Analysis of Exosomal miRNA and Hepatic mRNA Expression in the Dysregulation of Insulin Action in Perimenopausal Mice.

IF 3.4 3区 医学 Q2 ENDOCRINOLOGY & METABOLISM
Journal of Diabetes Research Pub Date : 2025-01-09 eCollection Date: 2025-01-01 DOI:10.1155/jdr/6251747
Yu Yang, Yu Chen, Changju Liu, Su Wang, Yijing Zhao, Wen Cao, Kun Wang
{"title":"Analysis of Exosomal miRNA and Hepatic mRNA Expression in the Dysregulation of Insulin Action in Perimenopausal Mice.","authors":"Yu Yang, Yu Chen, Changju Liu, Su Wang, Yijing Zhao, Wen Cao, Kun Wang","doi":"10.1155/jdr/6251747","DOIUrl":null,"url":null,"abstract":"<p><p><b>Introduction:</b> The aim of present study was to evaluate the impact of perimenopause on insulin resistance. Specifically, insulin sensitivity was assessed in a perimenopausal mouse model treated with 4-vinylcyclohexene diepoxide (VCD), together with the changes in exosomal miRNA and hepatic mRNA expression profiles. <b>Methods:</b> Homeostasis model assessment of insulin resistance (HOMA-IR) was utilized to assess the status of insulin resistance, and insulin action was evaluated during menopausal transition. RNA sequencing (RNA-seq) analysis was used to identify altered expression profiles of exosomal miRNAs and hepatic mRNAs. Differentially expressed miRNA (DEM)-differentially expressed gene (DEG) network analyses were also conducted. Furthermore, altered expression levels of these exosomal miRNAs and genes were validated in plasma exosomes and liver tissue of perimenopausal mice. <b>Results:</b> HOMA-IR in VCD-treated mice was significantly increased, and hepatic glycogen was significantly decreased. Key exosomal miRNAs (miR-17-3p, miR-134-5p, miR-700-5p, and miR-6899-3p) and hepatic genes (<i>G6pdx</i>, <i>Ptpn2</i>, <i>Lepr</i>, <i>Kras</i>, and <i>Braf</i>) may be associated with impaired insulin signaling during perimenopause. <b>Conclusion:</b> The perimenopausal period acts as a potential factor in introducing insulin resistance as evidenced by impaired insulin action and altered expression profiles of exosomal miRNAs and hepatic genes. The present study contributes to the understanding that abnormal cargos carried by plasma exosomes, such as miRNAs, may be related to altered expression of the corresponding genes in the liver and abnormal insulin response.</p>","PeriodicalId":15576,"journal":{"name":"Journal of Diabetes Research","volume":"2025 ","pages":"6251747"},"PeriodicalIF":3.4000,"publicationDate":"2025-01-09","publicationTypes":"Journal Article","fieldsOfStudy":null,"isOpenAccess":false,"openAccessPdf":"https://www.ncbi.nlm.nih.gov/pmc/articles/PMC11737908/pdf/","citationCount":"0","resultStr":null,"platform":"Semanticscholar","paperid":null,"PeriodicalName":"Journal of Diabetes Research","FirstCategoryId":"3","ListUrlMain":"https://doi.org/10.1155/jdr/6251747","RegionNum":3,"RegionCategory":"医学","ArticlePicture":[],"TitleCN":null,"AbstractTextCN":null,"PMCID":null,"EPubDate":"2025/1/1 0:00:00","PubModel":"eCollection","JCR":"Q2","JCRName":"ENDOCRINOLOGY & METABOLISM","Score":null,"Total":0}
引用次数: 0

