Fast-Track Extubation in a Patient Undergoing Whole Lung Lavage: A Case Report.

IF 1.3 Q3 ANESTHESIOLOGY
Annals of Cardiac Anaesthesia Pub Date : 2025-01-01 Epub Date: 2025-01-24 DOI:10.4103/aca.aca_163_24
Gade Sandeep, Subrata K Singha, Anil Gupta, Keerthi Chinnadurai, Harishchandra Gupta
{"title":"Fast-Track Extubation in a Patient Undergoing Whole Lung Lavage: A Case Report.","authors":"Gade Sandeep, Subrata K Singha, Anil Gupta, Keerthi Chinnadurai, Harishchandra Gupta","doi":"10.4103/aca.aca_163_24","DOIUrl":null,"url":null,"abstract":"<p><strong>Abstract: </strong>Pulmonary alveolar proteinosis (PAP) is a rare pulmonary pathology characterized by the accumulation of surfactant within type II alveolar epithelial cells. Whole lung lavage is the standard treatment for pulmonary alveolar proteinosis involving a large volume of fluid is infused into one lung and subsequently retrieved while the other lung is remains ventilated. Fast-tracking a patient undergoing whole lung lavage requires vigilant monitoring of arterial blood gases, fluid status, and respiratory mechanics. We report a case of a patient who underwent whole lung lavage for PAP, where early extubation was performed, avoiding the complications associated with prolonged mechanical ventilation.</p>","PeriodicalId":7997,"journal":{"name":"Annals of Cardiac Anaesthesia","volume":"28 1","pages":"80-83"},"PeriodicalIF":1.3000,"publicationDate":"2025-01-01","publicationTypes":"Journal Article","fieldsOfStudy":null,"isOpenAccess":false,"openAccessPdf":"https://www.ncbi.nlm.nih.gov/pmc/articles/PMC11902368/pdf/","citationCount":"0","resultStr":null,"platform":"Semanticscholar","paperid":null,"PeriodicalName":"Annals of Cardiac Anaesthesia","FirstCategoryId":"1085","ListUrlMain":"https://doi.org/10.4103/aca.aca_163_24","RegionNum":0,"RegionCategory":null,"ArticlePicture":[],"TitleCN":null,"AbstractTextCN":null,"PMCID":null,"EPubDate":"2025/1/24 0:00:00","PubModel":"Epub","JCR":"Q3","JCRName":"ANESTHESIOLOGY","Score":null,"Total":0}
引用次数: 0

Abstract

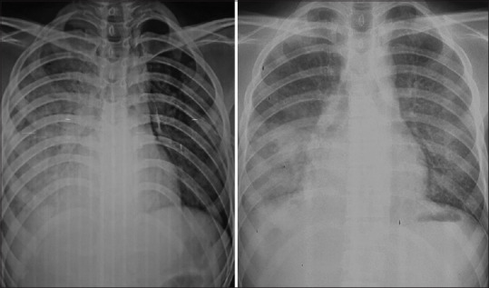
Abstract: Pulmonary alveolar proteinosis (PAP) is a rare pulmonary pathology characterized by the accumulation of surfactant within type II alveolar epithelial cells. Whole lung lavage is the standard treatment for pulmonary alveolar proteinosis involving a large volume of fluid is infused into one lung and subsequently retrieved while the other lung is remains ventilated. Fast-tracking a patient undergoing whole lung lavage requires vigilant monitoring of arterial blood gases, fluid status, and respiratory mechanics. We report a case of a patient who underwent whole lung lavage for PAP, where early extubation was performed, avoiding the complications associated with prolonged mechanical ventilation.

Abstract Image

Abstract Image

Abstract Image

全肺灌洗患者快速拔管一例报告。
肺泡蛋白沉积症(PAP)是一种罕见的肺部病理,其特征是II型肺泡上皮细胞内表面活性物质的积累。全肺灌洗是肺泡蛋白沉积症的标准治疗方法,包括将大量液体注入一个肺,然后在另一个肺保持通气的情况下取出。快速跟踪接受全肺灌洗的患者需要警惕地监测动脉血气、液体状态和呼吸力学。我们报告一例患者接受全肺灌洗PAP,早期拔管,避免并发症与延长机械通气。
本文章由计算机程序翻译,如有差异,请以英文原文为准。
求助全文
约1分钟内获得全文 求助全文
来源期刊
CiteScore
1.60
自引率
0.00%
发文量
147
审稿时长
26 weeks
期刊介绍: Annals of Cardiac Anaesthesia (ACA) is the official journal of the Indian Association of Cardiovascular Thoracic Anaesthesiologists. The journal is indexed with PubMed/MEDLINE, Excerpta Medica/EMBASE, IndMed and MedInd. The journal’s full text is online at www.annals.in. With the aim of faster and better dissemination of knowledge, we will be publishing articles ‘Ahead of Print’ immediately on acceptance. In addition, the journal would allow free access (Open Access) to its contents, which is likely to attract more readers and citations to articles published in ACA. Authors do not have to pay for submission, processing or publication of articles in ACA.
×
引用
GB/T 7714-2015
复制
MLA
复制
APA
复制
导出至
BibTeX EndNote RefMan NoteFirst NoteExpress
×
提示
您的信息不完整,为了账户安全,请先补充。
现在去补充
×
提示
您因"违规操作"
具体请查看互助需知
我知道了
×
提示
确定
请完成安全验证×
copy
已复制链接
快去分享给好友吧!
我知道了
右上角分享
点击右上角分享
0
联系我们:info@booksci.cn Book学术提供免费学术资源搜索服务,方便国内外学者检索中英文文献。致力于提供最便捷和优质的服务体验。 Copyright © 2023 布克学术 All rights reserved.
京ICP备2023020795号-1
ghs 京公网安备 11010802042870号
Book学术文献互助
Book学术文献互助群
群 号:604180095
Book学术官方微信