Undifferentiated pleiotropic spermatic duct sarcoma: a surgical surprise in the inguinal canal that calls for attention.

IF 2.5 Q3 GASTROENTEROLOGY & HEPATOLOGY
Przegla̜d Gastroenterologiczny Pub Date : 2024-01-01 Epub Date: 2024-11-26 DOI:10.5114/pg.2024.145362
Georgios Tsakaldimis, Georgios-Ioannis Verras, Michail Pitiakoudis, Christos Kalaitzis, Anastasios Karayiannakis, George Pappas-Gogos, Levan Tchabashvili, Konstantinos Tasios, Angelis Peteinaris, Vasileios Tatanis, Francesk Mulita
{"title":"Undifferentiated pleiotropic spermatic duct sarcoma: a surgical surprise in the inguinal canal that calls for attention.","authors":"Georgios Tsakaldimis, Georgios-Ioannis Verras, Michail Pitiakoudis, Christos Kalaitzis, Anastasios Karayiannakis, George Pappas-Gogos, Levan Tchabashvili, Konstantinos Tasios, Angelis Peteinaris, Vasileios Tatanis, Francesk Mulita","doi":"10.5114/pg.2024.145362","DOIUrl":null,"url":null,"abstract":"","PeriodicalId":20719,"journal":{"name":"Przegla̜d Gastroenterologiczny","volume":"16 4","pages":"456-459"},"PeriodicalIF":2.5000,"publicationDate":"2024-01-01","publicationTypes":"Journal Article","fieldsOfStudy":null,"isOpenAccess":false,"openAccessPdf":"https://www.ncbi.nlm.nih.gov/pmc/articles/PMC11726228/pdf/","citationCount":"0","resultStr":null,"platform":"Semanticscholar","paperid":null,"PeriodicalName":"Przegla̜d Gastroenterologiczny","FirstCategoryId":"1085","ListUrlMain":"https://doi.org/10.5114/pg.2024.145362","RegionNum":0,"RegionCategory":null,"ArticlePicture":[],"TitleCN":null,"AbstractTextCN":null,"PMCID":null,"EPubDate":"2024/11/26 0:00:00","PubModel":"Epub","JCR":"Q3","JCRName":"GASTROENTEROLOGY & HEPATOLOGY","Score":null,"Total":0}
引用次数: 0

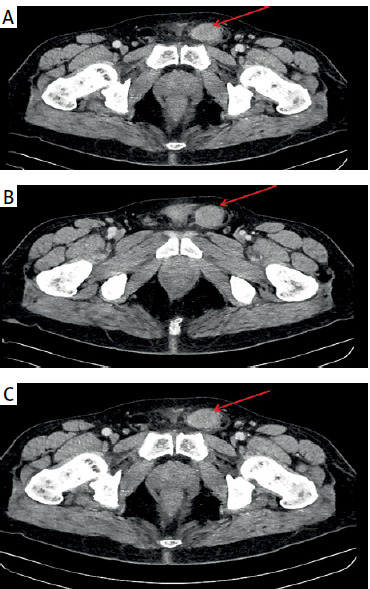
Abstract Image

未分化多性精管肉瘤:腹股沟管的手术意外,需要引起注意。
本文章由计算机程序翻译,如有差异,请以英文原文为准。
求助全文
约1分钟内获得全文 求助全文
来源期刊
Przegla̜d Gastroenterologiczny
Przegla̜d Gastroenterologiczny GASTROENTEROLOGY & HEPATOLOGY-
CiteScore
2.20
自引率
7.70%
发文量
50
审稿时长
6-12 weeks
期刊介绍: Gastroenterology Review is a journal published each 2 months, aimed at gastroenterologists and general practitioners. Published under the patronage of Consultant in Gastroenterology and Polish Pancreatic Club.
×
引用
GB/T 7714-2015
复制
MLA
复制
APA
复制
导出至
BibTeX EndNote RefMan NoteFirst NoteExpress
×
提示
您的信息不完整,为了账户安全,请先补充。
现在去补充
×
提示
您因"违规操作"
具体请查看互助需知
我知道了
×
提示
确定
请完成安全验证×
copy
已复制链接
快去分享给好友吧!
我知道了
右上角分享
点击右上角分享
0
联系我们:info@booksci.cn Book学术提供免费学术资源搜索服务,方便国内外学者检索中英文文献。致力于提供最便捷和优质的服务体验。 Copyright © 2023 布克学术 All rights reserved.
京ICP备2023020795号-1
ghs 京公网安备 11010802042870号
Book学术文献互助
Book学术文献互助群
群 号:604180095
Book学术官方微信