Atypical Femur Fracture in a Teenager on Chronic Imatinib Therapy.

IF 0.6 Q4 ONCOLOGY
Case Reports in Oncological Medicine Pub Date : 2025-01-06 eCollection Date: 2025-01-01 DOI:10.1155/crom/2081905
Ana C Belzarena, James L Cook
{"title":"Atypical Femur Fracture in a Teenager on Chronic Imatinib Therapy.","authors":"Ana C Belzarena, James L Cook","doi":"10.1155/crom/2081905","DOIUrl":null,"url":null,"abstract":"<p><p>Atypical femoral fractures (AFFs) are rare fractures usually associated with medications that can ultimately alter bone metabolism. Imatinib, a drug prescribed for treatment of chronic myeloid leukemia (CML), has been associated with altered bone homeostasis, however, with unknown clinical significance. Here, we present the case of a 17-year-old female, with a diagnosis of CML undergoing chronic imatinib therapy, who developed an AFF treated successfully with prophylactic fixation with intramedullary nailing. Our case underscores the importance of prompt recognition of this entity to allow patients timely appropriate care, even at an early age.</p>","PeriodicalId":9636,"journal":{"name":"Case Reports in Oncological Medicine","volume":"2025 ","pages":"2081905"},"PeriodicalIF":0.6000,"publicationDate":"2025-01-06","publicationTypes":"Journal Article","fieldsOfStudy":null,"isOpenAccess":false,"openAccessPdf":"https://www.ncbi.nlm.nih.gov/pmc/articles/PMC11729510/pdf/","citationCount":"0","resultStr":null,"platform":"Semanticscholar","paperid":null,"PeriodicalName":"Case Reports in Oncological Medicine","FirstCategoryId":"1085","ListUrlMain":"https://doi.org/10.1155/crom/2081905","RegionNum":0,"RegionCategory":null,"ArticlePicture":[],"TitleCN":null,"AbstractTextCN":null,"PMCID":null,"EPubDate":"2025/1/1 0:00:00","PubModel":"eCollection","JCR":"Q4","JCRName":"ONCOLOGY","Score":null,"Total":0}
引用次数: 0

Abstract

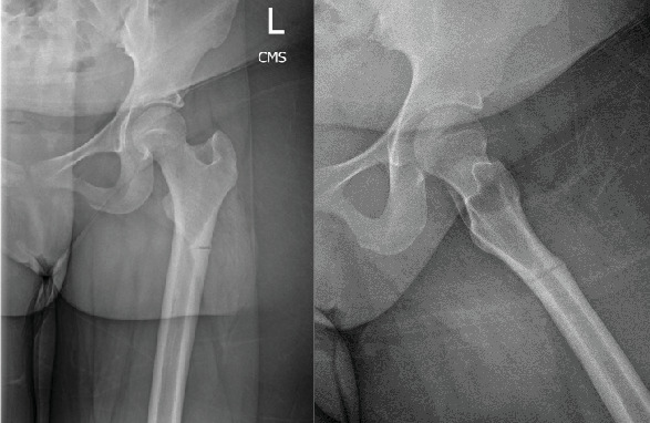
Atypical femoral fractures (AFFs) are rare fractures usually associated with medications that can ultimately alter bone metabolism. Imatinib, a drug prescribed for treatment of chronic myeloid leukemia (CML), has been associated with altered bone homeostasis, however, with unknown clinical significance. Here, we present the case of a 17-year-old female, with a diagnosis of CML undergoing chronic imatinib therapy, who developed an AFF treated successfully with prophylactic fixation with intramedullary nailing. Our case underscores the importance of prompt recognition of this entity to allow patients timely appropriate care, even at an early age.

Abstract Image

Abstract Image

Abstract Image

慢性伊马替尼治疗的青少年非典型股骨骨折。
非典型股骨骨折(AFFs)是一种罕见的骨折,通常与最终改变骨代谢的药物有关。伊马替尼(Imatinib)是一种用于治疗慢性髓性白血病(CML)的药物,与骨稳态改变有关,但其临床意义尚不清楚。在这里,我们报告了一名17岁的女性,诊断为慢性粒细胞白血病,接受慢性伊马替尼治疗,她发展为AFF,通过髓内钉预防性固定成功治疗。我们的病例强调了迅速认识到这一实体的重要性,以便患者及时得到适当的护理,即使是在早期。
本文章由计算机程序翻译,如有差异,请以英文原文为准。
求助全文
约1分钟内获得全文 求助全文
来源期刊
自引率
0.00%
发文量
11
审稿时长
16 weeks
期刊介绍: Case Reports in Oncological Medicine is a peer-reviewed, Open Access journal that publishes case reports and case series related to breast cancer, lung cancer, gastrointestinal cancer, skin cancer, head and neck cancer, paediatric oncology, neurooncology as well as genitourinary cancer.
×
引用
GB/T 7714-2015
复制
MLA
复制
APA
复制
导出至
BibTeX EndNote RefMan NoteFirst NoteExpress
×
提示
您的信息不完整,为了账户安全,请先补充。
现在去补充
×
提示
您因"违规操作"
具体请查看互助需知
我知道了
×
提示
确定
请完成安全验证×
copy
已复制链接
快去分享给好友吧!
我知道了
右上角分享
点击右上角分享
0
联系我们:info@booksci.cn Book学术提供免费学术资源搜索服务,方便国内外学者检索中英文文献。致力于提供最便捷和优质的服务体验。 Copyright © 2023 布克学术 All rights reserved.
京ICP备2023020795号-1
ghs 京公网安备 11010802042870号
Book学术文献互助
Book学术文献互助群
群 号:604180095
Book学术官方微信