Conclusions: Inflammatory cytokines, such as IL-6, IL-10, TGF-β1, ET-1, IFN-γ, VEGF, PDGF-BB, and Rho signalling pathway may be associated with the delayed epidermal differentiation in scleroderma.

Abstract Image

Abstract Image

Abstract Image

硬皮病表皮角质形成细胞中天花素及其信号通路的调控。
简介:系统性硬化症是一种以纤维化和血管病变为特征的复杂疾病。目的:通过检测表皮角化细胞早期终末分化标志物天合蛋白来评估硬皮病。材料和方法:采用免疫荧光(IF)法在健康对照和硬皮病病变患者中对天花苷进行免疫定位。正常和硬皮病角质形成细胞在低钙碱性K-SFM中孵育过夜。细胞用Y-27632(一种Rho信号通路抑制剂)或白介素(il)、肿瘤坏死因子-α (TNF-α)、转化生长因子β1 (TGF-β1)、内皮素-1 (ET-1)、干扰素-γ (IFN)-γ、血管内皮生长因子(VEGF)和血小板源性生长因子(PDGF) - BB预处理。western blot检测总苞蛋白表达水平。结果:与正常皮肤比较,硬皮病患者的颗粒层和棘上层均检测到总皂苷。然而,在培养的硬皮病角质形成细胞中,天合蛋白的表达降低。IL-6、IL-10、IL-17A、TNF-α、TGF-β1、ET-1、IFN-γ、VEGF165和PDGF-BB在正常角质细胞中表达升高,而在硬皮病角质细胞中表达降低。通过Y-27632干预,IFN-γ和IL-13分别显著下调正常和硬皮病角质形成细胞中的天花素水平。结论:炎症因子IL-6、IL-10、TGF-β1、ET-1、IFN-γ、VEGF、PDGF-BB、Rho信号通路可能与硬皮病表皮分化延迟有关。
本文章由计算机程序翻译,如有差异,请以英文原文为准。
求助全文
约1分钟内获得全文 求助全文
来源期刊
CiteScore
2.60
自引率
7.10%
发文量
107
审稿时长
6-12 weeks
期刊介绍: Advances in Dermatology and Allergology/Postępy Dermatologii i Alergologii is a bimonthly aimed at allergologists and dermatologists.
×
引用
GB/T 7714-2015
复制
MLA
复制
APA
复制
导出至
BibTeX EndNote RefMan NoteFirst NoteExpress
×
提示
您的信息不完整,为了账户安全,请先补充。
现在去补充
×
提示
您因"违规操作"
具体请查看互助需知
我知道了
×
提示
确定
请完成安全验证×
copy
已复制链接
快去分享给好友吧!
我知道了
右上角分享
点击右上角分享
0
联系我们:info@booksci.cn Book学术提供免费学术资源搜索服务,方便国内外学者检索中英文文献。致力于提供最便捷和优质的服务体验。 Copyright © 2023 布克学术 All rights reserved.
京ICP备2023020795号-1
ghs 京公网安备 11010802042870号
Book学术文献互助
Book学术文献互助群
群 号:604180095
Book学术官方微信