Lymphocytic Gastritis in a Patient With Microscopic Colitis: A Case Report.

IF 0.6 Q3 MEDICINE, GENERAL & INTERNAL
Saba Ahmed, Jewel Estrella, Khaleeq Siddiqui, Fahad Malik, Karen Avgush, Yasir Ahmed
{"title":"Lymphocytic Gastritis in a Patient With Microscopic Colitis: A Case Report.","authors":"Saba Ahmed, Jewel Estrella, Khaleeq Siddiqui, Fahad Malik, Karen Avgush, Yasir Ahmed","doi":"10.55729/2000-9666.1421","DOIUrl":null,"url":null,"abstract":"<p><p>Lymphocytic gastritis (LG) is a rare form of gastritis characterized by lymphocytosis in the gastric mucosa, while microscopic colitis (MC) is the chronic inflammatory disease of the large intestine with lymphocytic or collagenous colitis as two distinct histologic forms. These lymphocytic disorders of the gastrointestinal tract (GIT) have various associations, commonly gluten-sensitive enteropathy, <i>Helicobacter pylori</i> infection and while others are less commonly associated. We report a case of a 24-year-old patient with concomitant lymphocytic gastritis and microscopic colitis diagnosed via histopathologic analysis of tissue specimens from stomach and colon. The presence of a lymphocytic disorder in GIT should prompt workup for associated disorders. There is also an association between lymphocytic disorders of the lower GIT with the upper GIT, and vice versa. Endoscopy is important to diagnose comorbid lymphocytic conditions, and subsequently, guiding treatment.</p>","PeriodicalId":15460,"journal":{"name":"Journal of Community Hospital Internal Medicine Perspectives","volume":"14 6","pages":"115-119"},"PeriodicalIF":0.6000,"publicationDate":"2024-11-02","publicationTypes":"Journal Article","fieldsOfStudy":null,"isOpenAccess":false,"openAccessPdf":"https://www.ncbi.nlm.nih.gov/pmc/articles/PMC11745193/pdf/","citationCount":"0","resultStr":null,"platform":"Semanticscholar","paperid":null,"PeriodicalName":"Journal of Community Hospital Internal Medicine Perspectives","FirstCategoryId":"1085","ListUrlMain":"https://doi.org/10.55729/2000-9666.1421","RegionNum":0,"RegionCategory":null,"ArticlePicture":[],"TitleCN":null,"AbstractTextCN":null,"PMCID":null,"EPubDate":"2024/1/1 0:00:00","PubModel":"eCollection","JCR":"Q3","JCRName":"MEDICINE, GENERAL & INTERNAL","Score":null,"Total":0}
引用次数: 0

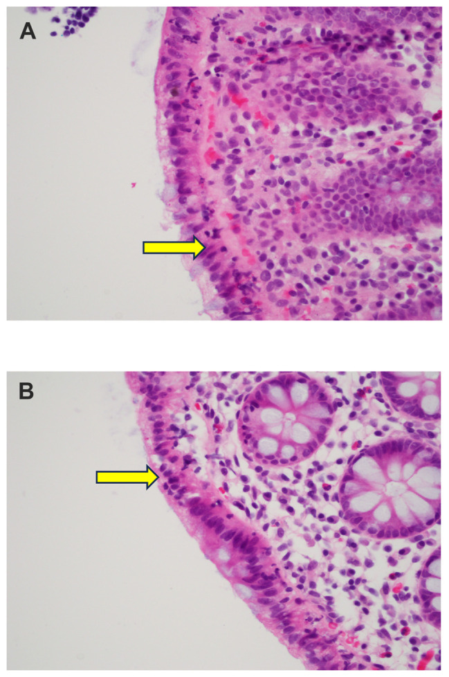
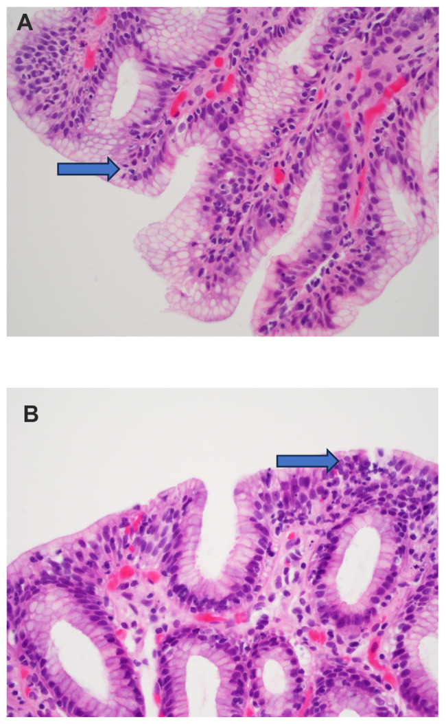
Abstract

