Bilateral adrenal infarction and secondary haemorrhage in pregnancy: implications of factor V Leiden heterozygosity. A review of the literature and a case report.

IF 3.9 4区 医学 Q1 MEDICINE, GENERAL & INTERNAL
Clinical Medicine Pub Date : 2025-03-01 Epub Date: 2025-01-24 DOI:10.1016/j.clinme.2025.100288
Wiaam Elradi, Samreen Innayat, Ahmed Hanafy, Sharifah Naseem, Abuzar Awadelkareem, Deepika Meneni
{"title":"Bilateral adrenal infarction and secondary haemorrhage in pregnancy: implications of factor V Leiden heterozygosity. A review of the literature and a case report.","authors":"Wiaam Elradi, Samreen Innayat, Ahmed Hanafy, Sharifah Naseem, Abuzar Awadelkareem, Deepika Meneni","doi":"10.1016/j.clinme.2025.100288","DOIUrl":null,"url":null,"abstract":"<p><p>Adrenal haemorrhage in pregnancy is rare but can lead to significant maternal and fetal morbidity if unrecognised. We present the case of a 25-year-old woman in her second pregnancy, who was admitted at 34 + 4 weeks of gestation with severe abdominal pain. Despite initial unremarkable assessments, further imaging revealed a left adrenal haemorrhage, with evidence of prior right adrenal infarction, resulting in primary adrenal insufficiency. Haematological investigations later confirmed heterozygous factor V Leiden as a likely contributing factor. This report underscores the diagnostic challenges of adrenal pathology in pregnancy, where symptoms may overlap with more common conditions. Immediate management with hydrocortisone therapy, supported by a multidisciplinary team (MDT), was employed, with a successful outcome for both mother and child following delivery by caesarean section.</p>","PeriodicalId":10492,"journal":{"name":"Clinical Medicine","volume":" ","pages":"100288"},"PeriodicalIF":3.9000,"publicationDate":"2025-03-01","publicationTypes":"Journal Article","fieldsOfStudy":null,"isOpenAccess":false,"openAccessPdf":"https://www.ncbi.nlm.nih.gov/pmc/articles/PMC11847723/pdf/","citationCount":"0","resultStr":null,"platform":"Semanticscholar","paperid":null,"PeriodicalName":"Clinical Medicine","FirstCategoryId":"3","ListUrlMain":"https://doi.org/10.1016/j.clinme.2025.100288","RegionNum":4,"RegionCategory":"医学","ArticlePicture":[],"TitleCN":null,"AbstractTextCN":null,"PMCID":null,"EPubDate":"2025/1/24 0:00:00","PubModel":"Epub","JCR":"Q1","JCRName":"MEDICINE, GENERAL & INTERNAL","Score":null,"Total":0}
引用次数: 0

