Sexual Abuse as a Cause of Sexually Transmitted Infections (STI) and Human Immunodeficiency Virus (HIV) in a Bisexual Adolescent Indonesian: A Case Report.

IF 1.8 Q4 INFECTIOUS DISEASES
HIV AIDS-Research and Palliative Care Pub Date : 2025-01-10 eCollection Date: 2025-01-01 DOI:10.2147/HIV.S494450
Pati Aji Achdiat, Raka Ghufran Wibowo, Ranisa Larasati, Rasmia Rowawi, Hermin Aminah Usman, Retno Hesty Maharani
{"title":"Sexual Abuse as a Cause of Sexually Transmitted Infections (STI) and Human Immunodeficiency Virus (HIV) in a Bisexual Adolescent Indonesian: A Case Report.","authors":"Pati Aji Achdiat, Raka Ghufran Wibowo, Ranisa Larasati, Rasmia Rowawi, Hermin Aminah Usman, Retno Hesty Maharani","doi":"10.2147/HIV.S494450","DOIUrl":null,"url":null,"abstract":"<p><p>Sexual abuse is any non-consensual sexual act or behavior using force, with significant concern in \"men who have sex with men\" (MSM), and younger individuals. The incidence of sexually transmitted infections (STI) is also prevalent in the cases of sexual abuse in this population, showing the need for comprehensive medical and psychological intervention. This study presents a case of a 15-year-old Indonesian MSM adolescent who experienced three forced sexual intercourse with a mid-thirties male friend 6 months before the consultation. Psychological evaluation showed signs of moderate depression, then the patient reported erythematous macules and collarettes on the palms and soles. These symptoms appeared 1 month before consultation, without associated pain or pruritus. Additionally, moist, skin-colored verrucous papules and plaques were observed in the perianal area, along with a history of unintentional weight loss. The Kinsey score was calculated as three, showing bisexuality. Testing confirmed positive results for both HIV and syphilis, leading to the secondary diagnosis. The patient tested negative for additional STI and was treated with benzathine benzylpenicillin G 2.4 million international unit (IU) and antiretroviral therapy. After one month, the skin lesions improved and the patient was referred to the psychiatric department for psychological treatment. Syphilis and HIV are the predominant infections, showing the critical necessity of administering appropriate medical treatment, such as antiretroviral therapy and comprehensive STI management, with psychological assessment and management to enhance the psychological well-being of sexually abused individuals.</p>","PeriodicalId":46555,"journal":{"name":"HIV AIDS-Research and Palliative Care","volume":"17 ","pages":"1-7"},"PeriodicalIF":1.8000,"publicationDate":"2025-01-10","publicationTypes":"Journal Article","fieldsOfStudy":null,"isOpenAccess":false,"openAccessPdf":"https://www.ncbi.nlm.nih.gov/pmc/articles/PMC11730749/pdf/","citationCount":"0","resultStr":null,"platform":"Semanticscholar","paperid":null,"PeriodicalName":"HIV AIDS-Research and Palliative Care","FirstCategoryId":"1085","ListUrlMain":"https://doi.org/10.2147/HIV.S494450","RegionNum":0,"RegionCategory":null,"ArticlePicture":[],"TitleCN":null,"AbstractTextCN":null,"PMCID":null,"EPubDate":"2025/1/1 0:00:00","PubModel":"eCollection","JCR":"Q4","JCRName":"INFECTIOUS DISEASES","Score":null,"Total":0}
引用次数: 0

