Cervical Anatomical Characteristics in Women with Endometriosis: A Diagnostic Approach.

Q2 Medicine
Elahe Afshari, Roya Derakhshan, Shahla Chaichian, Seyed Reza Saadat Mostafavi, Shima Ghafourian Noroozi, Samaneh Rokhgireh, Abolfazl Mehdizadehkashi, Babak Sabet, Mohanna Khandan
{"title":"Cervical Anatomical Characteristics in Women with Endometriosis: A Diagnostic Approach.","authors":"Elahe Afshari, Roya Derakhshan, Shahla Chaichian, Seyed Reza Saadat Mostafavi, Shima Ghafourian Noroozi, Samaneh Rokhgireh, Abolfazl Mehdizadehkashi, Babak Sabet, Mohanna Khandan","doi":"10.18502/jri.v25i3.17016","DOIUrl":null,"url":null,"abstract":"<p><strong>Background: </strong>Endometriosis is a gynecologic disorder which causes dysmenorrhea and infertility. Early diagnosis of endometriosis can help prevent the necessity for invasive diagnostic procedures. Medical imaging has been widely utilized to diagnose various diseases without the need for invasive procedures. The purpose of this study was to investigate the cervical length in women with endometriosis.</p><p><strong>Methods: </strong>In this case-control study, the case group consisted of nulliparous women with endometriosis, while the control group comprised nulliparous women without endometriosis. A total of 42 individuals were included in each group. Cervical length was measured using transvaginal ultrasound from the external os to the internal os. The patients in the case group underwent laparoscopy to confirm the diagnosis. Pearson chi-square test and Fisher's exact test were employed to compare categorical variables with a p<0.05 considered statistically significant.</p><p><strong>Results: </strong>In both groups, there were no notable variations in any of the demographic characteristics. However, the severity of dysmenorrhea was significantly different between the two groups (p=0.01). The average diameter of the mediolateral cervix (29.48±6.2 and 27.14±3.8) was statistically significant between the patient group and control group, respectively (p=0.04). The mediolateral width may have a positive predictive effect on the presence of endometriosis, while cervical length appears to have a protective effect against endometriosis.</p><p><strong>Conclusion: </strong>Demographic data do not predict endometriosis. This study suggests that mediolateral width in transvaginal sonography can serve as a minimally invasive diagnostic tool for endometriosis, showing correlation with endometriosis symptoms like dysmenorrhea and dyspareunia.</p>","PeriodicalId":38826,"journal":{"name":"Journal of Reproduction and Infertility","volume":"25 3","pages":"219-223"},"PeriodicalIF":0.0000,"publicationDate":"2024-07-01","publicationTypes":"Journal Article","fieldsOfStudy":null,"isOpenAccess":false,"openAccessPdf":"https://www.ncbi.nlm.nih.gov/pmc/articles/PMC11736273/pdf/","citationCount":"0","resultStr":null,"platform":"Semanticscholar","paperid":null,"PeriodicalName":"Journal of Reproduction and Infertility","FirstCategoryId":"1085","ListUrlMain":"https://doi.org/10.18502/jri.v25i3.17016","RegionNum":0,"RegionCategory":null,"ArticlePicture":[],"TitleCN":null,"AbstractTextCN":null,"PMCID":null,"EPubDate":"","PubModel":"","JCR":"Q2","JCRName":"Medicine","Score":null,"Total":0}
引用次数: 0

Abstract

Background: Endometriosis is a gynecologic disorder which causes dysmenorrhea and infertility. Early diagnosis of endometriosis can help prevent the necessity for invasive diagnostic procedures. Medical imaging has been widely utilized to diagnose various diseases without the need for invasive procedures. The purpose of this study was to investigate the cervical length in women with endometriosis.

