High Intelectin-1 Expression Associated with Aggressive Tumor Behavior and Worse Survival in Rectal Cancer.

IF 2.8 4区 医学 Q3 BIOTECHNOLOGY & APPLIED MICROBIOLOGY
OncoTargets and therapy Pub Date : 2025-01-13 eCollection Date: 2025-01-01 DOI:10.2147/OTT.S488608
Chia-Lin Chou, Cheng-Wei Lin, Wan-Shan Li, Tzu-Ju Chen, Sung-Wei Lee, Yu-Feng Tian, Yu-Hsuan Kuo, Hsin-Hwa Tsai, Li-Ching Wu, Cheng-Fa Yeh, Yow-Ling Shiue, Hong-Yue Lai, Ching-Chieh Yang
{"title":"High Intelectin-1 Expression Associated with Aggressive Tumor Behavior and Worse Survival in Rectal Cancer.","authors":"Chia-Lin Chou, Cheng-Wei Lin, Wan-Shan Li, Tzu-Ju Chen, Sung-Wei Lee, Yu-Feng Tian, Yu-Hsuan Kuo, Hsin-Hwa Tsai, Li-Ching Wu, Cheng-Fa Yeh, Yow-Ling Shiue, Hong-Yue Lai, Ching-Chieh Yang","doi":"10.2147/OTT.S488608","DOIUrl":null,"url":null,"abstract":"<p><strong>Background: </strong>Multimodal treatment involving preoperative chemoradiotherapy (CRT) followed by surgery is the current standard of care for rectal cancer. Despite advancements, the risk of recurrence, metastasis, and decreased survival remains high. This study aims to evaluate potential biomarkers to stratify prognosis in patients with rectal cancer undergoing preoperative CRT and surgery.</p><p><strong>Methods: </strong>Through data mining of receptor-binding pathways in a published transcriptome for rectal cancer cases, ITLN1 was identified as the most relevant gene associated with poor response to chemoradiation (GO:0005102). Rectal cancer specimens (n = 343) collected between 1998 and 2017 were analyzed for ITLN1 expression using immunohistochemistry. The association between ITLN1 protein expression and clinicopathological features was assessed using Pearson's chi-square test. Survival outcomes based on ITLN1 expression were evaluated using the Kaplan-Meier method and compared with Log rank tests.</p><p><strong>Results: </strong>ITLN1 immunoreactivity was significantly elevated in rectal tumor tissues. High ITLN1 expression was strongly associated with adverse clinicopathological features, including advanced post-treatment tumor status (T3-4; p = 0.001), post-treatment nodal status (N1-2; p < 0.001), vascular invasion (p = 0.017), perineural invasion (p = 0.001), and a lower degree of tumor regression (p = 0.009). Uni- and multivariable analyses revealed that high ITLN1 expression correlated with poorer disease-specific survival, local recurrence-free survival, and distant metastasis-free survival compared to low ITLN1 expression.</p><p><strong>Conclusion: </strong>Elevated ITLN1 expression is significantly associated with aggressive tumor behavior and unfavorable survival outcomes in rectal cancer. These findings highlight ITLN1 as a potential prognostic biomarker and provide a foundation for future research into its role in rectal cancer progression and treatment response.</p>","PeriodicalId":19534,"journal":{"name":"OncoTargets and therapy","volume":"18 ","pages":"15-26"},"PeriodicalIF":2.8000,"publicationDate":"2025-01-13","publicationTypes":"Journal Article","fieldsOfStudy":null,"isOpenAccess":false,"openAccessPdf":"https://www.ncbi.nlm.nih.gov/pmc/articles/PMC11740546/pdf/","citationCount":"0","resultStr":null,"platform":"Semanticscholar","paperid":null,"PeriodicalName":"OncoTargets and therapy","FirstCategoryId":"3","ListUrlMain":"https://doi.org/10.2147/OTT.S488608","RegionNum":4,"RegionCategory":"医学","ArticlePicture":[],"TitleCN":null,"AbstractTextCN":null,"PMCID":null,"EPubDate":"2025/1/1 0:00:00","PubModel":"eCollection","JCR":"Q3","JCRName":"BIOTECHNOLOGY & APPLIED MICROBIOLOGY","Score":null,"Total":0}
引用次数: 0

