The role of intestinal ultrasound with colour Doppler in predicting the response to biologic therapy in inflammatory bowel disease patients.

IF 2.5 Q3 GASTROENTEROLOGY & HEPATOLOGY
Przegla̜d Gastroenterologiczny Pub Date : 2024-01-01 Epub Date: 2023-11-17 DOI:10.5114/pg.2023.132932
Mohamed Ali El-Nady, Nour Eldeen El-Hefny, Hayam Fathy, Wageeh Ali, Ahmed Mohammed Ashmawy
{"title":"The role of intestinal ultrasound with colour Doppler in predicting the response to biologic therapy in inflammatory bowel disease patients.","authors":"Mohamed Ali El-Nady, Nour Eldeen El-Hefny, Hayam Fathy, Wageeh Ali, Ahmed Mohammed Ashmawy","doi":"10.5114/pg.2023.132932","DOIUrl":null,"url":null,"abstract":"<p><strong>Introduction: </strong>Inflammatory bowel disease patients are exposed to frequent procedures and hospital admissions as well as recurrent need for radiological examinations with a high risk of exposure to radiation and contrast.</p><p><strong>Aim: </strong>Our objective was to evaluate the role of a combination of both intestinal ultrasound (IUS) and colour Doppler with different parameters for monitoring changes in inflammation over time and to reveal their potential role in the assessment of response to biologic therapy in inflammatory bowel disease (IBD) patients.</p><p><strong>Material and methods: </strong>Before the induction of biological therapy, IUS together with colour Doppler of the intestine was conducted. Response to therapy was defined following the international guidelines.</p><p><strong>Results: </strong>A total of 45 patients with histopathological diagnosis of IBD were enrolled in the study. All patients received biological therapy and were assessed for response after 3 months. Out of those patients, 34 (75.6%) had good response while 11 (24.4%) failed to respond to the treatment. Our findings point to a strong association between bowel wall thickening (BWT) and serum albumin, erythrocyte sedimentation rate (ESR), and c-reactive protein (CRP). The overall sensitivity of IUS varied from 54 to 93% when evaluating bowel affection, with a specificity of 97-100%, in comparison to our results, which showed a sensitivity of 64-74% and specificity of 79-82%. Doppler parameters could predict the response to the biologic therapy in IBD patients.</p><p><strong>Conclusions: </strong>Intestinal ultrasound and colour Doppler provide a safe, non-invasive way to monitor changes in inflammation and blood flow in the digestive tract.</p>","PeriodicalId":20719,"journal":{"name":"Przegla̜d Gastroenterologiczny","volume":"16 4","pages":"416-422"},"PeriodicalIF":2.5000,"publicationDate":"2024-01-01","publicationTypes":"Journal Article","fieldsOfStudy":null,"isOpenAccess":false,"openAccessPdf":"https://www.ncbi.nlm.nih.gov/pmc/articles/PMC11726221/pdf/","citationCount":"0","resultStr":null,"platform":"Semanticscholar","paperid":null,"PeriodicalName":"Przegla̜d Gastroenterologiczny","FirstCategoryId":"1085","ListUrlMain":"https://doi.org/10.5114/pg.2023.132932","RegionNum":0,"RegionCategory":null,"ArticlePicture":[],"TitleCN":null,"AbstractTextCN":null,"PMCID":null,"EPubDate":"2023/11/17 0:00:00","PubModel":"Epub","JCR":"Q3","JCRName":"GASTROENTEROLOGY & HEPATOLOGY","Score":null,"Total":0}
引用次数: 0

Abstract

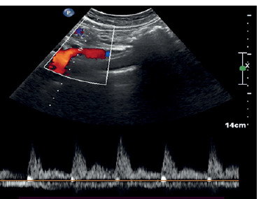
Introduction: Inflammatory bowel disease patients are exposed to frequent procedures and hospital admissions as well as recurrent need for radiological examinations with a high risk of exposure to radiation and contrast.

