Primary diffuse leptomeningeal atypical teratoid/rhabdoid tumours (ATRT) of childhood: a molecularly characterised case report and literature review.

IF 1.2 4区 医学 Q4 CLINICAL NEUROLOGY
S M Stivaros, L M Parkes, R Bedir, E Cheesman, D Ram, L Leung, A Huang, J P Kilday
{"title":"Primary diffuse leptomeningeal atypical teratoid/rhabdoid tumours (ATRT) of childhood: a molecularly characterised case report and literature review.","authors":"S M Stivaros, L M Parkes, R Bedir, E Cheesman, D Ram, L Leung, A Huang, J P Kilday","doi":"10.1007/s00381-024-06698-w","DOIUrl":null,"url":null,"abstract":"<p><strong>Background: </strong>Atypical teratoid/rhabdoid tumours (ATRTs) are malignant central nervous system tumours, typically presenting in the posterior fossa of very young children. Prognosis remains poor despite current therapy, while tumorigenesis implicates both genomic and epigenetic dysregulation. Primary diffuse leptomeningeal (PDL) ATRT, characterised by the absence of an intraparenchymal mass lesion, is seldom reported but appears associated with a dismal outcome.</p><p><strong>Case presentation: </strong>We describe a 7-year-old male presenting with a PDL MYC-subgroup ATRT. The patient received multimodal upfront therapy, including high-dose craniospinal radiotherapy, embedded within a chemotherapy backbone. An unexpected clinical and radiological improvement was also observed upon cessation of all therapy for presumed disease progression. Although the patient eventually succumbed to the disease at 30 months, he demonstrated the longest survival for any PDL ATRT patient reported (median 8 months).</p><p><strong>Conclusion: </strong>Exhaustive literature review identified seven preceding published cases of PDL ATRT. Ours is the only one to have molecular subgrouping assigned. Perfusion imaging, within a multi-parametric diagnostic package, may be a sensitive marker for malignancy against other aetiologies in challenging presentations. Acknowledging the scarcity of the entity, we cautiously suggest a combination of chemotherapy and upfront high-dose craniospinal radiotherapy, if appropriate, may prolong survival for older children with PDL ATRT compared to exclusive chemotherapy or focal irradiation-based strategies. Our patient's recovery during palliation following a radiological diagnosis of disseminated relapse highlights the importance of confirming disease recurrence by tissue extraction where feasible.</p>","PeriodicalId":9970,"journal":{"name":"Child's Nervous System","volume":"41 1","pages":"93"},"PeriodicalIF":1.2000,"publicationDate":"2025-01-22","publicationTypes":"Journal Article","fieldsOfStudy":null,"isOpenAccess":false,"openAccessPdf":"https://www.ncbi.nlm.nih.gov/pmc/articles/PMC11754338/pdf/","citationCount":"0","resultStr":null,"platform":"Semanticscholar","paperid":null,"PeriodicalName":"Child's Nervous System","FirstCategoryId":"3","ListUrlMain":"https://doi.org/10.1007/s00381-024-06698-w","RegionNum":4,"RegionCategory":"医学","ArticlePicture":[],"TitleCN":null,"AbstractTextCN":null,"PMCID":null,"EPubDate":"","PubModel":"","JCR":"Q4","JCRName":"CLINICAL NEUROLOGY","Score":null,"Total":0}
引用次数: 0

Abstract

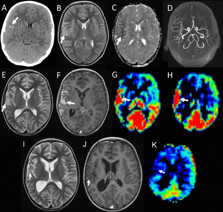
Background: Atypical teratoid/rhabdoid tumours (ATRTs) are malignant central nervous system tumours, typically presenting in the posterior fossa of very young children. Prognosis remains poor despite current therapy, while tumorigenesis implicates both genomic and epigenetic dysregulation. Primary diffuse leptomeningeal (PDL) ATRT, characterised by the absence of an intraparenchymal mass lesion, is seldom reported but appears associated with a dismal outcome.