Abstract

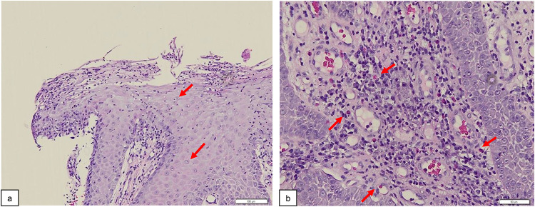
Sexual abuse is any non-consensual sexual act or behavior using force, with significant concern in "men who have sex with men" (MSM), and younger individuals. The incidence of sexually transmitted infections (STI) is also prevalent in the cases of sexual abuse in this population, showing the need for comprehensive medical and psychological intervention. This study presents a case of a 15-year-old Indonesian MSM adolescent who experienced three forced sexual intercourse with a mid-thirties male friend 6 months before the consultation. Psychological evaluation showed signs of moderate depression, then the patient reported erythematous macules and collarettes on the palms and soles. These symptoms appeared 1 month before consultation, without associated pain or pruritus. Additionally, moist, skin-colored verrucous papules and plaques were observed in the perianal area, along with a history of unintentional weight loss. The Kinsey score was calculated as three, showing bisexuality. Testing confirmed positive results for both HIV and syphilis, leading to the secondary diagnosis. The patient tested negative for additional STI and was treated with benzathine benzylpenicillin G 2.4 million international unit (IU) and antiretroviral therapy. After one month, the skin lesions improved and the patient was referred to the psychiatric department for psychological treatment. Syphilis and HIV are the predominant infections, showing the critical necessity of administering appropriate medical treatment, such as antiretroviral therapy and comprehensive STI management, with psychological assessment and management to enhance the psychological well-being of sexually abused individuals.

Abstract Image

Abstract Image

Abstract Image

性虐待作为性传播感染(STI)和人类免疫缺陷病毒(HIV)在印度尼西亚双性恋青少年的原因:一个案例报告。
性虐待是指任何未经双方同意的使用武力的性行为或行为,主要涉及“男男性行为者”(MSM)和年轻人。在这一人群中,性传播感染的发生率在性虐待案件中也很普遍,表明需要进行全面的医疗和心理干预。本研究报告了一名15岁的印度尼西亚MSM青少年,在咨询前6个月与一名35岁左右的男性朋友发生了三次强迫性行为。心理评估显示患者有中度抑郁症状,随后患者报告手掌和脚底出现红斑和斑点。这些症状在会诊前1个月出现,未伴有疼痛或瘙痒。此外,在肛周区域观察到湿润,皮肤颜色的疣状丘疹和斑块,并有非故意体重减轻的历史。金赛得分计算为3分,表明双性恋。检测证实艾滋病毒和梅毒均呈阳性,导致二次诊断。该患者对其他性传播感染检测呈阴性,并接受了苄星青霉素G 240万国际单位(IU)和抗逆转录病毒治疗。一个月后,皮肤病变改善,患者被转到精神科进行心理治疗。梅毒和艾滋病毒是主要的感染,因此急需进行适当的医疗,例如抗逆转录病毒治疗和性传播感染综合管理,并进行心理评估和管理,以增强受性虐待者的心理健康。
本文章由计算机程序翻译,如有差异,请以英文原文为准。
求助全文
约1分钟内获得全文 求助全文
来源期刊
CiteScore
3.00
自引率
6.70%
发文量
61
审稿时长
16 weeks
期刊介绍: About Dove Medical Press Dove Medical Press Ltd is part of Taylor & Francis Group, the Academic Publishing Division of Informa PLC. We specialize in the publication of Open Access peer-reviewed journals across the broad spectrum of science, technology and especially medicine. Dove Medical Press was founded in 2003 with the objective of combining the highest editorial standards with the ''best of breed'' new publishing technologies. We have offices in Manchester and London in the United Kingdom, representatives in Princeton, New Jersey in the United States, and our editorial offices are in Auckland, New Zealand. Dr Scott Fraser is our Medical Director based in the UK. He has been in full time clinical practice for over 20 years as well as having an active research interest.
×
引用
GB/T 7714-2015
复制
MLA
复制
APA
复制
导出至
BibTeX EndNote RefMan NoteFirst NoteExpress
×
提示
您的信息不完整,为了账户安全,请先补充。
现在去补充
×
提示
您因"违规操作"
具体请查看互助需知
我知道了
×
提示
确定
请完成安全验证×
copy
已复制链接
快去分享给好友吧!
我知道了
右上角分享
点击右上角分享
0
联系我们:info@booksci.cn Book学术提供免费学术资源搜索服务,方便国内外学者检索中英文文献。致力于提供最便捷和优质的服务体验。 Copyright © 2023 布克学术 All rights reserved.
京ICP备2023020795号-1
ghs 京公网安备 11010802042870号
Book学术文献互助
Book学术文献互助群
群 号:604180095
Book学术官方微信