Morphometric analysis of extraocular muscles and proptosis by computed tomography in Graves' orbitopathy.

Q3 Medicine
Radiologia Brasileira Pub Date : 2024-12-27 eCollection Date: 2024-01-01 DOI:10.1590/0100-3984.2024.0040-en
Erika Mayumi Watanabe, Ronan Yudi Cavazzana, Douglas de Aguiar Manso Ribeiro, Lorena Candido Brandão, Ana Victória Haddad, José Eduardo Corrente, André Petean Trindade, Eliane Chaves Jorge
{"title":"Morphometric analysis of extraocular muscles and proptosis by computed tomography in Graves' orbitopathy.","authors":"Erika Mayumi Watanabe, Ronan Yudi Cavazzana, Douglas de Aguiar Manso Ribeiro, Lorena Candido Brandão, Ana Victória Haddad, José Eduardo Corrente, André Petean Trindade, Eliane Chaves Jorge","doi":"10.1590/0100-3984.2024.0040-en","DOIUrl":null,"url":null,"abstract":"<p><strong>Objective: </strong>To assess the prevalence of changes on computed tomography (CT) in Graves' orbitopathy (GO) and to correlate those changes with disease activity, as well as with clinical and biochemical variables.</p><p><strong>Materials and methods: </strong>This was a retrospective study, conducted at a tertiary hospital, of clinical, biochemical, and imaging data from consecutive patients with GO who underwent at least one orbital CT scan between July 2012 and December 2020. A single observer quantified the thickness of the extraocular muscles and the degree of proptosis. Clinical and biochemical variables were analyzed to determine whether they correlated with CT changes, GO activity, and GO severity.</p><p><strong>Results: </strong>Our sample included data from 67 patients with GO (134 orbits), 50 (74.6%) of whom were female. There were positive correlations between the clinical activity score and increase in thyroid-stimulating factor/free thyroxine, between the severity of GO and the increase in the thickness of the extraocular muscles, and between the degree of proptosis and muscle thickness.</p><p><strong>Conclusion: </strong>Orbital CT proved effective in detecting thickening of the extraocular muscles and proptosis in patients with GO, changes that correlated significantly with clinical and biochemical variables. Muscle thickening was associated with the severity of GO and could be a biomarker of the risk of vision loss.</p>","PeriodicalId":20842,"journal":{"name":"Radiologia Brasileira","volume":"57 ","pages":"e20240040en"},"PeriodicalIF":0.0000,"publicationDate":"2024-12-27","publicationTypes":"Journal Article","fieldsOfStudy":null,"isOpenAccess":false,"openAccessPdf":"https://www.ncbi.nlm.nih.gov/pmc/articles/PMC11734998/pdf/","citationCount":"0","resultStr":null,"platform":"Semanticscholar","paperid":null,"PeriodicalName":"Radiologia Brasileira","FirstCategoryId":"1085","ListUrlMain":"https://doi.org/10.1590/0100-3984.2024.0040-en","RegionNum":0,"RegionCategory":null,"ArticlePicture":[],"TitleCN":null,"AbstractTextCN":null,"PMCID":null,"EPubDate":"2024/1/1 0:00:00","PubModel":"eCollection","JCR":"Q3","JCRName":"Medicine","Score":null,"Total":0}
引用次数: 0

Abstract

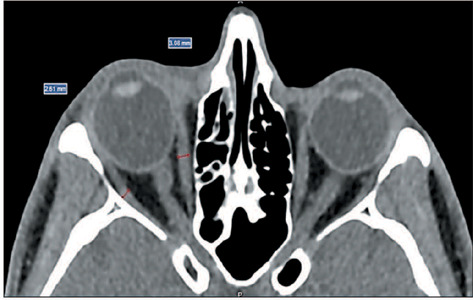
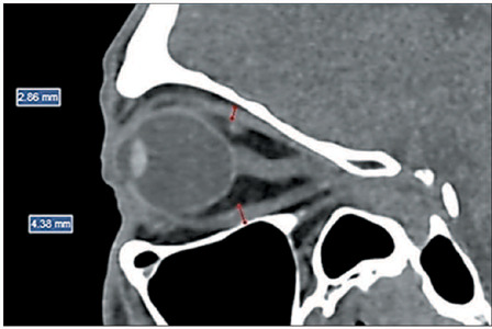
Objective: To assess the prevalence of changes on computed tomography (CT) in Graves' orbitopathy (GO) and to correlate those changes with disease activity, as well as with clinical and biochemical variables.

