Radius-Maumenee syndrome (idiopathic dilated episcleral vessels).

GMS ophthalmology cases Pub Date : 2024-12-03 eCollection Date: 2024-01-01 DOI:10.3205/oc000247
Carolina Tagliari Estacia, Aluisio Rosa Gameiro Filho, Izadora Bouzeid Estacia da Silveira, Martina Estacia Da Cas, Rodrigo Rosa Gameiro
{"title":"Radius-Maumenee syndrome (idiopathic dilated episcleral vessels).","authors":"Carolina Tagliari Estacia, Aluisio Rosa Gameiro Filho, Izadora Bouzeid Estacia da Silveira, Martina Estacia Da Cas, Rodrigo Rosa Gameiro","doi":"10.3205/oc000247","DOIUrl":null,"url":null,"abstract":"<p><strong>Purpose: </strong>Idiopathic elevated episcleral venous pressure (IEEVP) or Radius-Maumenee syndrome (RMS) is a rare disease without any identified underlying cause. An increasing episcleral venous pressure (EVP) leads to raised intraocular pressure (IOP) and consequently glaucomatous damage of the optic nerve. The objective of this paper is to report this rare condition as well as its clinical management.</p><p><strong>Observations: </strong>During cataract evaluation a 38-year-old female patient referred to redness in her right eye that had started more than 3 years before. The IOP was 22 mmHg in her right eye and 14 mmHg in her left eye, although she was already using Timolol drops. Biomicroscopy revealed diffusely engorged episcleral vessels, without any other relevant findings. Intracranial magnetic resonance imaging (MRI) was normal. For that reason, the diagnosis of RMS was established. After 3 months, the patient remains in use of Timolol and Latanoprost eye drops, with intraocular pressure within normal levels. She continues to be followed up on a regular outpatient basis.</p><p><strong>Conclusions and significance: </strong>RMS is a diagnosis of exclusion, based on clinical findings and imaging exams. Treatment includes eyes drops and surgery in refractory cases.</p>","PeriodicalId":73178,"journal":{"name":"GMS ophthalmology cases","volume":"14 ","pages":"Doc15"},"PeriodicalIF":0.0000,"publicationDate":"2024-12-03","publicationTypes":"Journal Article","fieldsOfStudy":null,"isOpenAccess":false,"openAccessPdf":"https://www.ncbi.nlm.nih.gov/pmc/articles/PMC11730685/pdf/","citationCount":"0","resultStr":null,"platform":"Semanticscholar","paperid":null,"PeriodicalName":"GMS ophthalmology cases","FirstCategoryId":"1085","ListUrlMain":"https://doi.org/10.3205/oc000247","RegionNum":0,"RegionCategory":null,"ArticlePicture":[],"TitleCN":null,"AbstractTextCN":null,"PMCID":null,"EPubDate":"2024/1/1 0:00:00","PubModel":"eCollection","JCR":"","JCRName":"","Score":null,"Total":0}
引用次数: 0

Abstract

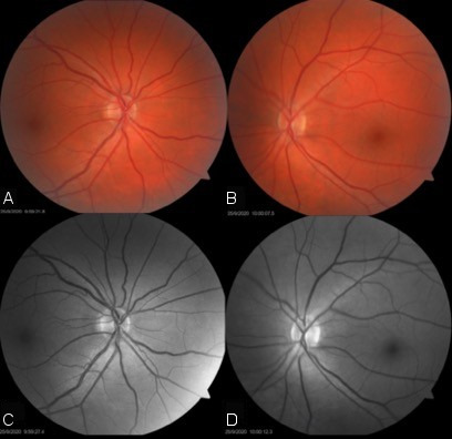
Purpose: Idiopathic elevated episcleral venous pressure (IEEVP) or Radius-Maumenee syndrome (RMS) is a rare disease without any identified underlying cause. An increasing episcleral venous pressure (EVP) leads to raised intraocular pressure (IOP) and consequently glaucomatous damage of the optic nerve. The objective of this paper is to report this rare condition as well as its clinical management.

Observations: During cataract evaluation a 38-year-old female patient referred to redness in her right eye that had started more than 3 years before. The IOP was 22 mmHg in her right eye and 14 mmHg in her left eye, although she was already using Timolol drops. Biomicroscopy revealed diffusely engorged episcleral vessels, without any other relevant findings. Intracranial magnetic resonance imaging (MRI) was normal. For that reason, the diagnosis of RMS was established. After 3 months, the patient remains in use of Timolol and Latanoprost eye drops, with intraocular pressure within normal levels. She continues to be followed up on a regular outpatient basis.

Conclusions and significance: RMS is a diagnosis of exclusion, based on clinical findings and imaging exams. Treatment includes eyes drops and surgery in refractory cases.

Abstract Image

Abstract Image

Radius-Maumenee综合征(特发性外膜血管扩张)。
目的:特发性外膜静脉压升高(IEEVP)或Radius-Maumenee综合征(RMS)是一种罕见的疾病,没有任何明确的潜在病因。巩膜外静脉压(EVP)升高导致眼内压(IOP)升高,从而导致视神经青光眼损伤。本文的目的是报告这种罕见的情况及其临床处理。观察:在白内障评估中,一位38岁的女性患者提到她的右眼开始发红超过3年。她的右眼IOP为22毫米汞柱,左眼为14毫米汞柱,尽管她已经使用了替莫洛尔滴眼液。生物显微镜显示弥漫性血管充盈,未见其他相关发现。颅内磁共振成像(MRI)正常。因此,RMS的诊断得以确立。3个月后,患者继续使用替莫洛尔和拉坦前列素滴眼液,眼压在正常水平。她继续接受定期门诊随访。结论及意义:RMS是一种基于临床表现和影像学检查的排除性诊断。治疗方法包括滴眼液和手术。
本文章由计算机程序翻译,如有差异,请以英文原文为准。
求助全文
约1分钟内获得全文 求助全文
来源期刊
自引率
0.00%
发文量
0
审稿时长
6 weeks
×
引用
GB/T 7714-2015
复制
MLA
复制
APA
复制
导出至
BibTeX EndNote RefMan NoteFirst NoteExpress
×
提示
您的信息不完整,为了账户安全,请先补充。
现在去补充
×
提示
您因"违规操作"
具体请查看互助需知
我知道了
×
提示
确定
请完成安全验证×
copy
已复制链接
快去分享给好友吧!
我知道了
右上角分享
点击右上角分享
0
联系我们:info@booksci.cn Book学术提供免费学术资源搜索服务,方便国内外学者检索中英文文献。致力于提供最便捷和优质的服务体验。 Copyright © 2023 布克学术 All rights reserved.
京ICP备2023020795号-1
ghs 京公网安备 11010802042870号
Book学术文献互助
Book学术文献互助群
群 号:604180095
Book学术官方微信