Acute decompensated right heart failure potentially triggered by multiple factors including pulmonary vasodilator removal during plasma exchange: a case report.

IF 1 Q3 ANESTHESIOLOGY
Takayuki Toki, Kazuyuki Mizunoya, Misa Itabashi, Naoki Nishikawa, Koji Hoshino, Hitoshi Saito, Yuji Morimoto
{"title":"Acute decompensated right heart failure potentially triggered by multiple factors including pulmonary vasodilator removal during plasma exchange: a case report.","authors":"Takayuki Toki, Kazuyuki Mizunoya, Misa Itabashi, Naoki Nishikawa, Koji Hoshino, Hitoshi Saito, Yuji Morimoto","doi":"10.1186/s40981-025-00765-0","DOIUrl":null,"url":null,"abstract":"<p><strong>Background: </strong>Plasma exchange (PE) removes high-molecular-weight substances and is sometimes used for antineutrophil cytoplasmic antibody-associated vasculitis (AAV) with alveolar hemorrhage. Hypotension during PE is rare, except in allergic cases. We report a case of shock likely caused by increased pulmonary vascular resistance (PVR) during PE.</p><p><strong>Case presentation: </strong>A 66-year-old man with pulmonary hypertension (PH) and glomerulonephritis was admitted with dyspnea. He had discontinued sildenafil prior to admission. Alveolar hemorrhage associated with AAV was suspected, and PE was performed. Soon after, he developed circulatory failure and hyperlactatemia. Echocardiography revealed right ventricular dilation, suggesting increased PVR. Inhaled nitric oxide (iNO) was administered, rapidly improving hyperlactatemia and oxygenation. The shock observed during PE was attributed to multiple factors, including the potential removal of sildenafil, which may have led to an increase in PVR.</p><p><strong>Conclusions: </strong>The shock was attributable to acute right heart failure caused by an exacerbation of PH, possibly due to sildenafil removal via PE, although other contributing factors could not be excluded.</p>","PeriodicalId":14635,"journal":{"name":"JA Clinical Reports","volume":"11 1","pages":"5"},"PeriodicalIF":1.0000,"publicationDate":"2025-01-27","publicationTypes":"Journal Article","fieldsOfStudy":null,"isOpenAccess":false,"openAccessPdf":"https://www.ncbi.nlm.nih.gov/pmc/articles/PMC11772900/pdf/","citationCount":"0","resultStr":null,"platform":"Semanticscholar","paperid":null,"PeriodicalName":"JA Clinical Reports","FirstCategoryId":"1085","ListUrlMain":"https://doi.org/10.1186/s40981-025-00765-0","RegionNum":0,"RegionCategory":null,"ArticlePicture":[],"TitleCN":null,"AbstractTextCN":null,"PMCID":null,"EPubDate":"","PubModel":"","JCR":"Q3","JCRName":"ANESTHESIOLOGY","Score":null,"Total":0}
引用次数: 0

Abstract

Background: Plasma exchange (PE) removes high-molecular-weight substances and is sometimes used for antineutrophil cytoplasmic antibody-associated vasculitis (AAV) with alveolar hemorrhage. Hypotension during PE is rare, except in allergic cases. We report a case of shock likely caused by increased pulmonary vascular resistance (PVR) during PE.

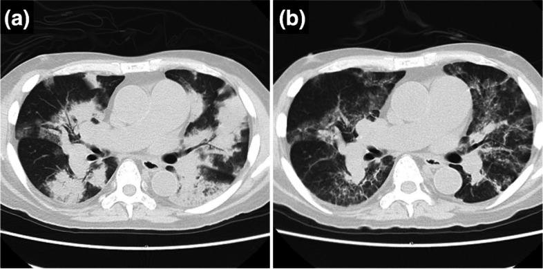
Case presentation: A 66-year-old man with pulmonary hypertension (PH) and glomerulonephritis was admitted with dyspnea. He had discontinued sildenafil prior to admission. Alveolar hemorrhage associated with AAV was suspected, and PE was performed. Soon after, he developed circulatory failure and hyperlactatemia. Echocardiography revealed right ventricular dilation, suggesting increased PVR. Inhaled nitric oxide (iNO) was administered, rapidly improving hyperlactatemia and oxygenation. The shock observed during PE was attributed to multiple factors, including the potential removal of sildenafil, which may have led to an increase in PVR.

Conclusions: The shock was attributable to acute right heart failure caused by an exacerbation of PH, possibly due to sildenafil removal via PE, although other contributing factors could not be excluded.

Abstract Image

Abstract Image

血浆置换期间肺血管扩张剂去除等多种因素可能引发急性失代偿性右心衰1例报告
背景:血浆置换(PE)去除高分子量物质,有时用于抗中性粒细胞细胞质抗体相关血管炎(AAV)伴肺泡出血。除过敏病例外,PE期间低血压很少见。我们报告一例休克可能是由肺血管阻力(PVR)增加引起的。病例介绍:66岁男性肺动脉高压合并肾小球肾炎,因呼吸困难入院。入院前已停用西地那非。怀疑肺泡出血与AAV相关,并行肺穿刺。不久之后,他出现了循环衰竭和高乳酸血症。超声心动图显示右心室扩张,提示PVR增高。给予吸入一氧化氮(iNO),迅速改善高乳酸血症和氧合。PE期间观察到的休克可归因于多种因素,包括西地那非的潜在去除,这可能导致PVR增加。结论:休克可归因于PH加重引起的急性右心衰,可能是经肺泡去除西地那非所致,但也不能排除其他因素。
本文章由计算机程序翻译,如有差异,请以英文原文为准。
求助全文
约1分钟内获得全文 求助全文
来源期刊
JA Clinical Reports
JA Clinical Reports ANESTHESIOLOGY-
CiteScore
1.30
自引率
0.00%
发文量
90
审稿时长
9 weeks
期刊介绍: JA Clinical Reports is a companion journal to the Journal of Anesthesia (JA), the official journal of the Japanese Society of Anesthesiologists (JSA). This journal is an open access, peer-reviewed, online journal related to clinical anesthesia practices such as anesthesia management, pain management and intensive care. Case reports are very important articles from the viewpoint of education and the cultivation of scientific thinking in the field of anesthesia. However, submissions of anesthesia research and clinical reports from Japan are notably decreasing in major anesthesia journals. Therefore, the JSA has decided to launch a new journal, JA Clinical Reports, to encourage JSA members, particularly junior Japanese anesthesiologists, to publish papers in English language.
×
引用
GB/T 7714-2015
复制
MLA
复制
APA
复制
导出至
BibTeX EndNote RefMan NoteFirst NoteExpress
×
提示
您的信息不完整,为了账户安全,请先补充。
现在去补充
×
提示
您因"违规操作"
具体请查看互助需知
我知道了
×
提示
确定
请完成安全验证×
copy
已复制链接
快去分享给好友吧!
我知道了
右上角分享
点击右上角分享
0
联系我们:info@booksci.cn Book学术提供免费学术资源搜索服务,方便国内外学者检索中英文文献。致力于提供最便捷和优质的服务体验。 Copyright © 2023 布克学术 All rights reserved.
京ICP备2023020795号-1
ghs 京公网安备 11010802042870号
Book学术文献互助
Book学术文献互助群
群 号:604180095
Book学术官方微信