Suspected Transient Ischemic Attack Related to Dysfunctional Quadricuspid Aortic Valve.

IF 0.8 Q3 MEDICINE, GENERAL & INTERNAL
Arun Katwaroo, Jessica Kawall, Priya Ramcharan, Valmiki Seecheran, Rajeev Seecheran, Nafeesah Ali, Shari Khan, Naveen Anand Seecheran
{"title":"Suspected Transient Ischemic Attack Related to Dysfunctional Quadricuspid Aortic Valve.","authors":"Arun Katwaroo, Jessica Kawall, Priya Ramcharan, Valmiki Seecheran, Rajeev Seecheran, Nafeesah Ali, Shari Khan, Naveen Anand Seecheran","doi":"10.1177/23247096251313625","DOIUrl":null,"url":null,"abstract":"<p><p>We describe a 30-year-old Caribbean-Black woman with a clinical presentation suggestive of a transient ischemic attack (TIA) with no conventional cerebrovascular risk factors, albeit with a newly diagnosed quadricuspid aortic valve (QAV) with moderate aortic regurgitation (AR). Although QAV is a recognized congenital cardiac defect, its association with TIA remains elusive. This case highlights the importance of considering potential atypical etiologies, such as QAV, in the evaluation and management of young patients presenting with cerebrovascular events.</p>","PeriodicalId":16198,"journal":{"name":"Journal of investigative medicine high impact case reports","volume":"13 ","pages":"23247096251313625"},"PeriodicalIF":0.8000,"publicationDate":"2025-01-01","publicationTypes":"Journal Article","fieldsOfStudy":null,"isOpenAccess":false,"openAccessPdf":"https://www.ncbi.nlm.nih.gov/pmc/articles/PMC11755524/pdf/","citationCount":"0","resultStr":null,"platform":"Semanticscholar","paperid":null,"PeriodicalName":"Journal of investigative medicine high impact case reports","FirstCategoryId":"1085","ListUrlMain":"https://doi.org/10.1177/23247096251313625","RegionNum":0,"RegionCategory":null,"ArticlePicture":[],"TitleCN":null,"AbstractTextCN":null,"PMCID":null,"EPubDate":"","PubModel":"","JCR":"Q3","JCRName":"MEDICINE, GENERAL & INTERNAL","Score":null,"Total":0}
引用次数: 0

Abstract

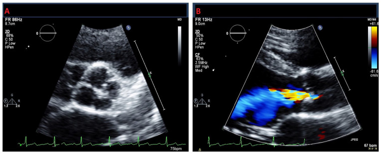
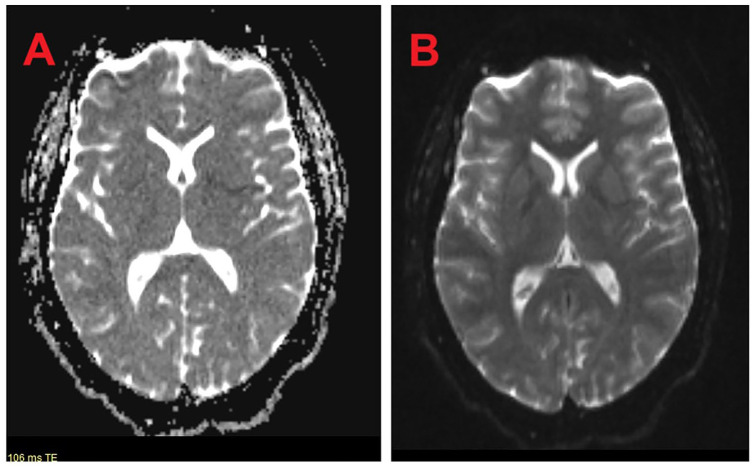
We describe a 30-year-old Caribbean-Black woman with a clinical presentation suggestive of a transient ischemic attack (TIA) with no conventional cerebrovascular risk factors, albeit with a newly diagnosed quadricuspid aortic valve (QAV) with moderate aortic regurgitation (AR). Although QAV is a recognized congenital cardiac defect, its association with TIA remains elusive. This case highlights the importance of considering potential atypical etiologies, such as QAV, in the evaluation and management of young patients presenting with cerebrovascular events.

Abstract Image

Abstract Image

Abstract Image

怀疑与四尖瓣功能不全相关的短暂性脑缺血发作。
我们描述了一位30岁的加勒比黑人女性,临床表现提示短暂性脑缺血发作(TIA),没有传统的脑血管危险因素,尽管新诊断的四尖瓣主动脉瓣(QAV)伴有中度主动脉反流(AR)。虽然QAV是一种公认的先天性心脏缺陷,但其与TIA的关系仍然难以捉摸。该病例强调了在评估和处理出现脑血管事件的年轻患者时考虑潜在的非典型病因(如QAV)的重要性。
本文章由计算机程序翻译,如有差异,请以英文原文为准。
求助全文
约1分钟内获得全文 求助全文
来源期刊
CiteScore
1.90
自引率
0.00%
发文量
165
审稿时长
12 weeks
期刊介绍: The AFMR is committed to enhancing the training and career development of our members and to furthering its mission to facilitate the conduct of research to improve medical care. Case reports represent an important avenue for trainees (interns, residents, and fellows) and early-stage faculty to demonstrate productive, scholarly activity.
×
引用
GB/T 7714-2015
复制
MLA
复制
APA
复制
导出至
BibTeX EndNote RefMan NoteFirst NoteExpress
×
提示
您的信息不完整,为了账户安全,请先补充。
现在去补充
×
提示
您因"违规操作"
具体请查看互助需知
我知道了
×
提示
确定
请完成安全验证×
copy
已复制链接
快去分享给好友吧!
我知道了
右上角分享
点击右上角分享
0
联系我们:info@booksci.cn Book学术提供免费学术资源搜索服务,方便国内外学者检索中英文文献。致力于提供最便捷和优质的服务体验。 Copyright © 2023 布克学术 All rights reserved.
京ICP备2023020795号-1
ghs 京公网安备 11010802042870号
Book学术文献互助
Book学术文献互助群
群 号:604180095
Book学术官方微信