Case presentation: We describe a 7-year-old male presenting with a PDL MYC-subgroup ATRT. The patient received multimodal upfront therapy, including high-dose craniospinal radiotherapy, embedded within a chemotherapy backbone. An unexpected clinical and radiological improvement was also observed upon cessation of all therapy for presumed disease progression. Although the patient eventually succumbed to the disease at 30 months, he demonstrated the longest survival for any PDL ATRT patient reported (median 8 months).

Conclusion: Exhaustive literature review identified seven preceding published cases of PDL ATRT. Ours is the only one to have molecular subgrouping assigned. Perfusion imaging, within a multi-parametric diagnostic package, may be a sensitive marker for malignancy against other aetiologies in challenging presentations. Acknowledging the scarcity of the entity, we cautiously suggest a combination of chemotherapy and upfront high-dose craniospinal radiotherapy, if appropriate, may prolong survival for older children with PDL ATRT compared to exclusive chemotherapy or focal irradiation-based strategies. Our patient's recovery during palliation following a radiological diagnosis of disseminated relapse highlights the importance of confirming disease recurrence by tissue extraction where feasible.

Abstract Image

Abstract Image

Abstract Image

儿童原发性弥漫性轻脑膜非典型畸胎瘤/横纹肌样肿瘤(ATRT):一个分子特征的病例报告和文献复习。
背景:非典型畸胎瘤/横纹肌样肿瘤(ATRTs)是恶性中枢神经系统肿瘤,通常出现在非常年幼的儿童后窝。尽管目前的治疗,预后仍然很差,而肿瘤的发生涉及基因组和表观遗传失调。原发性弥漫性脑膜轻脑膜(PDL) ATRT,其特征是没有实质内肿块病变,很少报道,但其预后较差。病例介绍:我们描述了一名7岁男性,表现为PDL myc亚群ATRT。患者接受了多模式前期治疗,包括高剂量颅脊髓放射治疗,嵌入化疗骨干。在停止所有假定疾病进展的治疗后,也观察到意想不到的临床和放射学改善。虽然患者最终在30个月时死于疾病,但他的生存时间是所有PDL ATRT患者中最长的(中位8个月)。结论:详尽的文献回顾确定了先前发表的7例PDL ATRT病例。我们的是唯一指定了分子亚群的。灌注成像,在一个多参数诊断包,可能是一个敏感的标志物,恶性肿瘤对其他病因具有挑战性的表现。考虑到该实体的稀缺性,我们谨慎地建议,如果合适的话,化疗和前期高剂量颅脊髓放射治疗的组合可能会延长年龄较大的PDL ATRT儿童的生存时间,而不是单独化疗或局部放疗。我们的病人在放射诊断为播散性复发后姑息治疗期间的康复突出了在可行的情况下通过组织提取确认疾病复发的重要性。
本文章由计算机程序翻译,如有差异,请以英文原文为准。
求助全文
约1分钟内获得全文 求助全文
来源期刊
Child's Nervous System
Child's Nervous System 医学-临床神经学
CiteScore
3.00
自引率
7.10%
发文量
322
审稿时长
3 months
期刊介绍: The journal has been expanded to encompass all aspects of pediatric neurosciences concerning the developmental and acquired abnormalities of the nervous system and its coverings, functional disorders, epilepsy, spasticity, basic and clinical neuro-oncology, rehabilitation and trauma. Global pediatric neurosurgery is an additional field of interest that will be considered for publication in the journal.
×
引用
GB/T 7714-2015
复制
MLA
复制
APA
复制
导出至
BibTeX EndNote RefMan NoteFirst NoteExpress
×
提示
您的信息不完整,为了账户安全,请先补充。
现在去补充
×
提示
您因"违规操作"
具体请查看互助需知
我知道了
×
提示
确定
请完成安全验证×
copy
已复制链接
快去分享给好友吧!
我知道了
右上角分享
点击右上角分享
0
联系我们:info@booksci.cn Book学术提供免费学术资源搜索服务,方便国内外学者检索中英文文献。致力于提供最便捷和优质的服务体验。 Copyright © 2023 布克学术 All rights reserved.
京ICP备2023020795号-1
ghs 京公网安备 11010802042870号
Book学术文献互助
Book学术文献互助群
群 号:604180095
Book学术官方微信