Mitral valve infective endocarditis as a manifestation of disseminated Cryptococcus neoformans infection: a case report.

Oyuky Flores-Alamos, Diego González-Guzmán, Antonio de Jesús Andrade-Ortega, Jaime Ponce-Gallegos, Amayrani E Coyac-Cavazos, César Yldifonso Salinas-Ulloa, Marco Antonio Ponce-Gallegos
{"title":"Mitral valve infective endocarditis as a manifestation of disseminated Cryptococcus neoformans infection: a case report.","authors":"Oyuky Flores-Alamos, Diego González-Guzmán, Antonio de Jesús Andrade-Ortega, Jaime Ponce-Gallegos, Amayrani E Coyac-Cavazos, César Yldifonso Salinas-Ulloa, Marco Antonio Ponce-Gallegos","doi":"10.47487/apcyccv.v5i4.412","DOIUrl":null,"url":null,"abstract":"<p><p>Infective endocarditis is a disease that affects mainly the endocardial surface of the heart and cardiac valves (native or prosthetic). The main risk factors for developing infective endocarditis are male sex, older age, intracardiac shunts, prosthetic valves, rheumatic, and congenital heart disease, intracardiac devices, intravenous drugs use, immunosuppression, and hemodialysis. Streptococci and Staphylococci spp. have been the most frequent isolated organisms. On the other hand, the most common fungal organism in infective endocarditis is Candida albicans (24-46%), followed by Aspergillus spp. (25%), and a few cases by Cryptococcus neoformans, which are associated with higher rate of mortality. This case provides an interesting case of Cryptococcus neoformans native valve infective endocarditis in a young woman with stage IV chronic kidney disease and severe malnutrition.</p>","PeriodicalId":72295,"journal":{"name":"Archivos Peruanos de cardiologia y cirugia cardiovascular","volume":"5 4","pages":"233-236"},"PeriodicalIF":0.0000,"publicationDate":"2024-12-11","publicationTypes":"Journal Article","fieldsOfStudy":null,"isOpenAccess":false,"openAccessPdf":"https://www.ncbi.nlm.nih.gov/pmc/articles/PMC11753414/pdf/","citationCount":"0","resultStr":null,"platform":"Semanticscholar","paperid":null,"PeriodicalName":"Archivos Peruanos de cardiologia y cirugia cardiovascular","FirstCategoryId":"1085","ListUrlMain":"https://doi.org/10.47487/apcyccv.v5i4.412","RegionNum":0,"RegionCategory":null,"ArticlePicture":[],"TitleCN":null,"AbstractTextCN":null,"PMCID":null,"EPubDate":"2024/10/1 0:00:00","PubModel":"eCollection","JCR":"","JCRName":"","Score":null,"Total":0}
引用次数: 0

Abstract

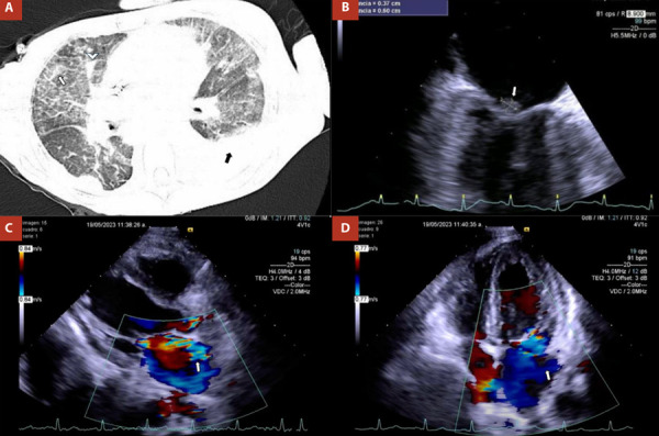
Infective endocarditis is a disease that affects mainly the endocardial surface of the heart and cardiac valves (native or prosthetic). The main risk factors for developing infective endocarditis are male sex, older age, intracardiac shunts, prosthetic valves, rheumatic, and congenital heart disease, intracardiac devices, intravenous drugs use, immunosuppression, and hemodialysis. Streptococci and Staphylococci spp. have been the most frequent isolated organisms. On the other hand, the most common fungal organism in infective endocarditis is Candida albicans (24-46%), followed by Aspergillus spp. (25%), and a few cases by Cryptococcus neoformans, which are associated with higher rate of mortality. This case provides an interesting case of Cryptococcus neoformans native valve infective endocarditis in a young woman with stage IV chronic kidney disease and severe malnutrition.

Abstract Image

二尖瓣感染性心内膜炎是播散性新型隐球菌感染的表现:1例报告。
感染性心内膜炎是一种主要影响心脏心内膜表面和心瓣膜(原生或人工)的疾病。发生感染性心内膜炎的主要危险因素是男性、年龄较大、心内分流术、人工瓣膜、风湿性和先天性心脏病、心内装置、静脉注射药物、免疫抑制和血液透析。链球菌和葡萄球菌是最常见的分离生物。另一方面,感染性心内膜炎中最常见的真菌是白色念珠菌(24-46%),其次是曲霉菌(25%),少数病例是新型隐球菌(隐球菌),它们与较高的死亡率相关。这个病例提供了一个有趣的新隐球菌原生瓣膜感染性心内膜炎的病例,发生在一个患有IV期慢性肾脏疾病和严重营养不良的年轻女性。
本文章由计算机程序翻译,如有差异,请以英文原文为准。
求助全文
约1分钟内获得全文 求助全文
来源期刊
CiteScore
0.40
自引率
0.00%
发文量
0
审稿时长
4 weeks
×
引用
GB/T 7714-2015
复制
MLA
复制
APA
复制
导出至
BibTeX EndNote RefMan NoteFirst NoteExpress
×
提示
您的信息不完整,为了账户安全,请先补充。
现在去补充
×
提示
您因"违规操作"
具体请查看互助需知
我知道了
×
提示
确定
请完成安全验证×
copy
已复制链接
快去分享给好友吧!
我知道了
右上角分享
点击右上角分享
0
联系我们:info@booksci.cn Book学术提供免费学术资源搜索服务,方便国内外学者检索中英文文献。致力于提供最便捷和优质的服务体验。 Copyright © 2023 布克学术 All rights reserved.
京ICP备2023020795号-1
ghs 京公网安备 11010802042870号
Book学术文献互助
Book学术文献互助群
群 号:604180095
Book学术官方微信