Generalized arterial calcification of infancy - Fetal diagnosis to postnatal management.

IF 0.7 Q4 CARDIAC & CARDIOVASCULAR SYSTEMS
Annals of Pediatric Cardiology Pub Date : 2024-09-01 Epub Date: 2024-12-24 DOI:10.4103/apc.apc_158_24
Lamk Kadiyani, P M Shivaprasad, Sivasubramanian Ramakrishnan, Anubhuti Rana, Niraj Pandey
{"title":"Generalized arterial calcification of infancy - Fetal diagnosis to postnatal management.","authors":"Lamk Kadiyani, P M Shivaprasad, Sivasubramanian Ramakrishnan, Anubhuti Rana, Niraj Pandey","doi":"10.4103/apc.apc_158_24","DOIUrl":null,"url":null,"abstract":"<p><p>Generalized arterial calcification of infancy is a rare entity with poor fetal and postnatal outcomes and high morbidity in survivors. Half of the cases are diagnosed intrauterine due to hemodynamic compromise, and the associated manifestations pose unique management challenges. We hereby report an account of a fetal diagnosis in a referral for hydrops with postnatal evaluation and management.</p>","PeriodicalId":8026,"journal":{"name":"Annals of Pediatric Cardiology","volume":"17 5","pages":"369-371"},"PeriodicalIF":0.7000,"publicationDate":"2024-09-01","publicationTypes":"Journal Article","fieldsOfStudy":null,"isOpenAccess":false,"openAccessPdf":"https://www.ncbi.nlm.nih.gov/pmc/articles/PMC11737626/pdf/","citationCount":"0","resultStr":null,"platform":"Semanticscholar","paperid":null,"PeriodicalName":"Annals of Pediatric Cardiology","FirstCategoryId":"1085","ListUrlMain":"https://doi.org/10.4103/apc.apc_158_24","RegionNum":0,"RegionCategory":null,"ArticlePicture":[],"TitleCN":null,"AbstractTextCN":null,"PMCID":null,"EPubDate":"2024/12/24 0:00:00","PubModel":"Epub","JCR":"Q4","JCRName":"CARDIAC & CARDIOVASCULAR SYSTEMS","Score":null,"Total":0}
引用次数: 0

Abstract

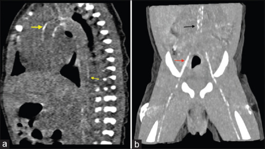
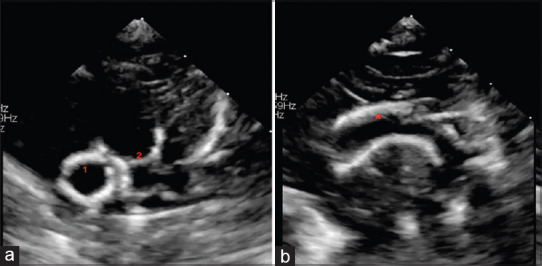
Generalized arterial calcification of infancy is a rare entity with poor fetal and postnatal outcomes and high morbidity in survivors. Half of the cases are diagnosed intrauterine due to hemodynamic compromise, and the associated manifestations pose unique management challenges. We hereby report an account of a fetal diagnosis in a referral for hydrops with postnatal evaluation and management.

Abstract Image

Abstract Image

Abstract Image

婴儿全身性动脉钙化-胎儿诊断到产后处理。
婴儿全身性动脉钙化是一种罕见的疾病,其胎儿和产后预后较差,幸存者的发病率很高。一半的病例被诊断为子宫内由于血流动力学损害,和相关的表现提出了独特的管理挑战。我们在此报告一个胎儿诊断转诊与产后评估和管理。
本文章由计算机程序翻译,如有差异,请以英文原文为准。
求助全文
约1分钟内获得全文 求助全文
来源期刊
Annals of Pediatric Cardiology
Annals of Pediatric Cardiology CARDIAC & CARDIOVASCULAR SYSTEMS-
CiteScore
1.40
自引率
14.30%
发文量
51
审稿时长
23 weeks
×
引用
GB/T 7714-2015
复制
MLA
复制
APA
复制
导出至
BibTeX EndNote RefMan NoteFirst NoteExpress
×
提示
您的信息不完整,为了账户安全,请先补充。
现在去补充
×
提示
您因"违规操作"
具体请查看互助需知
我知道了
×
提示
确定
请完成安全验证×
copy
已复制链接
快去分享给好友吧!
我知道了
右上角分享
点击右上角分享
0
联系我们:info@booksci.cn Book学术提供免费学术资源搜索服务,方便国内外学者检索中英文文献。致力于提供最便捷和优质的服务体验。 Copyright © 2023 布克学术 All rights reserved.
京ICP备2023020795号-1
ghs 京公网安备 11010802042870号
Book学术文献互助
Book学术文献互助群
群 号:604180095
Book学术官方微信