Insights into Therapeutic Strategies and Longitudinal Outcomes: A Retrospective Analysis of NELL1 Positive Membranous Nephropathy Cohort.

IF 0.8 Q4 UROLOGY & NEPHROLOGY
Indian Journal of Nephrology Pub Date : 2025-01-01 Epub Date: 2024-10-17 DOI:10.25259/IJN_443_2024
Gurjot Singh, Harsha Makhija, Pankaj Beniwal, Vinay Malhotra
{"title":"Insights into Therapeutic Strategies and Longitudinal Outcomes: A Retrospective Analysis of NELL1 Positive Membranous Nephropathy Cohort.","authors":"Gurjot Singh, Harsha Makhija, Pankaj Beniwal, Vinay Malhotra","doi":"10.25259/IJN_443_2024","DOIUrl":null,"url":null,"abstract":"<p><p>Membranous nephropathy (MN) is a rare autoimmune disease, in which the circulating autoantibodies against antigens attack podocytes. Neural Epidermal Growth Factor like 1 (NELL1) 1-associated MN is the second most common antigen, following phospholipase A2 receptor. Complementary and alternative medicine and malignancies play a pivotal role in the development of NELL1-MN. This retrospective study describes the clinical characteristics, therapeutic strategies, and longitudinal outcomes in patients with NELL1-MN at our center.</p>","PeriodicalId":13359,"journal":{"name":"Indian Journal of Nephrology","volume":"35 1","pages":"87-90"},"PeriodicalIF":0.8000,"publicationDate":"2025-01-01","publicationTypes":"Journal Article","fieldsOfStudy":null,"isOpenAccess":false,"openAccessPdf":"https://www.ncbi.nlm.nih.gov/pmc/articles/PMC11763179/pdf/","citationCount":"0","resultStr":null,"platform":"Semanticscholar","paperid":null,"PeriodicalName":"Indian Journal of Nephrology","FirstCategoryId":"1085","ListUrlMain":"https://doi.org/10.25259/IJN_443_2024","RegionNum":0,"RegionCategory":null,"ArticlePicture":[],"TitleCN":null,"AbstractTextCN":null,"PMCID":null,"EPubDate":"2024/10/17 0:00:00","PubModel":"Epub","JCR":"Q4","JCRName":"UROLOGY & NEPHROLOGY","Score":null,"Total":0}
引用次数: 0

Abstract

Membranous nephropathy (MN) is a rare autoimmune disease, in which the circulating autoantibodies against antigens attack podocytes. Neural Epidermal Growth Factor like 1 (NELL1) 1-associated MN is the second most common antigen, following phospholipase A2 receptor. Complementary and alternative medicine and malignancies play a pivotal role in the development of NELL1-MN. This retrospective study describes the clinical characteristics, therapeutic strategies, and longitudinal outcomes in patients with NELL1-MN at our center.

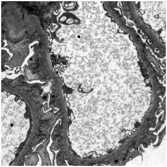
Abstract Image

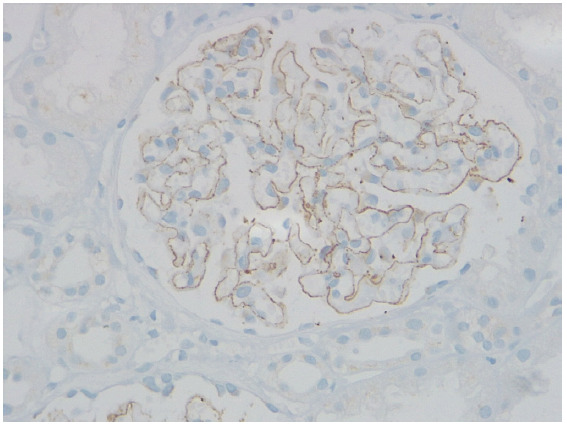
Abstract Image

对治疗策略和纵向结果的见解:NELL1阳性膜性肾病队列回顾性分析。
膜性肾病(MN)是一种罕见的自身免疫性疾病,其循环中针对抗原的自身抗体攻击足细胞。神经表皮生长因子样1 (NELL1) 1相关的MN是仅次于磷脂酶A2受体的第二常见抗原。补充和替代药物和恶性肿瘤在NELL1-MN的发展中起关键作用。本回顾性研究描述了我们中心NELL1-MN患者的临床特征、治疗策略和纵向结果。
本文章由计算机程序翻译,如有差异,请以英文原文为准。
求助全文
约1分钟内获得全文 求助全文
来源期刊
Indian Journal of Nephrology
Indian Journal of Nephrology UROLOGY & NEPHROLOGY-
CiteScore
1.40
自引率
0.00%
发文量
128
审稿时长
24 weeks
×
引用
GB/T 7714-2015
复制
MLA
复制
APA
复制
导出至
BibTeX EndNote RefMan NoteFirst NoteExpress
×
提示
您的信息不完整,为了账户安全,请先补充。
现在去补充
×
提示
您因"违规操作"
具体请查看互助需知
我知道了
×
提示
确定
请完成安全验证×
copy
已复制链接
快去分享给好友吧!
我知道了
右上角分享
点击右上角分享
0
联系我们:info@booksci.cn Book学术提供免费学术资源搜索服务,方便国内外学者检索中英文文献。致力于提供最便捷和优质的服务体验。 Copyright © 2023 布克学术 All rights reserved.
京ICP备2023020795号-1
ghs 京公网安备 11010802042870号
Book学术文献互助
Book学术文献互助群
群 号:604180095
Book学术官方微信