A rare case of bladder paraganglioma treated successfully with robotic partial cystectomy.

Endocrine oncology (Bristol, England) Pub Date : 2025-01-06 eCollection Date: 2025-01-01 DOI:10.1530/EO-24-0044
Kalyan M Shekhda, Jessal M Palan, Christo B Albor, Simon Wan, Teng-Teng Chung
{"title":"A rare case of bladder paraganglioma treated successfully with robotic partial cystectomy.","authors":"Kalyan M Shekhda, Jessal M Palan, Christo B Albor, Simon Wan, Teng-Teng Chung","doi":"10.1530/EO-24-0044","DOIUrl":null,"url":null,"abstract":"<p><p>Bladder paragangliomas are rare extra-adrenal urological tumors that account for around 0.05% of bladder cancers. Their diagnosis is often delayed because of the rarity of these tumors. There is a risk of an intraoperative hypertensive crisis if not diagnosed or identified before surgical removal. We describe a case of a 36-year-old lady presented with a 10-year history of post-micturition palpitations and headaches. Her biochemical workup showed raised urinary normetanephrine levels and imaging showed a <sup>123</sup>I MIBG-avid bladder mass compatible with bladder paraganglioma, although interestingly almost no tracer was picked up in <sup>68</sup>Ga DOTATATE imaging. She was started on phenoxybenzamine to control her blood pressure prior to surgery. She underwent a successful robotic partial cystectomy with no complications. After surgery, she remained symptom-free. Bladder paragangliomas are rare neuroendocrine tumors of the bladder, which need to be diagnosed and managed effectively to avoid intraoperative and long-term complications.</p><p><strong>Learning points: </strong>It is important for patients with a bladder lesion to have a comprehensive differential assessment and biochemical and radiological investigations including functional imaging.Multiple imaging modalities along with what is available are useful in the assessment of bladder paraganglioma.The key role of the multidisciplinary team is to plan treatment in the perioperative period for minimizing risk, especially in situations where optimal management is actively debated.</p>","PeriodicalId":72907,"journal":{"name":"Endocrine oncology (Bristol, England)","volume":"5 1","pages":"e240044"},"PeriodicalIF":0.0000,"publicationDate":"2025-01-06","publicationTypes":"Journal Article","fieldsOfStudy":null,"isOpenAccess":false,"openAccessPdf":"https://www.ncbi.nlm.nih.gov/pmc/articles/PMC11728871/pdf/","citationCount":"0","resultStr":null,"platform":"Semanticscholar","paperid":null,"PeriodicalName":"Endocrine oncology (Bristol, England)","FirstCategoryId":"1085","ListUrlMain":"https://doi.org/10.1530/EO-24-0044","RegionNum":0,"RegionCategory":null,"ArticlePicture":[],"TitleCN":null,"AbstractTextCN":null,"PMCID":null,"EPubDate":"2025/1/1 0:00:00","PubModel":"eCollection","JCR":"","JCRName":"","Score":null,"Total":0}
引用次数: 0

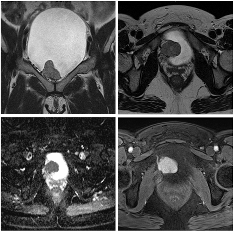
Abstract

Bladder paragangliomas are rare extra-adrenal urological tumors that account for around 0.05% of bladder cancers. Their diagnosis is often delayed because of the rarity of these tumors. There is a risk of an intraoperative hypertensive crisis if not diagnosed or identified before surgical removal. We describe a case of a 36-year-old lady presented with a 10-year history of post-micturition palpitations and headaches. Her biochemical workup showed raised urinary normetanephrine levels and imaging showed a 123I MIBG-avid bladder mass compatible with bladder paraganglioma, although interestingly almost no tracer was picked up in 68Ga DOTATATE imaging. She was started on phenoxybenzamine to control her blood pressure prior to surgery. She underwent a successful robotic partial cystectomy with no complications. After surgery, she remained symptom-free. Bladder paragangliomas are rare neuroendocrine tumors of the bladder, which need to be diagnosed and managed effectively to avoid intraoperative and long-term complications.

Learning points: It is important for patients with a bladder lesion to have a comprehensive differential assessment and biochemical and radiological investigations including functional imaging.Multiple imaging modalities along with what is available are useful in the assessment of bladder paraganglioma.The key role of the multidisciplinary team is to plan treatment in the perioperative period for minimizing risk, especially in situations where optimal management is actively debated.

Abstract Image

Abstract Image

Abstract Image

机器人膀胱部分切除术成功治疗膀胱副神经节瘤一例。
膀胱副神经节瘤是一种罕见的肾上腺外泌尿系统肿瘤,约占膀胱癌的0.05%。由于这些肿瘤的罕见性,它们的诊断常常被推迟。如果在手术切除前没有诊断或确定,存在术中高血压危象的风险。我们描述了一个病例36岁的女士提出了10年的历史排尿后心悸和头痛。生化检查显示尿去甲肾上腺素水平升高,影像显示123I mipg -avid膀胱肿块与膀胱副神经节瘤相容,但有趣的是,68Ga DOTATATE影像几乎没有发现示踪剂。手术前,她开始服用苯氧苄胺来控制血压。她接受了成功的机器人膀胱部分切除术,没有并发症。手术后,她没有任何症状。膀胱副神经节瘤是一种罕见的膀胱神经内分泌肿瘤,需要及时诊断和有效治疗,以避免术中并发症和长期并发症。学习要点:对膀胱病变患者进行全面的鉴别评估、生化和放射学检查(包括功能成像)是很重要的。多种成像方式以及可用的方法对膀胱副神经节瘤的评估很有用。多学科团队的关键作用是在围手术期计划治疗,以最大限度地降低风险,特别是在积极讨论最佳管理的情况下。
本文章由计算机程序翻译,如有差异,请以英文原文为准。
求助全文
约1分钟内获得全文 求助全文
来源期刊
自引率
0.00%
发文量
0
×
引用
GB/T 7714-2015
复制
MLA
复制
APA
复制
导出至
BibTeX EndNote RefMan NoteFirst NoteExpress
×
提示
您的信息不完整,为了账户安全,请先补充。
现在去补充
×
提示
您因"违规操作"
具体请查看互助需知
我知道了
×
提示
确定
请完成安全验证×
copy
已复制链接
快去分享给好友吧!
我知道了
右上角分享
点击右上角分享
0
联系我们:info@booksci.cn Book学术提供免费学术资源搜索服务,方便国内外学者检索中英文文献。致力于提供最便捷和优质的服务体验。 Copyright © 2023 布克学术 All rights reserved.
京ICP备2023020795号-1
ghs 京公网安备 11010802042870号
Book学术文献互助
Book学术文献互助群
群 号:604180095
Book学术官方微信