Recurrent pulmonary thromboembolism with cardiac tamponade as initial manifestations of lupus and antiphospholipid syndrome: a case report.

Julieta Sofia Villanueva-Valle, Eder Jonathan Amaro-Palomo, Mónica Andrea Munive-Eyssautier, Fernando Gonzalez-Diaz, Adrián Sotelo-Soleno, Santiago Alba-Valencia, Alexandra Arias-Mendoza, Diego Araiza-Garaygordobil
{"title":"Recurrent pulmonary thromboembolism with cardiac tamponade as initial manifestations of lupus and antiphospholipid syndrome: a case report.","authors":"Julieta Sofia Villanueva-Valle, Eder Jonathan Amaro-Palomo, Mónica Andrea Munive-Eyssautier, Fernando Gonzalez-Diaz, Adrián Sotelo-Soleno, Santiago Alba-Valencia, Alexandra Arias-Mendoza, Diego Araiza-Garaygordobil","doi":"10.47487/apcyccv.v5i4.418","DOIUrl":null,"url":null,"abstract":"<p><p>Systemic lupus erythematosus (SLE) is an inflammatory autoimmune disease with an important course due to systemic compromise. SLE is frequently associated with antiphospholipid syndrome, and pulmonary thromboembolism (PE) is particularly common. It is extremely rare for PE to be the initial clinical presentation and even more uncommon for it to coincide with cardiac tamponade, representing a challenge in diagnosis and management. We present a case of a 42-year-old woman with recurrent PE with severe pleural and pericardial effusion, hemodynamic instability, and cardiac tamponade. Laboratory workup revealed hypocomplementemia, leukopenia, negative SLE antibodies, and a positive lupus anticoagulant. This case emphasizes the importance of determining the etiology of PE, assessing risk classification, and implementing proper management, which are crucial for the patient's survival and outcome.</p>","PeriodicalId":72295,"journal":{"name":"Archivos Peruanos de cardiologia y cirugia cardiovascular","volume":"5 4","pages":"237-242"},"PeriodicalIF":0.0000,"publicationDate":"2024-12-11","publicationTypes":"Journal Article","fieldsOfStudy":null,"isOpenAccess":false,"openAccessPdf":"https://www.ncbi.nlm.nih.gov/pmc/articles/PMC11753424/pdf/","citationCount":"0","resultStr":null,"platform":"Semanticscholar","paperid":null,"PeriodicalName":"Archivos Peruanos de cardiologia y cirugia cardiovascular","FirstCategoryId":"1085","ListUrlMain":"https://doi.org/10.47487/apcyccv.v5i4.418","RegionNum":0,"RegionCategory":null,"ArticlePicture":[],"TitleCN":null,"AbstractTextCN":null,"PMCID":null,"EPubDate":"2024/10/1 0:00:00","PubModel":"eCollection","JCR":"","JCRName":"","Score":null,"Total":0}
引用次数: 0

Abstract

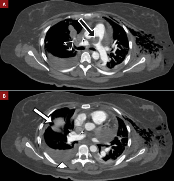
Systemic lupus erythematosus (SLE) is an inflammatory autoimmune disease with an important course due to systemic compromise. SLE is frequently associated with antiphospholipid syndrome, and pulmonary thromboembolism (PE) is particularly common. It is extremely rare for PE to be the initial clinical presentation and even more uncommon for it to coincide with cardiac tamponade, representing a challenge in diagnosis and management. We present a case of a 42-year-old woman with recurrent PE with severe pleural and pericardial effusion, hemodynamic instability, and cardiac tamponade. Laboratory workup revealed hypocomplementemia, leukopenia, negative SLE antibodies, and a positive lupus anticoagulant. This case emphasizes the importance of determining the etiology of PE, assessing risk classification, and implementing proper management, which are crucial for the patient's survival and outcome.

Abstract Image

Abstract Image

Abstract Image

复发性肺血栓栓塞合并心包填塞作为狼疮和抗磷脂综合征的初始表现:1例报告。
系统性红斑狼疮(SLE)是一种炎症性自身免疫性疾病,其重要病程是由于全身损害。SLE常伴有抗磷脂综合征,肺血栓栓塞(PE)尤为常见。PE作为首发临床表现极为罕见,与心包填塞同时出现更是罕见,这对诊断和治疗都是一个挑战。我们报告一例42岁女性复发性PE伴严重胸膜和心包积液、血流动力学不稳定和心脏填塞。实验室检查显示补体不足,白细胞减少,SLE抗体阴性,狼疮抗凝剂阳性。该病例强调了确定PE病因、评估风险分类和实施适当管理的重要性,这对患者的生存和预后至关重要。
本文章由计算机程序翻译,如有差异,请以英文原文为准。
求助全文
约1分钟内获得全文 求助全文
来源期刊
CiteScore
0.40
自引率
0.00%
发文量
0
审稿时长
4 weeks
×
引用
GB/T 7714-2015
复制
MLA
复制
APA
复制
导出至
BibTeX EndNote RefMan NoteFirst NoteExpress
×
提示
您的信息不完整,为了账户安全,请先补充。
现在去补充
×
提示
您因"违规操作"
具体请查看互助需知
我知道了
×
提示
确定
请完成安全验证×
copy
已复制链接
快去分享给好友吧!
我知道了
右上角分享
点击右上角分享
0
联系我们:info@booksci.cn Book学术提供免费学术资源搜索服务,方便国内外学者检索中英文文献。致力于提供最便捷和优质的服务体验。 Copyright © 2023 布克学术 All rights reserved.
京ICP备2023020795号-1
ghs 京公网安备 11010802042870号
Book学术文献互助
Book学术文献互助群
群 号:604180095
Book学术官方微信