Proteus mirabilis: An Unlikely Device-related Infection.

IF 0.6 Q3 MEDICINE, GENERAL & INTERNAL
Mark A Colantonio, Michelle Hartzell, Brooke Shannon
{"title":"<i>Proteus mirabilis</i>: An Unlikely Device-related Infection.","authors":"Mark A Colantonio, Michelle Hartzell, Brooke Shannon","doi":"10.55729/2000-9666.1440","DOIUrl":null,"url":null,"abstract":"<p><p>Implantable cardiac devices, including cardiac pacemakers, are not without risk for infection, carrying a mortality and morbidity of around 5-15%. Gram positive organisms are most common in 91% of cases, whereas gram negative organisms are less common, found in 2% of cases secondary to gram negative organisms other than <i>Pseudomonas aeruginosa</i>. Here, we present a rare case of the gram-negative organism <i>Proteus mirabilis</i> leading to a pacemaker site infection.</p>","PeriodicalId":15460,"journal":{"name":"Journal of Community Hospital Internal Medicine Perspectives","volume":"15 1","pages":"84-88"},"PeriodicalIF":0.6000,"publicationDate":"2025-01-06","publicationTypes":"Journal Article","fieldsOfStudy":null,"isOpenAccess":false,"openAccessPdf":"https://www.ncbi.nlm.nih.gov/pmc/articles/PMC11759076/pdf/","citationCount":"0","resultStr":null,"platform":"Semanticscholar","paperid":null,"PeriodicalName":"Journal of Community Hospital Internal Medicine Perspectives","FirstCategoryId":"1085","ListUrlMain":"https://doi.org/10.55729/2000-9666.1440","RegionNum":0,"RegionCategory":null,"ArticlePicture":[],"TitleCN":null,"AbstractTextCN":null,"PMCID":null,"EPubDate":"2025/1/1 0:00:00","PubModel":"eCollection","JCR":"Q3","JCRName":"MEDICINE, GENERAL & INTERNAL","Score":null,"Total":0}
引用次数: 0

Abstract

Implantable cardiac devices, including cardiac pacemakers, are not without risk for infection, carrying a mortality and morbidity of around 5-15%. Gram positive organisms are most common in 91% of cases, whereas gram negative organisms are less common, found in 2% of cases secondary to gram negative organisms other than Pseudomonas aeruginosa. Here, we present a rare case of the gram-negative organism Proteus mirabilis leading to a pacemaker site infection.

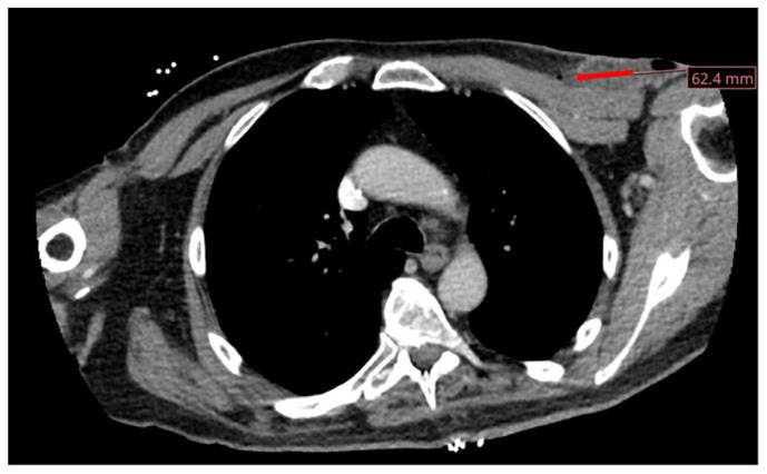
Abstract Image

Abstract Image

变形杆菌:一种不太可能的设备相关感染。
包括心脏起搏器在内的植入式心脏装置并非没有感染风险,其死亡率和发病率约为5-15%。革兰氏阳性菌在91%的病例中最为常见,而革兰氏阴性菌则不太常见,在除铜绿假单胞菌外的革兰氏阴性菌继发病例中仅占2%。在这里,我们提出一个罕见的病例革兰氏阴性菌奇异变形杆菌导致心脏起搏器部位感染。
本文章由计算机程序翻译,如有差异,请以英文原文为准。
求助全文
约1分钟内获得全文 求助全文
来源期刊
自引率
0.00%
发文量
106
审稿时长
17 weeks
期刊介绍: JCHIMP provides: up-to-date information in the field of Internal Medicine to community hospital medical professionals a platform for clinical faculty, residents, and medical students to publish research relevant to community hospital programs. Manuscripts that explore aspects of medicine at community hospitals welcome, including but not limited to: the best practices of community academic programs community hospital-based research opinion and insight from community hospital leadership and faculty the scholarly work of residents and medical students affiliated with community hospitals.
×
引用
GB/T 7714-2015
复制
MLA
复制
APA
复制
导出至
BibTeX EndNote RefMan NoteFirst NoteExpress
×
提示
您的信息不完整,为了账户安全,请先补充。
现在去补充
×
提示
您因"违规操作"
具体请查看互助需知
我知道了
×
提示
确定
请完成安全验证×
copy
已复制链接
快去分享给好友吧!
我知道了
右上角分享
点击右上角分享
0
联系我们:info@booksci.cn Book学术提供免费学术资源搜索服务,方便国内外学者检索中英文文献。致力于提供最便捷和优质的服务体验。 Copyright © 2023 布克学术 All rights reserved.
京ICP备2023020795号-1
ghs 京公网安备 11010802042870号
Book学术文献互助
Book学术文献互助群
群 号:604180095
Book学术官方微信