Abstract

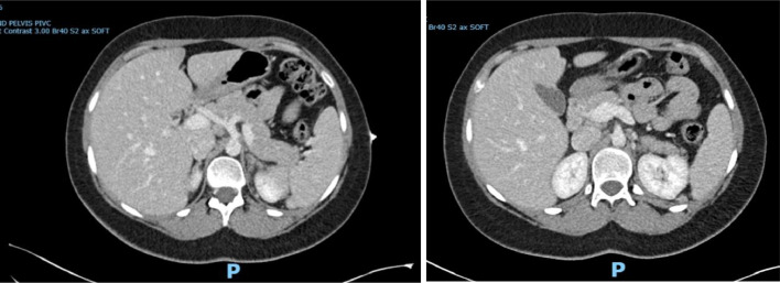
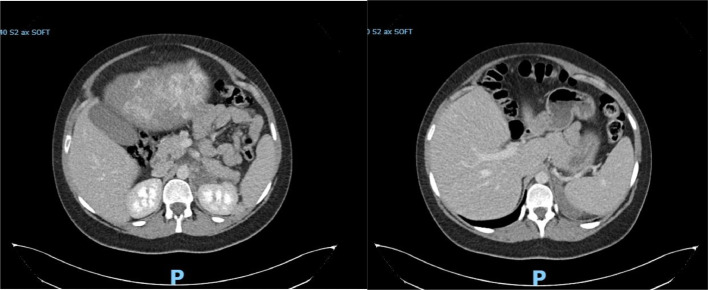
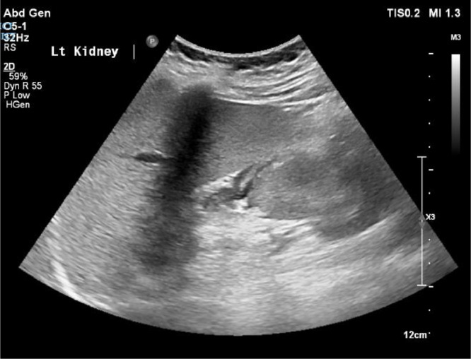
Adrenal haemorrhage in pregnancy is rare but can lead to significant maternal and fetal morbidity if unrecognised. We present the case of a 25-year-old woman in her second pregnancy, who was admitted at 34 + 4 weeks of gestation with severe abdominal pain. Despite initial unremarkable assessments, further imaging revealed a left adrenal haemorrhage, with evidence of prior right adrenal infarction, resulting in primary adrenal insufficiency. Haematological investigations later confirmed heterozygous factor V Leiden as a likely contributing factor. This report underscores the diagnostic challenges of adrenal pathology in pregnancy, where symptoms may overlap with more common conditions. Immediate management with hydrocortisone therapy, supported by a multidisciplinary team (MDT), was employed, with a successful outcome for both mother and child following delivery by caesarean section.

Abstract Image

Abstract Image

Abstract Image

妊娠期双侧肾上腺梗死和继发性出血:因子V Leiden杂合性的影响:文献回顾和一例报告。
妊娠期肾上腺出血非常罕见,但如果不及时发现,可能会导致孕产妇和胎儿严重发病。我们介绍了一例 25 岁妇女的病例,她是第二次怀孕,在妊娠 34+4 周时因剧烈腹痛入院。尽管最初的评估结果并无异常,但进一步的影像学检查发现左侧肾上腺出血,并伴有之前右侧肾上腺梗死的证据,导致原发性肾上腺功能不全。后来的血液学检查证实,杂合子因子 V Leiden 可能是诱因之一。该报告强调了妊娠期肾上腺病变的诊断难题,因为其症状可能与更常见的病症重叠。在多学科团队(MDT)的支持下,她立即接受了氢化可的松治疗,剖腹产后母子平安。
本文章由计算机程序翻译,如有差异,请以英文原文为准。
求助全文
约1分钟内获得全文 求助全文
来源期刊
Clinical Medicine
Clinical Medicine 医学-医学:内科
CiteScore
7.20
自引率
0.00%
发文量
0
审稿时长
6-12 weeks
期刊介绍: Clinical Medicine is aimed at practising physicians in the UK and overseas and has relevance to all those managing or working within the healthcare sector. Available in print and online, the journal seeks to encourage high standards of medical care by promoting good clinical practice through original research, review and comment. The journal also includes a dedicated continuing medical education (CME) section in each issue. This presents the latest advances in a chosen specialty, with self-assessment questions at the end of each topic enabling CPD accreditation to be acquired. ISSN: 1470-2118 E-ISSN: 1473-4893 Frequency: 6 issues per year
×
引用
GB/T 7714-2015
复制
MLA
复制
APA
复制
导出至
BibTeX EndNote RefMan NoteFirst NoteExpress
×
提示
您的信息不完整,为了账户安全,请先补充。
现在去补充
×
提示
您因"违规操作"
具体请查看互助需知
我知道了
×
提示
确定
请完成安全验证×
copy
已复制链接
快去分享给好友吧!
我知道了
右上角分享
点击右上角分享
0
联系我们:info@booksci.cn Book学术提供免费学术资源搜索服务,方便国内外学者检索中英文文献。致力于提供最便捷和优质的服务体验。 Copyright © 2023 布克学术 All rights reserved.
京ICP备2023020795号-1
ghs 京公网安备 11010802042870号
Book学术文献互助
Book学术文献互助群
群 号:604180095
Book学术官方微信