Materials and methods: This was a retrospective study, conducted at a tertiary hospital, of clinical, biochemical, and imaging data from consecutive patients with GO who underwent at least one orbital CT scan between July 2012 and December 2020. A single observer quantified the thickness of the extraocular muscles and the degree of proptosis. Clinical and biochemical variables were analyzed to determine whether they correlated with CT changes, GO activity, and GO severity.

Results: Our sample included data from 67 patients with GO (134 orbits), 50 (74.6%) of whom were female. There were positive correlations between the clinical activity score and increase in thyroid-stimulating factor/free thyroxine, between the severity of GO and the increase in the thickness of the extraocular muscles, and between the degree of proptosis and muscle thickness.

Conclusion: Orbital CT proved effective in detecting thickening of the extraocular muscles and proptosis in patients with GO, changes that correlated significantly with clinical and biochemical variables. Muscle thickening was associated with the severity of GO and could be a biomarker of the risk of vision loss.

Abstract Image

Abstract Image

Abstract Image

Graves眼病眼外肌和眼球突出的计算机断层形态学分析。
目的:评估Graves眼病(GO)的计算机断层扫描(CT)改变的患病率,并将这些改变与疾病活动性以及临床和生化变量联系起来。材料和方法:这是一项回顾性研究,在一家三级医院进行,收集了2012年7月至2020年12月期间至少进行一次眼眶CT扫描的连续GO患者的临床、生化和影像学数据。单个观察者量化眼外肌的厚度和眼球突出的程度。分析临床和生化变量,以确定它们是否与CT变化、氧化石墨烯活性和氧化石墨烯严重程度相关。结果:我们的样本包括67例GO患者(134个眼眶)的数据,其中50例(74.6%)为女性。临床活动度评分与促甲状腺因子/游离甲状腺素升高呈正相关,氧化石墨烯严重程度与眼外肌厚度升高呈正相关,眼球突出程度与肌厚呈正相关。结论:眼眶CT可有效检测GO患者眼外肌增厚及眼球突出,其变化与临床及生化指标有显著相关性。肌肉增厚与氧化石墨烯的严重程度有关,可能是视力丧失风险的生物标志物。
本文章由计算机程序翻译,如有差异,请以英文原文为准。
求助全文
约1分钟内获得全文 求助全文
来源期刊
Radiologia Brasileira
Radiologia Brasileira Medicine-Radiology, Nuclear Medicine and Imaging
CiteScore
2.60
自引率
0.00%
发文量
75
审稿时长
28 weeks
×
引用
GB/T 7714-2015
复制
MLA
复制
APA
复制
导出至
BibTeX EndNote RefMan NoteFirst NoteExpress
×
提示
您的信息不完整,为了账户安全,请先补充。
现在去补充
×
提示
您因"违规操作"
具体请查看互助需知
我知道了
×
提示
确定
请完成安全验证×
copy
已复制链接
快去分享给好友吧!
我知道了
右上角分享
点击右上角分享
0
联系我们:info@booksci.cn Book学术提供免费学术资源搜索服务,方便国内外学者检索中英文文献。致力于提供最便捷和优质的服务体验。 Copyright © 2023 布克学术 All rights reserved.
京ICP备2023020795号-1
ghs 京公网安备 11010802042870号
Book学术文献互助
Book学术文献互助群
群 号:604180095
Book学术官方微信