Abstract

Background: Multimodal treatment involving preoperative chemoradiotherapy (CRT) followed by surgery is the current standard of care for rectal cancer. Despite advancements, the risk of recurrence, metastasis, and decreased survival remains high. This study aims to evaluate potential biomarkers to stratify prognosis in patients with rectal cancer undergoing preoperative CRT and surgery.

Methods: Through data mining of receptor-binding pathways in a published transcriptome for rectal cancer cases, ITLN1 was identified as the most relevant gene associated with poor response to chemoradiation (GO:0005102). Rectal cancer specimens (n = 343) collected between 1998 and 2017 were analyzed for ITLN1 expression using immunohistochemistry. The association between ITLN1 protein expression and clinicopathological features was assessed using Pearson's chi-square test. Survival outcomes based on ITLN1 expression were evaluated using the Kaplan-Meier method and compared with Log rank tests.

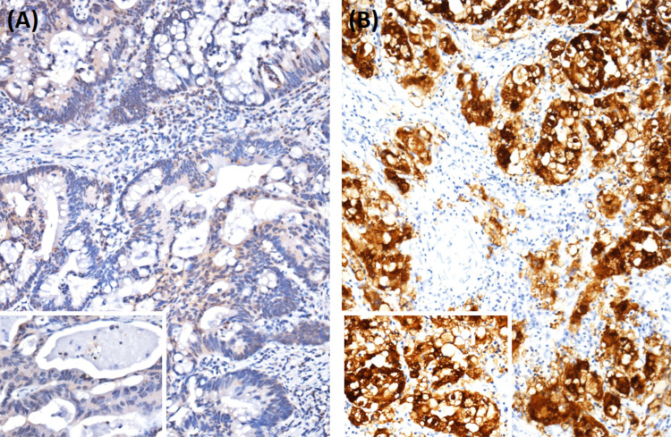
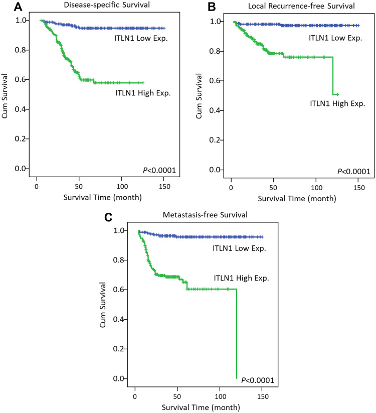
Results: ITLN1 immunoreactivity was significantly elevated in rectal tumor tissues. High ITLN1 expression was strongly associated with adverse clinicopathological features, including advanced post-treatment tumor status (T3-4; p = 0.001), post-treatment nodal status (N1-2; p < 0.001), vascular invasion (p = 0.017), perineural invasion (p = 0.001), and a lower degree of tumor regression (p = 0.009). Uni- and multivariable analyses revealed that high ITLN1 expression correlated with poorer disease-specific survival, local recurrence-free survival, and distant metastasis-free survival compared to low ITLN1 expression.

Conclusion: Elevated ITLN1 expression is significantly associated with aggressive tumor behavior and unfavorable survival outcomes in rectal cancer. These findings highlight ITLN1 as a potential prognostic biomarker and provide a foundation for future research into its role in rectal cancer progression and treatment response.

