Medullary Renal Cell Carcinoma: A Case Study.

Kate Townsend
{"title":"Medullary Renal Cell Carcinoma: A Case Study.","authors":"Kate Townsend","doi":"10.6004/jadpro.2024.15.7.4","DOIUrl":null,"url":null,"abstract":"<p><p>Medullary renal cell carcinomas are exceedingly rare and essentially uniformly and rapidly fatal. Expeditious diagnosis is crucial. Immediate treatment with a clinical trial or platinum-based chemotherapy is needed for metastatic disease given the aggressive nature of medullary renal cell carcinomas. In this article, we discuss a 24-year-old man with no known significant past medical history who presented with a progressive cough and shortness of breath. After evaluation at an urgent care and four evaluations in the emergency department, the patient was admitted and ultimately diagnosed with metastatic medullary renal cell carcinoma. This case highlights the characteristics, presentation, rarity, and aggressiveness of medullary renal cell carcinoma.</p>","PeriodicalId":94110,"journal":{"name":"Journal of the advanced practitioner in oncology","volume":"15 7","pages":"451-456"},"PeriodicalIF":0.0000,"publicationDate":"2024-11-01","publicationTypes":"Journal Article","fieldsOfStudy":null,"isOpenAccess":false,"openAccessPdf":"https://www.ncbi.nlm.nih.gov/pmc/articles/PMC11741094/pdf/","citationCount":"0","resultStr":null,"platform":"Semanticscholar","paperid":null,"PeriodicalName":"Journal of the advanced practitioner in oncology","FirstCategoryId":"1085","ListUrlMain":"https://doi.org/10.6004/jadpro.2024.15.7.4","RegionNum":0,"RegionCategory":null,"ArticlePicture":[],"TitleCN":null,"AbstractTextCN":null,"PMCID":null,"EPubDate":"","PubModel":"","JCR":"","JCRName":"","Score":null,"Total":0}
引用次数: 0

Abstract

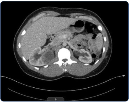
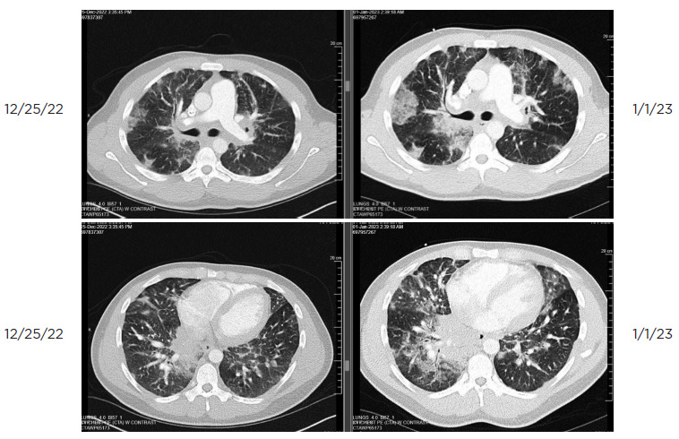
Medullary renal cell carcinomas are exceedingly rare and essentially uniformly and rapidly fatal. Expeditious diagnosis is crucial. Immediate treatment with a clinical trial or platinum-based chemotherapy is needed for metastatic disease given the aggressive nature of medullary renal cell carcinomas. In this article, we discuss a 24-year-old man with no known significant past medical history who presented with a progressive cough and shortness of breath. After evaluation at an urgent care and four evaluations in the emergency department, the patient was admitted and ultimately diagnosed with metastatic medullary renal cell carcinoma. This case highlights the characteristics, presentation, rarity, and aggressiveness of medullary renal cell carcinoma.

Abstract Image

Abstract Image

肾髓样细胞癌一例研究。
肾髓样细胞癌极为罕见,基本上是均匀且迅速致命的。迅速诊断至关重要。鉴于肾髓质细胞癌的侵袭性,转移性疾病需要立即进行临床试验或铂类化疗。在这篇文章中,我们讨论了一位24岁的男性,没有已知的重大病史,他表现为进行性咳嗽和呼吸短促。经过紧急护理评估和急诊部门的四次评估后,患者入院并最终诊断为转移性肾髓样细胞癌。本病例突出了肾髓样细胞癌的特点、表现、罕见性和侵袭性。
本文章由计算机程序翻译,如有差异,请以英文原文为准。
求助全文
约1分钟内获得全文 求助全文
来源期刊
自引率
0.00%
发文量
0
×
引用
GB/T 7714-2015
复制
MLA
复制
APA
复制
导出至
BibTeX EndNote RefMan NoteFirst NoteExpress
×
提示
您的信息不完整,为了账户安全,请先补充。
现在去补充
×
提示
您因"违规操作"
具体请查看互助需知
我知道了
×
提示
确定
请完成安全验证×
copy
已复制链接
快去分享给好友吧!
我知道了
右上角分享
点击右上角分享
0
联系我们:info@booksci.cn Book学术提供免费学术资源搜索服务,方便国内外学者检索中英文文献。致力于提供最便捷和优质的服务体验。 Copyright © 2023 布克学术 All rights reserved.
京ICP备2023020795号-1
ghs 京公网安备 11010802042870号
Book学术文献互助
Book学术文献互助群
群 号:604180095
Book学术官方微信