A Case of Pulmonary Sarcoidosis With Multiple Endobronchial Polypoid Structures and Partial Airway Obstruction.

IF 0.8 Q3 MEDICINE, GENERAL & INTERNAL
Nagihan Orhun, Utku Ekin, Islam Rajab, Jessimar Sanchez, Arham Hazari, Mourad Ismail
{"title":"A Case of Pulmonary Sarcoidosis With Multiple Endobronchial Polypoid Structures and Partial Airway Obstruction.","authors":"Nagihan Orhun, Utku Ekin, Islam Rajab, Jessimar Sanchez, Arham Hazari, Mourad Ismail","doi":"10.1177/23247096251313630","DOIUrl":null,"url":null,"abstract":"<p><p>We present a case of a 42-year-old male with sarcoidosis manifesting as endobronchial mass-like lesions, a rare and atypical presentation of the disease. Sarcoidosis typically involves the respiratory system, but its occurrence as endobronchial polyps mimicking malignancy is uncommon. The diagnosis was confirmed through bronchoscopy and biopsy, revealing non-caseating granulomas. Treatment with corticosteroids led to significant clinical improvement. This case underscores the importance of considering sarcoidosis in the differential diagnosis of endobronchial masses and the role of biopsy in confirming the diagnosis.</p>","PeriodicalId":16198,"journal":{"name":"Journal of investigative medicine high impact case reports","volume":"13 ","pages":"23247096251313630"},"PeriodicalIF":0.8000,"publicationDate":"2025-01-01","publicationTypes":"Journal Article","fieldsOfStudy":null,"isOpenAccess":false,"openAccessPdf":"https://www.ncbi.nlm.nih.gov/pmc/articles/PMC11758509/pdf/","citationCount":"0","resultStr":null,"platform":"Semanticscholar","paperid":null,"PeriodicalName":"Journal of investigative medicine high impact case reports","FirstCategoryId":"1085","ListUrlMain":"https://doi.org/10.1177/23247096251313630","RegionNum":0,"RegionCategory":null,"ArticlePicture":[],"TitleCN":null,"AbstractTextCN":null,"PMCID":null,"EPubDate":"","PubModel":"","JCR":"Q3","JCRName":"MEDICINE, GENERAL & INTERNAL","Score":null,"Total":0}
引用次数: 0

Abstract

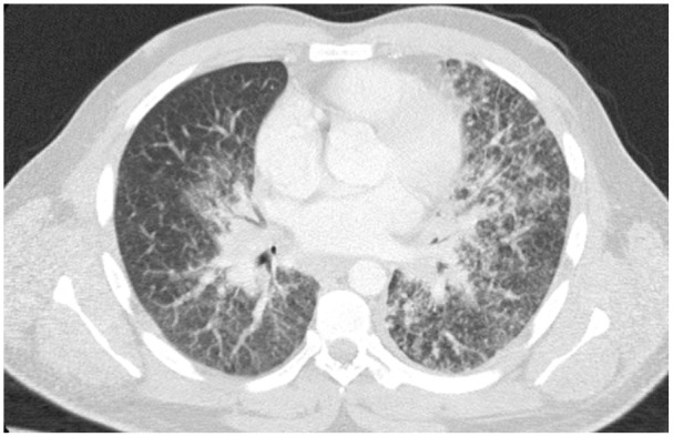
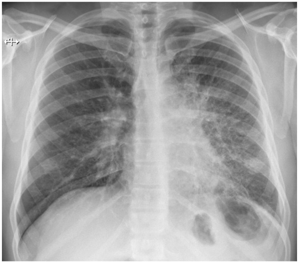
We present a case of a 42-year-old male with sarcoidosis manifesting as endobronchial mass-like lesions, a rare and atypical presentation of the disease. Sarcoidosis typically involves the respiratory system, but its occurrence as endobronchial polyps mimicking malignancy is uncommon. The diagnosis was confirmed through bronchoscopy and biopsy, revealing non-caseating granulomas. Treatment with corticosteroids led to significant clinical improvement. This case underscores the importance of considering sarcoidosis in the differential diagnosis of endobronchial masses and the role of biopsy in confirming the diagnosis.

Abstract Image

Abstract Image

Abstract Image

肺结节病合并多发性支气管内息肉样结构及部分气道阻塞1例。
我们报告一例42岁男性结节病表现为支气管内肿块样病变,罕见和不典型的表现。结节病通常累及呼吸系统,但以支气管内息肉样恶性肿瘤的发生并不常见。经支气管镜检查及活检证实为非干酪样肉芽肿。皮质类固醇治疗导致显著的临床改善。本病例强调了结节病在支气管内肿物鉴别诊断中的重要性,以及活检在确诊中的作用。
本文章由计算机程序翻译,如有差异,请以英文原文为准。
求助全文
约1分钟内获得全文 求助全文
来源期刊
CiteScore
1.90
自引率
0.00%
发文量
165
审稿时长
12 weeks
期刊介绍: The AFMR is committed to enhancing the training and career development of our members and to furthering its mission to facilitate the conduct of research to improve medical care. Case reports represent an important avenue for trainees (interns, residents, and fellows) and early-stage faculty to demonstrate productive, scholarly activity.
×
引用
GB/T 7714-2015
复制
MLA
复制
APA
复制
导出至
BibTeX EndNote RefMan NoteFirst NoteExpress
×
提示
您的信息不完整,为了账户安全,请先补充。
现在去补充
×
提示
您因"违规操作"
具体请查看互助需知
我知道了
×
提示
确定
请完成安全验证×
copy
已复制链接
快去分享给好友吧!
我知道了
右上角分享
点击右上角分享
0
联系我们:info@booksci.cn Book学术提供免费学术资源搜索服务,方便国内外学者检索中英文文献。致力于提供最便捷和优质的服务体验。 Copyright © 2023 布克学术 All rights reserved.
京ICP备2023020795号-1
ghs 京公网安备 11010802042870号
Book学术文献互助
Book学术文献互助群
群 号:604180095
Book学术官方微信