Endoscopic View of the Aorta Through the Oesophagus: An Unusual Complication Post Thoracic Endovascular Aortic Repair.

IF 0.5 Q4 GASTROENTEROLOGY & HEPATOLOGY
Case Reports in Gastrointestinal Medicine Pub Date : 2025-01-10 eCollection Date: 2025-01-01 DOI:10.1155/crgm/6277906
Kushedison Yunus, Hasib Ahmadzai, Eleanor Noreen Dunlop, Andrew Thomson
{"title":"Endoscopic View of the Aorta Through the Oesophagus: An Unusual Complication Post Thoracic Endovascular Aortic Repair.","authors":"Kushedison Yunus, Hasib Ahmadzai, Eleanor Noreen Dunlop, Andrew Thomson","doi":"10.1155/crgm/6277906","DOIUrl":null,"url":null,"abstract":"<p><p>We present a case of an 80-year-old female who presented with chest pain, vomiting and night sweats a few weeks post thoracic endovascular aortic aneurysm repair (TEVAR). A computed tomography (CT) scan demonstrated a type 1B endoleak for which she underwent a repeat TEVAR. Postoperatively, she developed fever, dysphagia, haematemesis and melaena. CT angiography subsequently confirmed an aorto-oesophageal fistula (AEF). Gastroscopy was performed to confirm this and found an ovoid oesophageal perforation with visible aortic graft and purulent fluid. Serial endoscopic oesophageal stents were placed and the patient recovered after an oesophageal Ultraflex stent was placed. Unfortunately, however, the patient was found unresponsive at home with black vomitus and in cardiac arrest and passed away 18 months after her initial endoscopic procedure. This case highlights that AEF is a complication following a TEVAR procedure. This can be managed temporarily with oesophageal stent placement and an Ultraflex stent in the longer term. However, oesophageal stent placement is not curative in cases of significant oesophageal perforation as it does not lead to lead to closure of a large defect.</p>","PeriodicalId":45645,"journal":{"name":"Case Reports in Gastrointestinal Medicine","volume":"2025 ","pages":"6277906"},"PeriodicalIF":0.5000,"publicationDate":"2025-01-10","publicationTypes":"Journal Article","fieldsOfStudy":null,"isOpenAccess":false,"openAccessPdf":"https://www.ncbi.nlm.nih.gov/pmc/articles/PMC11748745/pdf/","citationCount":"0","resultStr":null,"platform":"Semanticscholar","paperid":null,"PeriodicalName":"Case Reports in Gastrointestinal Medicine","FirstCategoryId":"1085","ListUrlMain":"https://doi.org/10.1155/crgm/6277906","RegionNum":0,"RegionCategory":null,"ArticlePicture":[],"TitleCN":null,"AbstractTextCN":null,"PMCID":null,"EPubDate":"2025/1/1 0:00:00","PubModel":"eCollection","JCR":"Q4","JCRName":"GASTROENTEROLOGY & HEPATOLOGY","Score":null,"Total":0}
引用次数: 0

Abstract

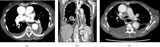
We present a case of an 80-year-old female who presented with chest pain, vomiting and night sweats a few weeks post thoracic endovascular aortic aneurysm repair (TEVAR). A computed tomography (CT) scan demonstrated a type 1B endoleak for which she underwent a repeat TEVAR. Postoperatively, she developed fever, dysphagia, haematemesis and melaena. CT angiography subsequently confirmed an aorto-oesophageal fistula (AEF). Gastroscopy was performed to confirm this and found an ovoid oesophageal perforation with visible aortic graft and purulent fluid. Serial endoscopic oesophageal stents were placed and the patient recovered after an oesophageal Ultraflex stent was placed. Unfortunately, however, the patient was found unresponsive at home with black vomitus and in cardiac arrest and passed away 18 months after her initial endoscopic procedure. This case highlights that AEF is a complication following a TEVAR procedure. This can be managed temporarily with oesophageal stent placement and an Ultraflex stent in the longer term. However, oesophageal stent placement is not curative in cases of significant oesophageal perforation as it does not lead to lead to closure of a large defect.

Abstract Image

Abstract Image

经食道主动脉的内窥镜观察:胸腔血管内主动脉修复术后的一种罕见并发症。
我们报告一例80岁的女性患者,在胸椎血管内动脉瘤修复术(TEVAR)后几周出现胸痛、呕吐和盗汗。计算机断层扫描(CT)显示1B型腔内漏,她接受了重复TEVAR。术后出现发热、吞咽困难、呕血、黑黑等症状。CT血管造影证实主动脉-食管瘘(AEF)。胃镜检查证实了这一点,发现一个卵形食管穿孔,可见主动脉移植和脓性液体。在内镜下放置一系列食管支架,患者在放置食管Ultraflex支架后康复。然而,不幸的是,患者在家中被发现无反应,有黑色呕吐物和心脏骤停,并在首次内窥镜手术18个月后去世。本病例强调AEF是TEVAR手术后的并发症。这可以暂时通过放置食管支架和长期使用Ultraflex支架来解决。然而,食管支架置入术不能治愈严重食管穿孔的病例,因为它不能导致大缺损的闭合。
本文章由计算机程序翻译,如有差异,请以英文原文为准。
求助全文
约1分钟内获得全文 求助全文
来源期刊
Case Reports in Gastrointestinal Medicine
Case Reports in Gastrointestinal Medicine GASTROENTEROLOGY & HEPATOLOGY-
自引率
0.00%
发文量
33
审稿时长
14 weeks
×
引用
GB/T 7714-2015
复制
MLA
复制
APA
复制
导出至
BibTeX EndNote RefMan NoteFirst NoteExpress
×
提示
您的信息不完整,为了账户安全,请先补充。
现在去补充
×
提示
您因"违规操作"
具体请查看互助需知
我知道了
×
提示
确定
请完成安全验证×
copy
已复制链接
快去分享给好友吧!
我知道了
右上角分享
点击右上角分享
0
联系我们:info@booksci.cn Book学术提供免费学术资源搜索服务,方便国内外学者检索中英文文献。致力于提供最便捷和优质的服务体验。 Copyright © 2023 布克学术 All rights reserved.
京ICP备2023020795号-1
ghs 京公网安备 11010802042870号
Book学术文献互助
Book学术文献互助群
群 号:604180095
Book学术官方微信