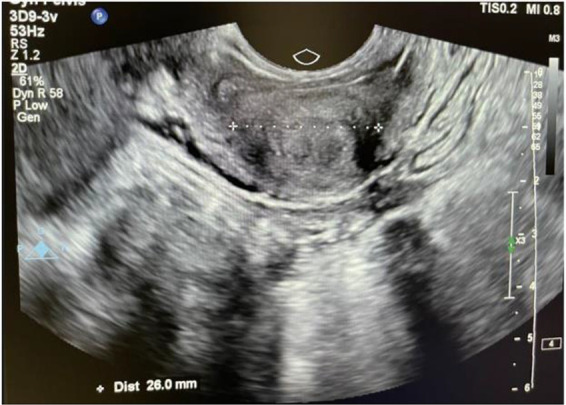
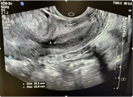
Methods: In this case-control study, the case group consisted of nulliparous women with endometriosis, while the control group comprised nulliparous women without endometriosis. A total of 42 individuals were included in each group. Cervical length was measured using transvaginal ultrasound from the external os to the internal os. The patients in the case group underwent laparoscopy to confirm the diagnosis. Pearson chi-square test and Fisher's exact test were employed to compare categorical variables with a p<0.05 considered statistically significant.

Results: In both groups, there were no notable variations in any of the demographic characteristics. However, the severity of dysmenorrhea was significantly different between the two groups (p=0.01). The average diameter of the mediolateral cervix (29.48±6.2 and 27.14±3.8) was statistically significant between the patient group and control group, respectively (p=0.04). The mediolateral width may have a positive predictive effect on the presence of endometriosis, while cervical length appears to have a protective effect against endometriosis.

Conclusion: Demographic data do not predict endometriosis. This study suggests that mediolateral width in transvaginal sonography can serve as a minimally invasive diagnostic tool for endometriosis, showing correlation with endometriosis symptoms like dysmenorrhea and dyspareunia.

Abstract Image

Abstract Image

子宫内膜异位症女性的宫颈解剖特征:一种诊断方法。
背景:子宫内膜异位症是一种引起痛经和不孕的妇科疾病。子宫内膜异位症的早期诊断有助于避免侵入性诊断程序的必要性。医学影像已被广泛用于诊断各种疾病,而无需侵入性手术。本研究的目的是探讨子宫内膜异位症妇女的宫颈长度。方法:在本病例-对照研究中,病例组为子宫内膜异位症的未生育妇女,对照组为未子宫内膜异位症的未生育妇女。每组共42人。使用经阴道超声从外肛到内肛测量宫颈长度。病例组患者行腹腔镜检查以确认诊断。使用Pearson卡方检验和Fisher精确检验对分类变量进行比较。结果:在两组中,任何人口统计学特征都没有显着变化。两组患者痛经程度差异有统计学意义(p=0.01)。患者组和对照组宫颈中外侧平均直径分别为29.48±6.2和27.14±3.8,差异有统计学意义(p=0.04)。中外侧宽度可能对子宫内膜异位症的存在有积极的预测作用,而宫颈长度似乎对子宫内膜异位症有保护作用。结论:人口统计学数据不能预测子宫内膜异位症。本研究提示经阴道超声中外侧宽度可作为子宫内膜异位症的微创诊断工具,与痛经、性交困难等子宫内膜异位症症状相关。
本文章由计算机程序翻译,如有差异,请以英文原文为准。
求助全文
约1分钟内获得全文 求助全文
来源期刊
Journal of Reproduction and Infertility
Journal of Reproduction and Infertility Medicine-Reproductive Medicine
CiteScore
2.70
自引率
0.00%
发文量
44
×
引用
GB/T 7714-2015
复制
MLA
复制
APA
复制
导出至
BibTeX EndNote RefMan NoteFirst NoteExpress
×
提示
您的信息不完整,为了账户安全,请先补充。
现在去补充
×
提示
您因"违规操作"
具体请查看互助需知
我知道了
×
提示
确定
请完成安全验证×
copy
已复制链接
快去分享给好友吧!
我知道了
右上角分享
点击右上角分享
0
联系我们:info@booksci.cn Book学术提供免费学术资源搜索服务,方便国内外学者检索中英文文献。致力于提供最便捷和优质的服务体验。 Copyright © 2023 布克学术 All rights reserved.
京ICP备2023020795号-1
ghs 京公网安备 11010802042870号
Book学术文献互助
Book学术文献互助群
群 号:604180095
Book学术官方微信