Unilateral cleft lip and palate patients present cranial base modifications: a cross-sectional study.

IF 1.3 4区 医学 Q3 DENTISTRY, ORAL SURGERY & MEDICINE
Brazilian oral research Pub Date : 2025-01-13 eCollection Date: 2025-01-01 DOI:10.1590/1807-3107bor-2025.vol39.004
Eduardo Murad Villoria, Bernardo Quiroga Souki, Marina Araújo Leite Assis, Dauro Douglas Oliveira, Thaís de Lima Azeredo, Rodrigo Villamarim Soares
{"title":"Unilateral cleft lip and palate patients present cranial base modifications: a cross-sectional study.","authors":"Eduardo Murad Villoria, Bernardo Quiroga Souki, Marina Araújo Leite Assis, Dauro Douglas Oliveira, Thaís de Lima Azeredo, Rodrigo Villamarim Soares","doi":"10.1590/1807-3107bor-2025.vol39.004","DOIUrl":null,"url":null,"abstract":"<p><p>The aim of this cross-sectional study was to perform a three-dimensional (3D) assessment of the cranial base of patients with unilateral cleft lip and palate (UCLP). Cone-beam computed tomography (CBCT) scans of 52 UCLP patients (21 females and 31 males; mean age, 10.0 ± 2.12 years) were compared with the scans of 72 individuals (24 females and 48 males; mean age, 11.0 ± 2.11 years) without CLP, matched by gender and age (control group, CG). The 3D Euclidean distances of anterior cranial base (N-S), posterior cranial base (S-Ba), total cranial base (N-Ba) lengths, cranial base width (Po-Po), as well as the cranial base flexure (NSBa), were measured using open-source software ITK-SNAP and 3D Slicer. Statistical analyses were carried out with the Student's t-test at a significance level of 5%. UCLP demonstrated shorter 3D distances than CG in the N-S, S-Ba, and N-Ba cranial base lengths (p < 0.001). In comparison with female CG, female UCLP had a smaller cranial base flexure (NSBa; p = 0.020). No statistically significant differences between UCLP and CG were found for the cranial base width (Po-Po). UCLP patients presented distinct morphological cranial base characteristics in comparison with CG. These results indicate that morphological and positioning changes in the maxillary bones are not solely attributable to the cleft and/or surgical procedures.</p>","PeriodicalId":9240,"journal":{"name":"Brazilian oral research","volume":"39 ","pages":"e004"},"PeriodicalIF":1.3000,"publicationDate":"2025-01-13","publicationTypes":"Journal Article","fieldsOfStudy":null,"isOpenAccess":false,"openAccessPdf":"https://www.ncbi.nlm.nih.gov/pmc/articles/PMC11729403/pdf/","citationCount":"0","resultStr":null,"platform":"Semanticscholar","paperid":null,"PeriodicalName":"Brazilian oral research","FirstCategoryId":"3","ListUrlMain":"https://doi.org/10.1590/1807-3107bor-2025.vol39.004","RegionNum":4,"RegionCategory":"医学","ArticlePicture":[],"TitleCN":null,"AbstractTextCN":null,"PMCID":null,"EPubDate":"2025/1/1 0:00:00","PubModel":"eCollection","JCR":"Q3","JCRName":"DENTISTRY, ORAL SURGERY & MEDICINE","Score":null,"Total":0}
引用次数: 0

Abstract

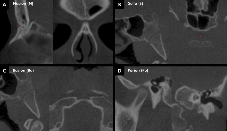
The aim of this cross-sectional study was to perform a three-dimensional (3D) assessment of the cranial base of patients with unilateral cleft lip and palate (UCLP). Cone-beam computed tomography (CBCT) scans of 52 UCLP patients (21 females and 31 males; mean age, 10.0 ± 2.12 years) were compared with the scans of 72 individuals (24 females and 48 males; mean age, 11.0 ± 2.11 years) without CLP, matched by gender and age (control group, CG). The 3D Euclidean distances of anterior cranial base (N-S), posterior cranial base (S-Ba), total cranial base (N-Ba) lengths, cranial base width (Po-Po), as well as the cranial base flexure (NSBa), were measured using open-source software ITK-SNAP and 3D Slicer. Statistical analyses were carried out with the Student's t-test at a significance level of 5%. UCLP demonstrated shorter 3D distances than CG in the N-S, S-Ba, and N-Ba cranial base lengths (p < 0.001). In comparison with female CG, female UCLP had a smaller cranial base flexure (NSBa; p = 0.020). No statistically significant differences between UCLP and CG were found for the cranial base width (Po-Po). UCLP patients presented distinct morphological cranial base characteristics in comparison with CG. These results indicate that morphological and positioning changes in the maxillary bones are not solely attributable to the cleft and/or surgical procedures.

Abstract Image

Abstract Image

Abstract Image

单侧唇腭裂患者颅底改变:一项横断面研究。
本横断面研究的目的是对单侧唇腭裂(UCLP)患者的颅底进行三维(3D)评估。锥形束ct (CBCT)扫描52例UCLP患者,其中女性21例,男性31例;平均年龄(10.0±2.12岁)与72例个体(女性24例,男性48例;平均年龄(11.0±2.11岁),无CLP,性别和年龄相匹配(对照组,CG)。采用开源软件ITK-SNAP和3D Slicer测量前颅底(N-S)、后颅底(S-Ba)、颅底总长度(N-Ba)、颅底宽度(Po-Po)和颅底屈曲(NSBa)的三维欧氏距离。统计学分析采用学生t检验,显著性水平为5%。在N-S、S-Ba和N-Ba颅底长度上,UCLP显示出比CG更短的3D距离(p < 0.001)。与女性CG相比,女性UCLP的颅底屈曲(NSBa)较小;P = 0.020)。颅底宽度(Po-Po)在UCLP和CG之间无统计学差异。与CG相比,UCLP患者表现出明显的颅底形态学特征。这些结果表明,上颌骨的形态和定位变化并不仅仅是由于腭裂和/或外科手术。
本文章由计算机程序翻译,如有差异,请以英文原文为准。
求助全文
约1分钟内获得全文 求助全文
来源期刊
CiteScore
3.70
自引率
4.00%
发文量
107
审稿时长
12 weeks
×
引用
GB/T 7714-2015
复制
MLA
复制
APA
复制
导出至
BibTeX EndNote RefMan NoteFirst NoteExpress
×
提示
您的信息不完整,为了账户安全,请先补充。
现在去补充
×
提示
您因"违规操作"
具体请查看互助需知
我知道了
×
提示
确定
请完成安全验证×
copy
已复制链接
快去分享给好友吧!
我知道了
右上角分享
点击右上角分享
0
联系我们:info@booksci.cn Book学术提供免费学术资源搜索服务,方便国内外学者检索中英文文献。致力于提供最便捷和优质的服务体验。 Copyright © 2023 布克学术 All rights reserved.
京ICP备2023020795号-1
ghs 京公网安备 11010802042870号
Book学术文献互助
Book学术文献互助群
群 号:604180095
Book学术官方微信