Immunohistochemical Expression of PAX8 in Central Nervous System Hemangioblastomas: A Potential Diagnostic Pitfall for Neuropathologists.

IF 1.2 4区 医学 Q3 ANATOMY & MORPHOLOGY
Giuseppe Broggi, Jessica Farina, Valeria Barresi, Francesco Certo, Giuseppe Maria Vincenzo Barbagallo, Gaetano Magro, Rosario Caltabiano
{"title":"Immunohistochemical Expression of PAX8 in Central Nervous System Hemangioblastomas: A Potential Diagnostic Pitfall for Neuropathologists.","authors":"Giuseppe Broggi, Jessica Farina, Valeria Barresi, Francesco Certo, Giuseppe Maria Vincenzo Barbagallo, Gaetano Magro, Rosario Caltabiano","doi":"10.1097/PAI.0000000000001246","DOIUrl":null,"url":null,"abstract":"<p><p>The histologic differential diagnosis between intracranial hemangioblastoma (HB) and metastatic clear cell renal cell carcinoma may be challenging, especially considering that both tumors exhibit clear cell morphology and can be associated with vHL mutation and/or Von Hippel-Lindau syndrome. As the execution of immunohistochemical analyses is often mandatory, the expression of PAX8 has been traditionally considered a reliable marker of metastatic clear cell renal cell carcinoma, being consistently negative in intracranial HB. However, as in recent years, some cases of PAX8-positive HBs have been reported in the literature; we studied the expression of this antibody on a series of 23 intracranial HB, showing that about 40% of these tumors may express PAX8 and that this immunoreactivity is often focal and weak. We would like to emphasize that the possibility of a PAX8-positive intracranial HB does exist and must be taken into account by neuropathologists to avoid misdiagnoses; in this regard, a broader immunohistochemical panel also including CD10, Inhibin-α, PAX2, S100, and anti-Renal cell carcinoma (RCC) antibody is highly recommended.</p>","PeriodicalId":48952,"journal":{"name":"Applied Immunohistochemistry & Molecular Morphology","volume":" ","pages":"160-163"},"PeriodicalIF":1.2000,"publicationDate":"2025-05-01","publicationTypes":"Journal Article","fieldsOfStudy":null,"isOpenAccess":false,"openAccessPdf":"https://www.ncbi.nlm.nih.gov/pmc/articles/PMC12043255/pdf/","citationCount":"0","resultStr":null,"platform":"Semanticscholar","paperid":null,"PeriodicalName":"Applied Immunohistochemistry & Molecular Morphology","FirstCategoryId":"3","ListUrlMain":"https://doi.org/10.1097/PAI.0000000000001246","RegionNum":4,"RegionCategory":"医学","ArticlePicture":[],"TitleCN":null,"AbstractTextCN":null,"PMCID":null,"EPubDate":"2025/1/27 0:00:00","PubModel":"Epub","JCR":"Q3","JCRName":"ANATOMY & MORPHOLOGY","Score":null,"Total":0}
引用次数: 0