Abstract

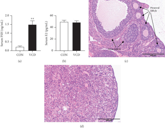
Introduction: The aim of present study was to evaluate the impact of perimenopause on insulin resistance. Specifically, insulin sensitivity was assessed in a perimenopausal mouse model treated with 4-vinylcyclohexene diepoxide (VCD), together with the changes in exosomal miRNA and hepatic mRNA expression profiles. Methods: Homeostasis model assessment of insulin resistance (HOMA-IR) was utilized to assess the status of insulin resistance, and insulin action was evaluated during menopausal transition. RNA sequencing (RNA-seq) analysis was used to identify altered expression profiles of exosomal miRNAs and hepatic mRNAs. Differentially expressed miRNA (DEM)-differentially expressed gene (DEG) network analyses were also conducted. Furthermore, altered expression levels of these exosomal miRNAs and genes were validated in plasma exosomes and liver tissue of perimenopausal mice. Results: HOMA-IR in VCD-treated mice was significantly increased, and hepatic glycogen was significantly decreased. Key exosomal miRNAs (miR-17-3p, miR-134-5p, miR-700-5p, and miR-6899-3p) and hepatic genes (G6pdx, Ptpn2, Lepr, Kras, and Braf) may be associated with impaired insulin signaling during perimenopause. Conclusion: The perimenopausal period acts as a potential factor in introducing insulin resistance as evidenced by impaired insulin action and altered expression profiles of exosomal miRNAs and hepatic genes. The present study contributes to the understanding that abnormal cargos carried by plasma exosomes, such as miRNAs, may be related to altered expression of the corresponding genes in the liver and abnormal insulin response.

Abstract Image

Abstract Image

Abstract Image

围绝经期小鼠胰岛素作用失调的外泌体miRNA和肝脏mRNA表达分析。
前言:本研究的目的是评估围绝经期对胰岛素抵抗的影响。具体来说,在围绝经期小鼠模型中,用4-乙烯基环己烯二氧化物(VCD)治疗胰岛素敏感性,以及外泌体miRNA和肝脏mRNA表达谱的变化进行了评估。方法:采用胰岛素抵抗稳态模型评估(HOMA-IR)评估胰岛素抵抗状态,并评估绝经过渡期的胰岛素作用。RNA测序(RNA-seq)分析用于鉴定外泌体miRNAs和肝脏mrna的表达谱。差异表达miRNA (DEM)-差异表达基因(DEG)网络分析也进行了。此外,在围绝经期小鼠的血浆外泌体和肝组织中证实了这些外泌体mirna和基因表达水平的改变。结果:vcd处理小鼠HOMA-IR明显升高,肝糖原明显降低。关键的外泌体mirna (miR-17-3p、miR-134-5p、miR-700-5p和miR-6899-3p)和肝脏基因(G6pdx、Ptpn2、Lepr、Kras和Braf)可能与围绝经期胰岛素信号通路受损有关。结论:围绝经期是引入胰岛素抵抗的一个潜在因素,胰岛素作用受损,外泌体mirna和肝脏基因表达谱改变。本研究有助于理解血浆外泌体携带的异常货物,如miRNAs,可能与肝脏中相应基因的表达改变和胰岛素反应异常有关。
本文章由计算机程序翻译,如有差异,请以英文原文为准。
求助全文
约1分钟内获得全文 求助全文
来源期刊
Journal of Diabetes Research
Journal of Diabetes Research ENDOCRINOLOGY & METABOLISM-MEDICINE, RESEARCH & EXPERIMENTAL
CiteScore
8.40
自引率
2.30%
发文量
152
审稿时长
14 weeks
期刊介绍: Journal of Diabetes Research is a peer-reviewed, Open Access journal that publishes research articles, review articles, and clinical studies related to type 1 and type 2 diabetes. The journal welcomes submissions focusing on the epidemiology, etiology, pathogenesis, management, and prevention of diabetes, as well as associated complications, such as diabetic retinopathy, neuropathy and nephropathy.
×
引用
GB/T 7714-2015
复制
MLA
复制
APA
复制
导出至
BibTeX EndNote RefMan NoteFirst NoteExpress
×
提示
您的信息不完整,为了账户安全,请先补充。
现在去补充
×
提示
您因"违规操作"
具体请查看互助需知
我知道了
×
提示
确定
请完成安全验证×
copy
已复制链接
快去分享给好友吧!
我知道了
右上角分享
点击右上角分享
0
联系我们:info@booksci.cn Book学术提供免费学术资源搜索服务,方便国内外学者检索中英文文献。致力于提供最便捷和优质的服务体验。 Copyright © 2023 布克学术 All rights reserved.
京ICP备2023020795号-1
ghs 京公网安备 11010802042870号
Book学术文献互助
Book学术文献互助群
群 号:604180095
Book学术官方微信