Lymphocytic gastritis (LG) is a rare form of gastritis characterized by lymphocytosis in the gastric mucosa, while microscopic colitis (MC) is the chronic inflammatory disease of the large intestine with lymphocytic or collagenous colitis as two distinct histologic forms. These lymphocytic disorders of the gastrointestinal tract (GIT) have various associations, commonly gluten-sensitive enteropathy, Helicobacter pylori infection and while others are less commonly associated. We report a case of a 24-year-old patient with concomitant lymphocytic gastritis and microscopic colitis diagnosed via histopathologic analysis of tissue specimens from stomach and colon. The presence of a lymphocytic disorder in GIT should prompt workup for associated disorders. There is also an association between lymphocytic disorders of the lower GIT with the upper GIT, and vice versa. Endoscopy is important to diagnose comorbid lymphocytic conditions, and subsequently, guiding treatment.

Abstract Image

Abstract Image

淋巴细胞性胃炎合并显微镜下结肠炎1例。
淋巴细胞性胃炎(LG)是一种罕见的胃炎,以胃粘膜淋巴细胞增多为特征,而显微镜下结肠炎(MC)是大肠的慢性炎症性疾病,以淋巴细胞性或胶原性结肠炎为两种不同的组织学形式。这些胃肠道淋巴细胞疾病(GIT)有各种各样的关联,常见的是麸质敏感性肠病,幽门螺杆菌感染,而其他不太常见的关联。我们报告一例24岁的患者,通过胃和结肠组织标本的组织病理学分析诊断为伴发淋巴细胞性胃炎和显微镜下结肠炎。GIT中淋巴细胞疾病的出现应提示相关疾病的检查。下GIT与上GIT的淋巴细胞疾病之间也存在关联,反之亦然。内窥镜检查对于诊断淋巴细胞合并症并指导治疗具有重要意义。
本文章由计算机程序翻译,如有差异,请以英文原文为准。
求助全文
约1分钟内获得全文 求助全文
来源期刊
自引率
0.00%
发文量
106
审稿时长
17 weeks
期刊介绍: JCHIMP provides: up-to-date information in the field of Internal Medicine to community hospital medical professionals a platform for clinical faculty, residents, and medical students to publish research relevant to community hospital programs. Manuscripts that explore aspects of medicine at community hospitals welcome, including but not limited to: the best practices of community academic programs community hospital-based research opinion and insight from community hospital leadership and faculty the scholarly work of residents and medical students affiliated with community hospitals.
×
引用
GB/T 7714-2015
复制
MLA
复制
APA
复制
导出至
BibTeX EndNote RefMan NoteFirst NoteExpress
×
提示
您的信息不完整,为了账户安全,请先补充。
现在去补充
×
提示
您因"违规操作"
具体请查看互助需知
我知道了
×
提示
确定
请完成安全验证×
copy
已复制链接
快去分享给好友吧!
我知道了
右上角分享
点击右上角分享
0
联系我们:info@booksci.cn Book学术提供免费学术资源搜索服务,方便国内外学者检索中英文文献。致力于提供最便捷和优质的服务体验。 Copyright © 2023 布克学术 All rights reserved.
京ICP备2023020795号-1
ghs 京公网安备 11010802042870号
Book学术文献互助
Book学术文献互助群
群 号:604180095
Book学术官方微信