OPTIMIZING PERIOPERATIVE CARE FOR PERIHILAR CHOLANGIOCARCINOMA: THE CRUCIAL ROLE OF MULTIDISCIPLINARY MANAGEMENT, NEOADJUVANT THERAPY, AND INTERVENTIONAL RADIOLOGY.

IF 1.8
María Inés Gaete, José Donizeti de Meira Junior, Soledad Loyola, Luís Meneses, Jorge Dreyse, Joaquín Hevia, Eduardo Briceño, Jorge Martinez
{"title":"OPTIMIZING PERIOPERATIVE CARE FOR PERIHILAR CHOLANGIOCARCINOMA: THE CRUCIAL ROLE OF MULTIDISCIPLINARY MANAGEMENT, NEOADJUVANT THERAPY, AND INTERVENTIONAL RADIOLOGY.","authors":"María Inés Gaete, José Donizeti de Meira Junior, Soledad Loyola, Luís Meneses, Jorge Dreyse, Joaquín Hevia, Eduardo Briceño, Jorge Martinez","doi":"10.1590/0102-6720202400054e1848","DOIUrl":null,"url":null,"abstract":"<p><strong>Background: </strong>Perihilar cholangiocarcinoma presents unique challenges in perioperative management, requiring a comprehensive approach to optimize patient outcomes.</p><p><strong>Aims: </strong>This case study focuses on the multidisciplinary management and innovative interventions performed in the perioperative care of a patient with hilar cholangiocarcinoma.</p><p><strong>Methods: </strong>A comprehensive assessment and treatment strategy involving neoadjuvant therapy and interventional radiology techniques were implemented. Neoadjuvant chemotherapy was administered to reduce tumor size and improve resectability. The crucial role of interventional radiology in managing postoperative complications is highlighted, particularly in the case of massive pulmonary embolism.</p><p><strong>Results: </strong>The neoadjuvant therapy successfully reduced tumor size, enabling an R0 surgical resection. Additionally, interventional radiology interventions, such as percutaneous pharmaco-mechanical thrombectomy, effectively addressed the life-threatening complication of massive pulmonary embolism.</p><p><strong>Conclusions: </strong>This article highlights the importance of a collaborative, multidisciplinary approach in managing complex oncological surgeries, especially regarding the hospital's rescue capacity for severe postoperative complications. Emergent management with interventional radiology had a central role in resolving life-threatening complications.</p>","PeriodicalId":72298,"journal":{"name":"Arquivos brasileiros de cirurgia digestiva : ABCD = Brazilian archives of digestive surgery","volume":"37 ","pages":"e1848"},"PeriodicalIF":1.8000,"publicationDate":"2025-01-13","publicationTypes":"Journal Article","fieldsOfStudy":null,"isOpenAccess":false,"openAccessPdf":"https://www.ncbi.nlm.nih.gov/pmc/articles/PMC11729543/pdf/","citationCount":"0","resultStr":null,"platform":"Semanticscholar","paperid":null,"PeriodicalName":"Arquivos brasileiros de cirurgia digestiva : ABCD = Brazilian archives of digestive surgery","FirstCategoryId":"1085","ListUrlMain":"https://doi.org/10.1590/0102-6720202400054e1848","RegionNum":0,"RegionCategory":null,"ArticlePicture":[],"TitleCN":null,"AbstractTextCN":null,"PMCID":null,"EPubDate":"2025/1/1 0:00:00","PubModel":"eCollection","JCR":"","JCRName":"","Score":null,"Total":0}
引用次数: 0

Abstract

Background: Perihilar cholangiocarcinoma presents unique challenges in perioperative management, requiring a comprehensive approach to optimize patient outcomes.

Aims: This case study focuses on the multidisciplinary management and innovative interventions performed in the perioperative care of a patient with hilar cholangiocarcinoma.

Methods: A comprehensive assessment and treatment strategy involving neoadjuvant therapy and interventional radiology techniques were implemented. Neoadjuvant chemotherapy was administered to reduce tumor size and improve resectability. The crucial role of interventional radiology in managing postoperative complications is highlighted, particularly in the case of massive pulmonary embolism.

Results: The neoadjuvant therapy successfully reduced tumor size, enabling an R0 surgical resection. Additionally, interventional radiology interventions, such as percutaneous pharmaco-mechanical thrombectomy, effectively addressed the life-threatening complication of massive pulmonary embolism.

Conclusions: This article highlights the importance of a collaborative, multidisciplinary approach in managing complex oncological surgeries, especially regarding the hospital's rescue capacity for severe postoperative complications. Emergent management with interventional radiology had a central role in resolving life-threatening complications.

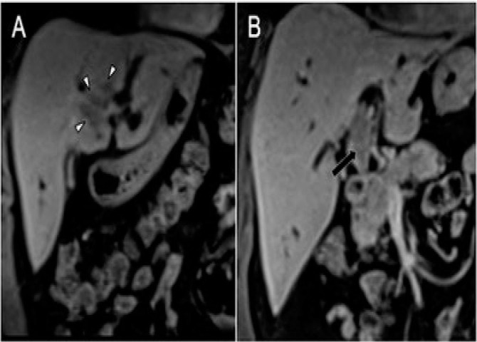
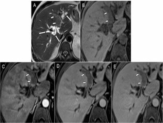
Abstract Image

Abstract Image

Abstract Image

优化肝门周围胆管癌围手术期护理:多学科管理、新辅助治疗和介入放射学的关键作用。
背景:肝门周围胆管癌的围手术期治疗面临着独特的挑战,需要综合的方法来优化患者的预后。目的:本病例研究的重点是在肝门胆管癌患者的围手术期护理中进行多学科管理和创新干预。方法:采用新辅助治疗与介入放射技术相结合的综合评估和治疗策略。给予新辅助化疗以减小肿瘤大小,提高可切除性。介入放射学在处理术后并发症中的关键作用被强调,特别是在大面积肺栓塞的情况下。结果:新辅助治疗成功缩小肿瘤大小,使R0手术切除成为可能。此外,介入放射学干预,如经皮药物机械取栓,有效地解决了危及生命的严重肺栓塞并发症。结论:本文强调了协作、多学科方法在管理复杂肿瘤手术中的重要性,特别是关于医院对严重术后并发症的抢救能力。介入放射学的紧急管理在解决危及生命的并发症中起着核心作用。
本文章由计算机程序翻译,如有差异,请以英文原文为准。
求助全文
约1分钟内获得全文 求助全文
来源期刊
自引率
0.00%
发文量
0
×
引用
GB/T 7714-2015
复制
MLA
复制
APA
复制
导出至
BibTeX EndNote RefMan NoteFirst NoteExpress
×
提示
您的信息不完整,为了账户安全,请先补充。
现在去补充
×
提示
您因"违规操作"
具体请查看互助需知
我知道了
×
提示
确定
请完成安全验证×
copy
已复制链接
快去分享给好友吧!
我知道了
右上角分享
点击右上角分享
0
联系我们:info@booksci.cn Book学术提供免费学术资源搜索服务,方便国内外学者检索中英文文献。致力于提供最便捷和优质的服务体验。 Copyright © 2023 布克学术 All rights reserved.
京ICP备2023020795号-1
ghs 京公网安备 11010802042870号
Book学术文献互助
Book学术文献互助群
群 号:604180095
Book学术官方微信