Aim: Our objective was to evaluate the role of a combination of both intestinal ultrasound (IUS) and colour Doppler with different parameters for monitoring changes in inflammation over time and to reveal their potential role in the assessment of response to biologic therapy in inflammatory bowel disease (IBD) patients.

Material and methods: Before the induction of biological therapy, IUS together with colour Doppler of the intestine was conducted. Response to therapy was defined following the international guidelines.

Results: A total of 45 patients with histopathological diagnosis of IBD were enrolled in the study. All patients received biological therapy and were assessed for response after 3 months. Out of those patients, 34 (75.6%) had good response while 11 (24.4%) failed to respond to the treatment. Our findings point to a strong association between bowel wall thickening (BWT) and serum albumin, erythrocyte sedimentation rate (ESR), and c-reactive protein (CRP). The overall sensitivity of IUS varied from 54 to 93% when evaluating bowel affection, with a specificity of 97-100%, in comparison to our results, which showed a sensitivity of 64-74% and specificity of 79-82%. Doppler parameters could predict the response to the biologic therapy in IBD patients.

Conclusions: Intestinal ultrasound and colour Doppler provide a safe, non-invasive way to monitor changes in inflammation and blood flow in the digestive tract.

Abstract Image

Abstract Image

Abstract Image

彩色多普勒肠超声在预测炎症性肠病患者对生物治疗反应中的作用。
简介:炎症性肠病患者暴露于频繁的手术和住院,以及反复需要放射检查,暴露于辐射和造影剂的高风险。目的:我们的目的是评估不同参数的肠道超声(IUS)和彩色多普勒联合监测炎症随时间变化的作用,并揭示它们在评估炎症性肠病(IBD)患者对生物治疗的反应中的潜在作用。材料与方法:诱导生物治疗前,行IUS联合小肠彩色多普勒检查。对治疗的反应是按照国际准则定义的。结果:共纳入45例经组织病理学诊断为IBD的患者。所有患者均接受生物治疗,3个月后评估疗效。其中,34例(75.6%)患者反应良好,11例(24.4%)患者治疗无效。我们的研究结果表明,肠壁增厚(BWT)与血清白蛋白、红细胞沉降率(ESR)和c反应蛋白(CRP)有很强的相关性。在评估肠道影响时,IUS的总体敏感性为54 - 93%,特异性为97-100%,而我们的结果显示敏感性为64-74%,特异性为79-82%。多普勒参数可以预测IBD患者对生物治疗的反应。结论:肠道超声和彩色多普勒为监测消化道炎症和血流变化提供了一种安全、无创的方法。
本文章由计算机程序翻译,如有差异,请以英文原文为准。
求助全文
约1分钟内获得全文 求助全文
来源期刊
Przegla̜d Gastroenterologiczny
Przegla̜d Gastroenterologiczny GASTROENTEROLOGY & HEPATOLOGY-
CiteScore
2.20
自引率
7.70%
发文量
50
审稿时长
6-12 weeks
期刊介绍: Gastroenterology Review is a journal published each 2 months, aimed at gastroenterologists and general practitioners. Published under the patronage of Consultant in Gastroenterology and Polish Pancreatic Club.
×
引用
GB/T 7714-2015
复制
MLA
复制
APA
复制
导出至
BibTeX EndNote RefMan NoteFirst NoteExpress
×
提示
您的信息不完整,为了账户安全,请先补充。
现在去补充
×
提示
您因"违规操作"
具体请查看互助需知
我知道了
×
提示
确定
请完成安全验证×
copy
已复制链接
快去分享给好友吧!
我知道了
右上角分享
点击右上角分享
0
联系我们:info@booksci.cn Book学术提供免费学术资源搜索服务,方便国内外学者检索中英文文献。致力于提供最便捷和优质的服务体验。 Copyright © 2023 布克学术 All rights reserved.
京ICP备2023020795号-1
ghs 京公网安备 11010802042870号
Book学术文献互助
Book学术文献互助群
群 号:604180095
Book学术官方微信