Rapidly Progressing Secondary Organizing Pneumonia in a Case of Systemic Sclerosis Sine Scleroderma - A Diagnostic Urgency: A Case Report and Literature Review.

IF 0.6 Q3 MEDICINE, GENERAL & INTERNAL
Anish K Shrestha, Jyotsna Gummadi, Basem Al Achras, Nicholas E Ghionni
{"title":"Rapidly Progressing Secondary Organizing Pneumonia in a Case of Systemic Sclerosis Sine Scleroderma - A Diagnostic Urgency: A Case Report and Literature Review.","authors":"Anish K Shrestha, Jyotsna Gummadi, Basem Al Achras, Nicholas E Ghionni","doi":"10.55729/2000-9666.1442","DOIUrl":null,"url":null,"abstract":"<p><p>Systemic sclerosis sine (latin: without) scleroderma (ssSSc), also called visceral scleroderma, is characterized by internal organ involvement and abnormal serologic abnormalities in the complete or partial absence of cutaneous manifestations of systemic sclerosis.1,2 Pulmonary involvement in scleroderma consists of interstitial lung disease and pulmonary hypertension. Usual interstitial pneumonia (45.4%), followed by nonspecific interstitial pneumonia (36.4%) represents the predominant interstitial lung disease in scleroderma.3 Rarely, organizing pneumonia has been described with scleroderma and seldom with systemic sclerosis sine scleroderma in literature.</p>","PeriodicalId":15460,"journal":{"name":"Journal of Community Hospital Internal Medicine Perspectives","volume":"15 1","pages":"93-97"},"PeriodicalIF":0.6000,"publicationDate":"2025-01-06","publicationTypes":"Journal Article","fieldsOfStudy":null,"isOpenAccess":false,"openAccessPdf":"https://www.ncbi.nlm.nih.gov/pmc/articles/PMC11759079/pdf/","citationCount":"0","resultStr":null,"platform":"Semanticscholar","paperid":null,"PeriodicalName":"Journal of Community Hospital Internal Medicine Perspectives","FirstCategoryId":"1085","ListUrlMain":"https://doi.org/10.55729/2000-9666.1442","RegionNum":0,"RegionCategory":null,"ArticlePicture":[],"TitleCN":null,"AbstractTextCN":null,"PMCID":null,"EPubDate":"2025/1/1 0:00:00","PubModel":"eCollection","JCR":"Q3","JCRName":"MEDICINE, GENERAL & INTERNAL","Score":null,"Total":0}
引用次数: 0

Abstract

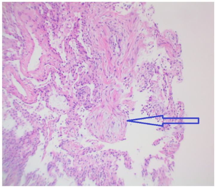
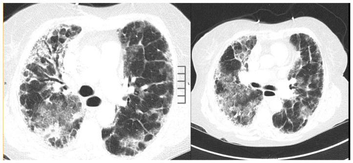
Systemic sclerosis sine (latin: without) scleroderma (ssSSc), also called visceral scleroderma, is characterized by internal organ involvement and abnormal serologic abnormalities in the complete or partial absence of cutaneous manifestations of systemic sclerosis.1,2 Pulmonary involvement in scleroderma consists of interstitial lung disease and pulmonary hypertension. Usual interstitial pneumonia (45.4%), followed by nonspecific interstitial pneumonia (36.4%) represents the predominant interstitial lung disease in scleroderma.3 Rarely, organizing pneumonia has been described with scleroderma and seldom with systemic sclerosis sine scleroderma in literature.

Abstract Image

Abstract Image

快速进展的继发性组织肺炎在硬皮病的系统性硬化症-诊断的紧迫性:一个病例报告和文献综述。
系统性硬化症(ssSSc),又称内脏硬皮病(内脏硬皮病),其特点是在完全或部分缺乏系统性硬化症的皮肤表现的情况下,累及内脏器官和血清学异常。1,2硬皮病累及肺部包括间质性肺疾病和肺动脉高压。常见间质性肺炎(45.4%),其次是非特异性间质性肺炎(36.4%)是硬皮病中主要的间质性肺疾病很少,组织性肺炎已被描述与硬皮病和很少与系统性硬皮病在文献中。
本文章由计算机程序翻译,如有差异,请以英文原文为准。
求助全文
约1分钟内获得全文 求助全文
来源期刊
自引率
0.00%
发文量
106
审稿时长
17 weeks
期刊介绍: JCHIMP provides: up-to-date information in the field of Internal Medicine to community hospital medical professionals a platform for clinical faculty, residents, and medical students to publish research relevant to community hospital programs. Manuscripts that explore aspects of medicine at community hospitals welcome, including but not limited to: the best practices of community academic programs community hospital-based research opinion and insight from community hospital leadership and faculty the scholarly work of residents and medical students affiliated with community hospitals.
×
引用
GB/T 7714-2015
复制
MLA
复制
APA
复制
导出至
BibTeX EndNote RefMan NoteFirst NoteExpress
×
提示
您的信息不完整,为了账户安全,请先补充。
现在去补充
×
提示
您因"违规操作"
具体请查看互助需知
我知道了
×
提示
确定
请完成安全验证×
copy
已复制链接
快去分享给好友吧!
我知道了
右上角分享
点击右上角分享
0
联系我们:info@booksci.cn Book学术提供免费学术资源搜索服务,方便国内外学者检索中英文文献。致力于提供最便捷和优质的服务体验。 Copyright © 2023 布克学术 All rights reserved.
京ICP备2023020795号-1
ghs 京公网安备 11010802042870号
Book学术文献互助
Book学术文献互助群
群 号:604180095
Book学术官方微信