Haploid like spermatid generation by transplantation of neonatal mouse testicular tissue into the epididymal fat of castrated adult mouse.

IF 1.9 Q3 OBSTETRICS & GYNECOLOGY
Hossein Eyni, Zohreh Mazaheri, Hooman SadriArdekani, Mansoureh Movahedin
{"title":"Haploid like spermatid generation by transplantation of neonatal mouse testicular tissue into the epididymal fat of castrated adult mouse.","authors":"Hossein Eyni, Zohreh Mazaheri, Hooman SadriArdekani, Mansoureh Movahedin","doi":"10.5935/1518-0557.20240084","DOIUrl":null,"url":null,"abstract":"<p><strong>Objective: </strong>Many cancer survivors may experience irreversible infertility due to chemotherapy treatment for childhood cancer. In this study, spermatogenesis development was evaluated following the grafting of fresh and frozen-thawed testicular tissue from neonatal mice to the epididymal fat of adult mice.</p><p><strong>Methods: </strong>After bilateral castration of recipient mice, fresh or frozen-thawed neonatal testis tissues were grafted into the epididymal fat of the mice. Grafted testicular tissue was evaluated eight weeks after implantation using H&E staining, real-time PCR, immunofluorescence staining, and TUNEL assay. Blood was drawn from recipient mice to determine testosterone, FSH, and LH levels.</p><p><strong>Results: </strong>A gradient of different types of germ cells, from spermatogonia to elongated spermatids was observed. The upregulation of meiotic and post-meiotic genes and proteins in fresh and frozen grafted groups confirmed the progression of meiosis and post-meiosis in grafted tissues. There were no significant differences in the expression of apoptosis and necrosis genes between the grafted and non-grafted control groups. Additionally, no significant differences were observed between the control and experimental groups in hormonal assessments.</p><p><strong>Conclusions: </strong>The optimal hormonal and temperature conditions of the epididymal fat could support spermatogenesis in grafted immature testicular tissue. This grafting technique could pave the way for fertility preservation.</p>","PeriodicalId":46364,"journal":{"name":"Jornal Brasileiro de Reproducao Assistida","volume":" ","pages":"41-52"},"PeriodicalIF":1.9000,"publicationDate":"2025-03-12","publicationTypes":"Journal Article","fieldsOfStudy":null,"isOpenAccess":false,"openAccessPdf":"https://www.ncbi.nlm.nih.gov/pmc/articles/PMC11867240/pdf/","citationCount":"0","resultStr":null,"platform":"Semanticscholar","paperid":null,"PeriodicalName":"Jornal Brasileiro de Reproducao Assistida","FirstCategoryId":"1085","ListUrlMain":"https://doi.org/10.5935/1518-0557.20240084","RegionNum":0,"RegionCategory":null,"ArticlePicture":[],"TitleCN":null,"AbstractTextCN":null,"PMCID":null,"EPubDate":"","PubModel":"","JCR":"Q3","JCRName":"OBSTETRICS & GYNECOLOGY","Score":null,"Total":0}
引用次数: 0

Abstract

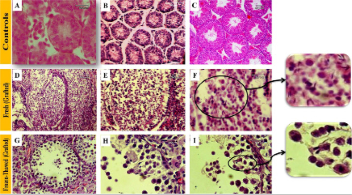
Objective: Many cancer survivors may experience irreversible infertility due to chemotherapy treatment for childhood cancer. In this study, spermatogenesis development was evaluated following the grafting of fresh and frozen-thawed testicular tissue from neonatal mice to the epididymal fat of adult mice.

Methods: After bilateral castration of recipient mice, fresh or frozen-thawed neonatal testis tissues were grafted into the epididymal fat of the mice. Grafted testicular tissue was evaluated eight weeks after implantation using H&E staining, real-time PCR, immunofluorescence staining, and TUNEL assay. Blood was drawn from recipient mice to determine testosterone, FSH, and LH levels.

Results: A gradient of different types of germ cells, from spermatogonia to elongated spermatids was observed. The upregulation of meiotic and post-meiotic genes and proteins in fresh and frozen grafted groups confirmed the progression of meiosis and post-meiosis in grafted tissues. There were no significant differences in the expression of apoptosis and necrosis genes between the grafted and non-grafted control groups. Additionally, no significant differences were observed between the control and experimental groups in hormonal assessments.

Conclusions: The optimal hormonal and temperature conditions of the epididymal fat could support spermatogenesis in grafted immature testicular tissue. This grafting technique could pave the way for fertility preservation.

Abstract Image

Abstract Image

Abstract Image

将新生小鼠睾丸组织移植到被阉割的成年小鼠附睾脂肪中产生单倍体样精子。
目的:许多癌症幸存者可能会因为儿童癌症的化疗而经历不可逆的不孕。在本研究中,将新生小鼠的新鲜和冻融睾丸组织移植到成年小鼠的附睾脂肪中,对精子发生发育进行了评估。方法:双侧阉割后,将新鲜或冻融的新生睾丸组织移植到小鼠附睾脂肪中。植入8周后,采用H&E染色、实时PCR、免疫荧光染色和TUNEL法对移植睾丸组织进行评估。从受体小鼠身上抽血测定睾酮、卵泡刺激素和黄体生成素水平。结果:观察到不同类型的生殖细胞从精原细胞到细长精子的梯度。新鲜和冷冻移植组减数分裂和减数分裂后基因和蛋白的上调证实了移植组织减数分裂和减数分裂后的进展。细胞凋亡和坏死基因的表达在移植组和未移植对照组之间无显著差异。此外,在激素评估方面,对照组和实验组之间没有观察到显著差异。结论:在适宜的激素和温度条件下,附睾脂肪可支持未成熟睾丸组织移植精子发生。这种嫁接技术可以为保存生育能力铺平道路。
本文章由计算机程序翻译,如有差异,请以英文原文为准。
求助全文
约1分钟内获得全文 求助全文
来源期刊
CiteScore
3.30
自引率
6.70%
发文量
56
×
引用
GB/T 7714-2015
复制
MLA
复制
APA
复制
导出至
BibTeX EndNote RefMan NoteFirst NoteExpress
×
提示
您的信息不完整,为了账户安全,请先补充。
现在去补充
×
提示
您因"违规操作"
具体请查看互助需知
我知道了
×
提示
确定
请完成安全验证×
copy
已复制链接
快去分享给好友吧!
我知道了
右上角分享
点击右上角分享
0
联系我们:info@booksci.cn Book学术提供免费学术资源搜索服务,方便国内外学者检索中英文文献。致力于提供最便捷和优质的服务体验。 Copyright © 2023 布克学术 All rights reserved.
京ICP备2023020795号-1
ghs 京公网安备 11010802042870号
Book学术文献互助
Book学术文献互助群
群 号:604180095
Book学术官方微信