A Rare Presentation of Pseudomonas Putida Bacteremia Secondary to Skin and Soft Tissue Infection.

IF 0.6 Q3 MEDICINE, GENERAL & INTERNAL
Danielle Rowe, Sachi Patel, Varun Lakhmani, Harsh Patel
{"title":"A Rare Presentation of <i>Pseudomonas Putida</i> Bacteremia Secondary to Skin and Soft Tissue Infection.","authors":"Danielle Rowe, Sachi Patel, Varun Lakhmani, Harsh Patel","doi":"10.55729/2000-9666.1451","DOIUrl":null,"url":null,"abstract":"<p><p><i>Pseudomonas putida</i> is a rod-shaped, flagellated, non-lactose fermenting, gram negative bacterium, usually found in water and soil habitats. <i>P. putida</i> generally causes nosocomial infections in immunocompromised patients. Increased infection rates are seen in those patients with medical devices inserted, due to this organism's innate ability to attach to moist and inanimate objects. In this case report we present a 63-year-old male patient with a past medical history of type II diabetes mellitus, chronic kidney disease stage 5, and hypertension who presented with <i>P. putida</i> cellulitis and bacteremia. This patient had no exposure to contaminated water sources or soil; however, had immunocompromising comorbidities such as diabetes and chronic kidney disease. The patient was treated with intravenous (IV) antibiotics with vancomycin and cefepime which was de-escalated within 48 hours after obtaining sensitivity data from the blood cultures. The patient had an uneventful recovery and was discharged home in a stable condition. This case highlights the importance of considering <i>P. putida</i> as a potential pathogen in immunocompromised patients with no direct exposure to typical environmental sources. Prompt identification and targeted antimicrobial therapy is necessary for a favorable outcome.</p>","PeriodicalId":15460,"journal":{"name":"Journal of Community Hospital Internal Medicine Perspectives","volume":"15 1","pages":"115-117"},"PeriodicalIF":0.6000,"publicationDate":"2025-01-06","publicationTypes":"Journal Article","fieldsOfStudy":null,"isOpenAccess":false,"openAccessPdf":"https://www.ncbi.nlm.nih.gov/pmc/articles/PMC11759070/pdf/","citationCount":"0","resultStr":null,"platform":"Semanticscholar","paperid":null,"PeriodicalName":"Journal of Community Hospital Internal Medicine Perspectives","FirstCategoryId":"1085","ListUrlMain":"https://doi.org/10.55729/2000-9666.1451","RegionNum":0,"RegionCategory":null,"ArticlePicture":[],"TitleCN":null,"AbstractTextCN":null,"PMCID":null,"EPubDate":"2025/1/1 0:00:00","PubModel":"eCollection","JCR":"Q3","JCRName":"MEDICINE, GENERAL & INTERNAL","Score":null,"Total":0}
引用次数: 0

Abstract

Pseudomonas putida is a rod-shaped, flagellated, non-lactose fermenting, gram negative bacterium, usually found in water and soil habitats. P. putida generally causes nosocomial infections in immunocompromised patients. Increased infection rates are seen in those patients with medical devices inserted, due to this organism's innate ability to attach to moist and inanimate objects. In this case report we present a 63-year-old male patient with a past medical history of type II diabetes mellitus, chronic kidney disease stage 5, and hypertension who presented with P. putida cellulitis and bacteremia. This patient had no exposure to contaminated water sources or soil; however, had immunocompromising comorbidities such as diabetes and chronic kidney disease. The patient was treated with intravenous (IV) antibiotics with vancomycin and cefepime which was de-escalated within 48 hours after obtaining sensitivity data from the blood cultures. The patient had an uneventful recovery and was discharged home in a stable condition. This case highlights the importance of considering P. putida as a potential pathogen in immunocompromised patients with no direct exposure to typical environmental sources. Prompt identification and targeted antimicrobial therapy is necessary for a favorable outcome.

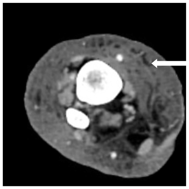
Abstract Image

一例罕见的继发于皮肤和软组织感染的恶臭假单胞菌菌血症。
恶臭假单胞菌是一种杆状、鞭毛、非乳糖发酵的革兰氏阴性细菌,通常存在于水和土壤生境中。脓疱疮通常在免疫功能低下的患者中引起医院感染。在那些插入医疗器械的患者中,感染率增加,因为这种生物体天生具有附着在潮湿和无生命物体上的能力。在这个病例报告中,我们提出了一个63岁的男性患者,既往有2型糖尿病、慢性肾病5期和高血压病史,并表现为脓疱性蜂窝状炎和菌血症。该患者未接触受污染的水源或土壤;然而,有免疫损害合并症,如糖尿病和慢性肾脏疾病。患者接受万古霉素和头孢吡肟静脉注射抗生素治疗,在获得血培养敏感性数据后48小时内停用抗生素。病人康复顺利,出院时情况稳定。该病例强调了在没有直接接触典型环境源的免疫功能低下患者中将恶臭假单胞菌视为潜在病原体的重要性。为了获得良好的结果,及时识别和靶向抗菌治疗是必要的。
本文章由计算机程序翻译,如有差异,请以英文原文为准。
求助全文
约1分钟内获得全文 求助全文
来源期刊
自引率
0.00%
发文量
106
审稿时长
17 weeks
期刊介绍: JCHIMP provides: up-to-date information in the field of Internal Medicine to community hospital medical professionals a platform for clinical faculty, residents, and medical students to publish research relevant to community hospital programs. Manuscripts that explore aspects of medicine at community hospitals welcome, including but not limited to: the best practices of community academic programs community hospital-based research opinion and insight from community hospital leadership and faculty the scholarly work of residents and medical students affiliated with community hospitals.
×
引用
GB/T 7714-2015
复制
MLA
复制
APA
复制
导出至
BibTeX EndNote RefMan NoteFirst NoteExpress
×
提示
您的信息不完整,为了账户安全,请先补充。
现在去补充
×
提示
您因"违规操作"
具体请查看互助需知
我知道了
×
提示
确定
请完成安全验证×
copy
已复制链接
快去分享给好友吧!
我知道了
右上角分享
点击右上角分享
0
联系我们:info@booksci.cn Book学术提供免费学术资源搜索服务,方便国内外学者检索中英文文献。致力于提供最便捷和优质的服务体验。 Copyright © 2023 布克学术 All rights reserved.
京ICP备2023020795号-1
ghs 京公网安备 11010802042870号
Book学术文献互助
Book学术文献互助群
群 号:604180095
Book学术官方微信