A Case of Radical Resection of Esophageal Basaloid Cell Carcinoma After Hemostasis by Transarterial Embolization.

IF 0.5 Q4 SURGERY
Case Reports in Surgery Pub Date : 2025-01-10 eCollection Date: 2025-01-01 DOI:10.1155/cris/7736573
Keita Sato, Koji Takahashi
{"title":"A Case of Radical Resection of Esophageal Basaloid Cell Carcinoma After Hemostasis by Transarterial Embolization.","authors":"Keita Sato, Koji Takahashi","doi":"10.1155/cris/7736573","DOIUrl":null,"url":null,"abstract":"<p><p>Esophageal bleeding management typically involves endoscopy but becomes challenging with large or hemorrhagic tumors, especially in cases of rare basal cell carcinoma. This malignancy, with a poorer prognosis than squamous cell carcinoma, often requires definitive surgery. A 78-year-old man with severe hematemesis underwent transarterial embolization (TAE) after failed endoscopic hemostasis for a middle thoracic esophageal tumor. Subsequently, he successfully underwent radical tumor resection on the seventh day of hospitalization. While emergency surgery is an option, its invasiveness may be a limitation, especially for patients in poor general condition. TAE is effective for hemostasis and serves as a crucial bridge to radical esophageal tumor resection.</p>","PeriodicalId":9600,"journal":{"name":"Case Reports in Surgery","volume":"2025 ","pages":"7736573"},"PeriodicalIF":0.5000,"publicationDate":"2025-01-10","publicationTypes":"Journal Article","fieldsOfStudy":null,"isOpenAccess":false,"openAccessPdf":"https://www.ncbi.nlm.nih.gov/pmc/articles/PMC11752104/pdf/","citationCount":"0","resultStr":null,"platform":"Semanticscholar","paperid":null,"PeriodicalName":"Case Reports in Surgery","FirstCategoryId":"1085","ListUrlMain":"https://doi.org/10.1155/cris/7736573","RegionNum":0,"RegionCategory":null,"ArticlePicture":[],"TitleCN":null,"AbstractTextCN":null,"PMCID":null,"EPubDate":"2025/1/1 0:00:00","PubModel":"eCollection","JCR":"Q4","JCRName":"SURGERY","Score":null,"Total":0}
引用次数: 0

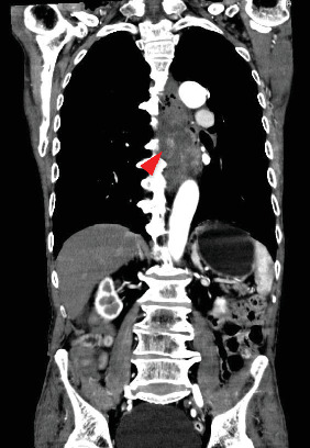
Abstract

Esophageal bleeding management typically involves endoscopy but becomes challenging with large or hemorrhagic tumors, especially in cases of rare basal cell carcinoma. This malignancy, with a poorer prognosis than squamous cell carcinoma, often requires definitive surgery. A 78-year-old man with severe hematemesis underwent transarterial embolization (TAE) after failed endoscopic hemostasis for a middle thoracic esophageal tumor. Subsequently, he successfully underwent radical tumor resection on the seventh day of hospitalization. While emergency surgery is an option, its invasiveness may be a limitation, especially for patients in poor general condition. TAE is effective for hemostasis and serves as a crucial bridge to radical esophageal tumor resection.

Abstract Image

Abstract Image

Abstract Image

经动脉栓塞根治性切除食管基底细胞癌1例。
食管出血的治疗通常需要内窥镜检查,但对于较大或出血性肿瘤,特别是罕见的基底细胞癌,则具有挑战性。这种恶性肿瘤的预后比鳞状细胞癌差,通常需要手术治疗。一位78岁男性患者在内镜下止血失败后,因严重呕血接受经动脉栓塞治疗。随后在住院第7天成功行肿瘤根治术。虽然紧急手术是一种选择,但其侵入性可能是一个限制,特别是对于一般情况较差的患者。TAE对止血有效,是食管肿瘤根治性切除的重要桥梁。
本文章由计算机程序翻译,如有差异,请以英文原文为准。
求助全文
约1分钟内获得全文 求助全文
来源期刊
自引率
0.00%
发文量
60
审稿时长
13 weeks
×
引用
GB/T 7714-2015
复制
MLA
复制
APA
复制
导出至
BibTeX EndNote RefMan NoteFirst NoteExpress
×
提示
您的信息不完整,为了账户安全,请先补充。
现在去补充
×
提示
您因"违规操作"
具体请查看互助需知
我知道了
×
提示
确定
请完成安全验证×
copy
已复制链接
快去分享给好友吧!
我知道了
右上角分享
点击右上角分享
0
联系我们:info@booksci.cn Book学术提供免费学术资源搜索服务,方便国内外学者检索中英文文献。致力于提供最便捷和优质的服务体验。 Copyright © 2023 布克学术 All rights reserved.
京ICP备2023020795号-1
ghs 京公网安备 11010802042870号
Book学术文献互助
Book学术文献互助群
群 号:604180095
Book学术官方微信