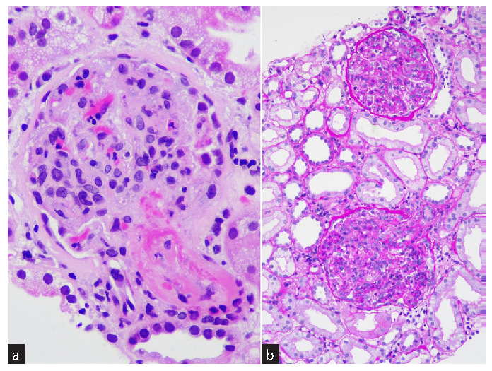
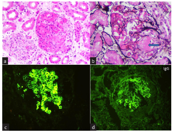
Rare Histologic Coexistence of Infection-Related Glomerulonephritis and Thrombotic Microangiopathy.

IF 0.8 Q4 UROLOGY & NEPHROLOGY
Indian Journal of Nephrology Pub Date : 2025-01-01 Epub Date: 2024-08-29 DOI:10.25259/IJN_304_2024
C V Malathi, Jansi Prema K S, Kishan Aralapuram, Venkataramanan Krishnamoorthy, Anila Abraham Kurien
{"title":"Rare Histologic Coexistence of Infection-Related Glomerulonephritis and Thrombotic Microangiopathy.","authors":"C V Malathi, Jansi Prema K S, Kishan Aralapuram, Venkataramanan Krishnamoorthy, Anila Abraham Kurien","doi":"10.25259/IJN_304_2024","DOIUrl":null,"url":null,"abstract":"","PeriodicalId":13359,"journal":{"name":"Indian Journal of Nephrology","volume":"35 1","pages":"109-110"},"PeriodicalIF":0.8000,"publicationDate":"2025-01-01","publicationTypes":"Journal Article","fieldsOfStudy":null,"isOpenAccess":false,"openAccessPdf":"https://www.ncbi.nlm.nih.gov/pmc/articles/PMC11762827/pdf/","citationCount":"0","resultStr":null,"platform":"Semanticscholar","paperid":null,"PeriodicalName":"Indian Journal of Nephrology","FirstCategoryId":"1085","ListUrlMain":"https://doi.org/10.25259/IJN_304_2024","RegionNum":0,"RegionCategory":null,"ArticlePicture":[],"TitleCN":null,"AbstractTextCN":null,"PMCID":null,"EPubDate":"2024/8/29 0:00:00","PubModel":"Epub","JCR":"Q4","JCRName":"UROLOGY & NEPHROLOGY","Score":null,"Total":0}
引用次数: 0

Abstract Image

Abstract Image

感染相关性肾小球肾炎和血栓性微血管病罕见的组织学共存。
本文章由计算机程序翻译,如有差异,请以英文原文为准。
求助全文
约1分钟内获得全文 求助全文
来源期刊
Indian Journal of Nephrology
Indian Journal of Nephrology UROLOGY & NEPHROLOGY-
CiteScore
1.40
自引率
0.00%
发文量
128
审稿时长
24 weeks
×
引用
GB/T 7714-2015
复制
MLA
复制
APA
复制
导出至
BibTeX EndNote RefMan NoteFirst NoteExpress
×
提示
您的信息不完整,为了账户安全,请先补充。
现在去补充
×
提示
您因"违规操作"
具体请查看互助需知
我知道了
×
提示
确定
请完成安全验证×
copy
已复制链接
快去分享给好友吧!
我知道了
右上角分享
点击右上角分享
0
联系我们:info@booksci.cn Book学术提供免费学术资源搜索服务,方便国内外学者检索中英文文献。致力于提供最便捷和优质的服务体验。 Copyright © 2023 布克学术 All rights reserved.
京ICP备2023020795号-1
ghs 京公网安备 11010802042870号
Book学术文献互助
Book学术文献互助群
群 号:604180095
Book学术官方微信