Vaping: A Safe Alternative to Counteract Smoking? Case Report.

IF 0.6 Q3 MEDICINE, GENERAL & INTERNAL
Clinical Medicine Insights. Case Reports Pub Date : 2025-01-16 eCollection Date: 2025-01-01 DOI:10.1177/11795476251313766
María Cristina Martínez-Ávila, Eugenio Matijasevic Ardila, Alieth Lucía Acosta Cardozo, Cristian Camilo Alvarado Castro, Carlos Eduardo Matiz-Bueno
{"title":"Vaping: A Safe Alternative to Counteract Smoking? Case Report.","authors":"María Cristina Martínez-Ávila, Eugenio Matijasevic Ardila, Alieth Lucía Acosta Cardozo, Cristian Camilo Alvarado Castro, Carlos Eduardo Matiz-Bueno","doi":"10.1177/11795476251313766","DOIUrl":null,"url":null,"abstract":"<p><p>The respiratory impact of e-cigarette usage, also known as vaping, emerged as a significant healthcare issue in 2019. This concern arose due to the sharp rise in cases of e-cigarette or vaping-associated lung injury (EVALI) among adolescents and young adults. Now, systemic manifestations have been described. We present the case of a 39-year-old male patient who had been vaping for 5 years and developed EVALI associated with multiple severe complications, including acute myocardial infarction, metabolic acidosis, acute kidney injury and sepsis-like syndrome, requiring hospitalization in the critical care unit. Every day, reports of patients with systemic complications due to the use of e-cigarettes are becoming more frequent. Therefore, it is crucial for clinicians to be aware of this condition and to consider whether vaping truly constitutes a safe alternative to combat smoking.</p>","PeriodicalId":10357,"journal":{"name":"Clinical Medicine Insights. Case Reports","volume":"18 ","pages":"11795476251313766"},"PeriodicalIF":0.6000,"publicationDate":"2025-01-16","publicationTypes":"Journal Article","fieldsOfStudy":null,"isOpenAccess":false,"openAccessPdf":"https://www.ncbi.nlm.nih.gov/pmc/articles/PMC11736730/pdf/","citationCount":"0","resultStr":null,"platform":"Semanticscholar","paperid":null,"PeriodicalName":"Clinical Medicine Insights. Case Reports","FirstCategoryId":"1085","ListUrlMain":"https://doi.org/10.1177/11795476251313766","RegionNum":0,"RegionCategory":null,"ArticlePicture":[],"TitleCN":null,"AbstractTextCN":null,"PMCID":null,"EPubDate":"2025/1/1 0:00:00","PubModel":"eCollection","JCR":"Q3","JCRName":"MEDICINE, GENERAL & INTERNAL","Score":null,"Total":0}
引用次数: 0

Abstract

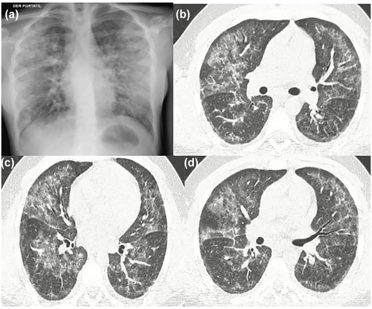
The respiratory impact of e-cigarette usage, also known as vaping, emerged as a significant healthcare issue in 2019. This concern arose due to the sharp rise in cases of e-cigarette or vaping-associated lung injury (EVALI) among adolescents and young adults. Now, systemic manifestations have been described. We present the case of a 39-year-old male patient who had been vaping for 5 years and developed EVALI associated with multiple severe complications, including acute myocardial infarction, metabolic acidosis, acute kidney injury and sepsis-like syndrome, requiring hospitalization in the critical care unit. Every day, reports of patients with systemic complications due to the use of e-cigarettes are becoming more frequent. Therefore, it is crucial for clinicians to be aware of this condition and to consider whether vaping truly constitutes a safe alternative to combat smoking.

Abstract Image

Abstract Image

Abstract Image

电子烟:一种安全的替代吸烟?病例报告。
使用电子烟对呼吸系统的影响,也被称为vaping,在2019年成为一个重大的医疗问题。这种担忧是由于青少年和年轻人中电子烟或与电子烟相关的肺损伤(EVALI)病例急剧增加而引起的。现在已经描述了系统性的表现。我们报告了一名39岁男性患者,他吸电子烟5年,并发EVALI并伴有多种严重并发症,包括急性心肌梗死、代谢性酸中毒、急性肾损伤和败血症样综合征,需要在重症监护病房住院治疗。每天,由于使用电子烟而导致全身并发症的患者报告越来越频繁。因此,临床医生必须意识到这种情况,并考虑电子烟是否真的是一种安全的替代吸烟的选择。
本文章由计算机程序翻译,如有差异,请以英文原文为准。
求助全文
约1分钟内获得全文 求助全文
来源期刊
Clinical Medicine Insights. Case Reports
Clinical Medicine Insights. Case Reports MEDICINE, GENERAL & INTERNAL-
CiteScore
1.10
自引率
0.00%
发文量
57
审稿时长
8 weeks
×
引用
GB/T 7714-2015
复制
MLA
复制
APA
复制
导出至
BibTeX EndNote RefMan NoteFirst NoteExpress
×
提示
您的信息不完整,为了账户安全,请先补充。
现在去补充
×
提示
您因"违规操作"
具体请查看互助需知
我知道了
×
提示
确定
请完成安全验证×
copy
已复制链接
快去分享给好友吧!
我知道了
右上角分享
点击右上角分享
0
联系我们:info@booksci.cn Book学术提供免费学术资源搜索服务,方便国内外学者检索中英文文献。致力于提供最便捷和优质的服务体验。 Copyright © 2023 布克学术 All rights reserved.
京ICP备2023020795号-1
ghs 京公网安备 11010802042870号
Book学术文献互助
Book学术文献互助群
群 号:604180095
Book学术官方微信