Abstract

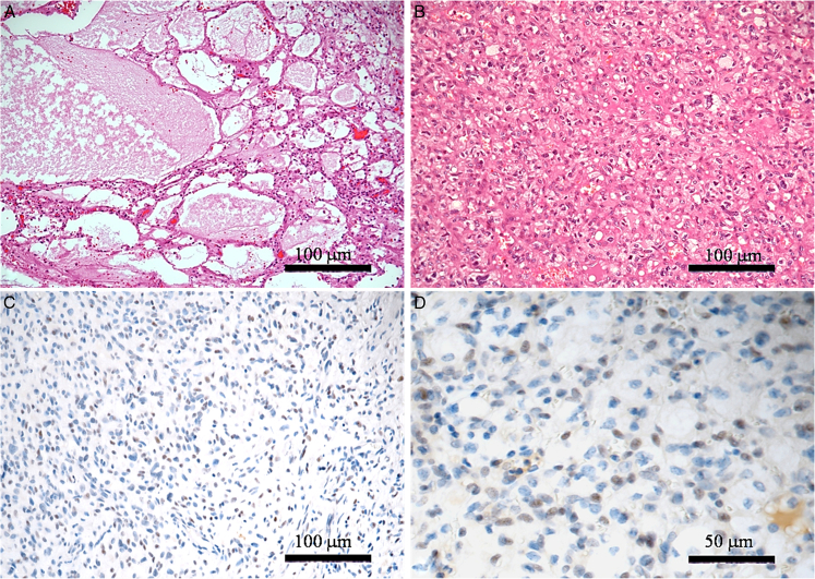
The histologic differential diagnosis between intracranial hemangioblastoma (HB) and metastatic clear cell renal cell carcinoma may be challenging, especially considering that both tumors exhibit clear cell morphology and can be associated with vHL mutation and/or Von Hippel-Lindau syndrome. As the execution of immunohistochemical analyses is often mandatory, the expression of PAX8 has been traditionally considered a reliable marker of metastatic clear cell renal cell carcinoma, being consistently negative in intracranial HB. However, as in recent years, some cases of PAX8-positive HBs have been reported in the literature; we studied the expression of this antibody on a series of 23 intracranial HB, showing that about 40% of these tumors may express PAX8 and that this immunoreactivity is often focal and weak. We would like to emphasize that the possibility of a PAX8-positive intracranial HB does exist and must be taken into account by neuropathologists to avoid misdiagnoses; in this regard, a broader immunohistochemical panel also including CD10, Inhibin-α, PAX2, S100, and anti-Renal cell carcinoma (RCC) antibody is highly recommended.

Abstract Image

中枢神经系统血管母细胞瘤中PAX8的免疫组织化学表达:神经病理学家的一个潜在诊断缺陷。
颅内血管母细胞瘤(HB)和转移性透明细胞肾细胞癌的组织学鉴别诊断可能具有挑战性,特别是考虑到这两种肿瘤都表现出透明的细胞形态,并且可能与vHL突变和/或Von Hippel-Lindau综合征有关。由于通常必须进行免疫组织化学分析,PAX8的表达一直被认为是转移性透明细胞肾细胞癌的可靠标志物,在颅内HB中一直呈阴性。然而,近年来,文献中报道了一些pax8阳性HBs病例;我们研究了该抗体在一系列23例颅内HB上的表达,表明约40%的这些肿瘤可能表达PAX8,并且这种免疫反应性通常是局灶性的和弱的。我们想强调的是,pax8阳性颅内HB的可能性确实存在,神经病理学家必须考虑到这一点,以避免误诊;在这方面,强烈建议进行更广泛的免疫组化检查,包括CD10、抑制素-α、PAX2、S100和抗-Renal细胞癌(RCC)抗体。
本文章由计算机程序翻译,如有差异,请以英文原文为准。
求助全文
约1分钟内获得全文 求助全文
来源期刊
Applied Immunohistochemistry & Molecular Morphology
Applied Immunohistochemistry & Molecular Morphology ANATOMY & MORPHOLOGY-MEDICAL LABORATORY TECHNOLOGY
CiteScore
3.20
自引率
0.00%
发文量
153
期刊介绍: ​Applied Immunohistochemistry & Molecular Morphology covers newly developed identification and detection technologies, and their applications in research and diagnosis for the applied immunohistochemist & molecular Morphologist. Official Journal of the International Society for Immunohistochemisty and Molecular Morphology​.
×
引用
GB/T 7714-2015
复制
MLA
复制
APA
复制
导出至
BibTeX EndNote RefMan NoteFirst NoteExpress
×
提示
您的信息不完整,为了账户安全,请先补充。
现在去补充
×
提示
您因"违规操作"
具体请查看互助需知
我知道了
×
提示
确定
请完成安全验证×
copy
已复制链接
快去分享给好友吧!
我知道了
右上角分享
点击右上角分享
0
联系我们:info@booksci.cn Book学术提供免费学术资源搜索服务,方便国内外学者检索中英文文献。致力于提供最便捷和优质的服务体验。 Copyright © 2023 布克学术 All rights reserved.
京ICP备2023020795号-1
ghs 京公网安备 11010802042870号
Book学术文献互助
Book学术文献互助群
群 号:604180095
Book学术官方微信