Abstract Image

Abstract Image

Abstract Image

高表达的inteectin -1与直肠癌侵袭性肿瘤行为和较差的生存率相关。
背景:包括术前放化疗(CRT)和手术在内的多模式治疗是目前直肠癌的标准治疗。尽管取得了进展,但复发、转移和生存率下降的风险仍然很高。本研究旨在评估直肠癌患者术前CRT和手术预后分层的潜在生物标志物。方法:通过对已发表的直肠癌病例转录组中受体结合途径的数据挖掘,ITLN1被确定为与放化疗不良反应最相关的基因(GO:0005102)。采用免疫组织化学方法分析1998年至2017年收集的343例直肠癌标本中ITLN1的表达。采用Pearson卡方检验评估ITLN1蛋白表达与临床病理特征之间的关系。使用Kaplan-Meier法评估基于ITLN1表达的生存结果,并与Log秩检验进行比较。结果:ITLN1免疫反应性在直肠肿瘤组织中显著升高。ITLN1高表达与不良临床病理特征密切相关,包括治疗后晚期肿瘤状态(T3-4;p = 0.001),治疗后淋巴结状态(N1-2;P < 0.001),血管侵犯(P = 0.017),神经周围侵犯(P = 0.001),肿瘤消退程度较低(P = 0.009)。单变量和多变量分析显示,与ITLN1低表达相比,ITLN1高表达与较差的疾病特异性生存、局部无复发生存和远端无转移生存相关。结论:ITLN1表达升高与直肠癌的侵袭性肿瘤行为和不良生存结局显著相关。这些发现突出了ITLN1作为一种潜在的预后生物标志物,并为进一步研究其在直肠癌进展和治疗反应中的作用奠定了基础。
本文章由计算机程序翻译,如有差异,请以英文原文为准。
求助全文
约1分钟内获得全文 求助全文
来源期刊
OncoTargets and therapy
OncoTargets and therapy BIOTECHNOLOGY & APPLIED MICROBIOLOGY-ONCOLOGY
CiteScore
9.70
自引率
0.00%
发文量
221
审稿时长
1 months
期刊介绍: OncoTargets and Therapy is an international, peer-reviewed journal focusing on molecular aspects of cancer research, that is, the molecular diagnosis of and targeted molecular or precision therapy for all types of cancer. The journal is characterized by the rapid reporting of high-quality original research, basic science, reviews and evaluations, expert opinion and commentary that shed novel insight on a cancer or cancer subtype. Specific topics covered by the journal include: -Novel therapeutic targets and innovative agents -Novel therapeutic regimens for improved benefit and/or decreased side effects -Early stage clinical trials Further considerations when submitting to OncoTargets and Therapy: -Studies containing in vivo animal model data will be considered favorably. -Tissue microarray analyses will not be considered except in cases where they are supported by comprehensive biological studies involving multiple cell lines. -Biomarker association studies will be considered only when validated by comprehensive in vitro data and analysis of human tissue samples. -Studies utilizing publicly available data (e.g. GWAS/TCGA/GEO etc.) should add to the body of knowledge about a specific disease or relevant phenotype and must be validated using the authors’ own data through replication in an independent sample set and functional follow-up. -Bioinformatics studies must be validated using the authors’ own data through replication in an independent sample set and functional follow-up. -Single nucleotide polymorphism (SNP) studies will not be considered.
×
引用
GB/T 7714-2015
复制
MLA
复制
APA
复制
导出至
BibTeX EndNote RefMan NoteFirst NoteExpress
×
提示
您的信息不完整,为了账户安全,请先补充。
现在去补充
×
提示
您因"违规操作"
具体请查看互助需知
我知道了
×
提示
确定
请完成安全验证×
copy
已复制链接
快去分享给好友吧!
我知道了
右上角分享
点击右上角分享
0
联系我们:info@booksci.cn Book学术提供免费学术资源搜索服务,方便国内外学者检索中英文文献。致力于提供最便捷和优质的服务体验。 Copyright © 2023 布克学术 All rights reserved.
京ICP备2023020795号-1
ghs 京公网安备 11010802042870号
Book学术文献互助
Book学术文献互助群
群 号:604180095
Book学术官方微信