EARLY SURGERY IN RARE KNEE HETEROTOPIC OSSIFICATION LEADS TO SUCCESSFUL FUNCTIONAL OUTCOME: A CASE REPORT.

Stijn Pierreux, Samar M Hatem, Stijn Roggeman, Marc Schiltz
{"title":"EARLY SURGERY IN RARE KNEE HETEROTOPIC OSSIFICATION LEADS TO SUCCESSFUL FUNCTIONAL OUTCOME: A CASE REPORT.","authors":"Stijn Pierreux, Samar M Hatem, Stijn Roggeman, Marc Schiltz","doi":"10.2340/jrm-cc.v8.41323","DOIUrl":null,"url":null,"abstract":"<p><strong>Background: </strong>Heterotopic ossification is a common complication after joint replacement surgery, such as hip or knee arthroplasty. In the intensive care unit, it is most commonly associated with traumatic brain injury or spinal cord injury. To prevent recurrence, surgical resection of heterotopic ossification is recommended once the ectopic bone has fully matured, which is estimated to occur after at least 12 months.</p><p><strong>Case presentation: </strong>This case describes a young woman with no relevant previous medical history who developed severe bilateral heterotopic ossification on the anteromedial sides of her knees after an intensive care unit stay. Passive flexion of both knees was limited to 50°. X-ray was a simple diagnostic tool. Predisposing factors were extended immobilization, prolonged systematic inflammatory condition and mechanical ventilation. Due to the failure of initial conservative therapy, the heterotopic ossification was resected early, 4 months after onset of first symptoms. Following an intensive rehabilitation program, a normal, pain-free gait and full range of motion of both knees were achieved 9 months after surgery.</p><p><strong>Conclusion: </strong>This case report demonstrates that early resection of heterotopic ossification can result in a good clinical and functional outcome.</p>","PeriodicalId":73929,"journal":{"name":"Journal of rehabilitation medicine. Clinical communications","volume":"8 ","pages":"41323"},"PeriodicalIF":0.0000,"publicationDate":"2025-01-03","publicationTypes":"Journal Article","fieldsOfStudy":null,"isOpenAccess":false,"openAccessPdf":"https://www.ncbi.nlm.nih.gov/pmc/articles/PMC11711688/pdf/","citationCount":"0","resultStr":null,"platform":"Semanticscholar","paperid":null,"PeriodicalName":"Journal of rehabilitation medicine. Clinical communications","FirstCategoryId":"1085","ListUrlMain":"https://doi.org/10.2340/jrm-cc.v8.41323","RegionNum":0,"RegionCategory":null,"ArticlePicture":[],"TitleCN":null,"AbstractTextCN":null,"PMCID":null,"EPubDate":"2025/1/1 0:00:00","PubModel":"eCollection","JCR":"","JCRName":"","Score":null,"Total":0}
引用次数: 0

Abstract

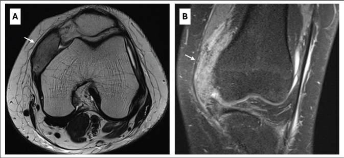
Background: Heterotopic ossification is a common complication after joint replacement surgery, such as hip or knee arthroplasty. In the intensive care unit, it is most commonly associated with traumatic brain injury or spinal cord injury. To prevent recurrence, surgical resection of heterotopic ossification is recommended once the ectopic bone has fully matured, which is estimated to occur after at least 12 months.

Case presentation: This case describes a young woman with no relevant previous medical history who developed severe bilateral heterotopic ossification on the anteromedial sides of her knees after an intensive care unit stay. Passive flexion of both knees was limited to 50°. X-ray was a simple diagnostic tool. Predisposing factors were extended immobilization, prolonged systematic inflammatory condition and mechanical ventilation. Due to the failure of initial conservative therapy, the heterotopic ossification was resected early, 4 months after onset of first symptoms. Following an intensive rehabilitation program, a normal, pain-free gait and full range of motion of both knees were achieved 9 months after surgery.

Conclusion: This case report demonstrates that early resection of heterotopic ossification can result in a good clinical and functional outcome.

Abstract Image

Abstract Image

Abstract Image

早期手术治疗罕见的膝关节异位骨化可获得成功的功能预后:一例报告。
背景:异位骨化是髋关节或膝关节置换术后常见的并发症。在重症监护室,它最常与创伤性脑损伤或脊髓损伤有关。为了防止复发,一旦异位骨完全成熟,建议手术切除异位骨化,估计至少在12个月后发生。病例介绍:该病例描述了一名年轻女性,无相关病史,在重症监护室住院后,膝盖前内侧出现严重的双侧异位骨化。双膝被动屈曲限制在50°。x光是一种简单的诊断工具。易感因素为长时间的固定、长时间的全身炎症和机械通气。由于最初的保守治疗失败,异位骨化在首次症状出现4个月后被早期切除。经过密集的康复计划,术后9个月患者的步态正常、无痛,双膝活动范围全。结论:本病例报告表明,早期切除异位骨化可以获得良好的临床和功能结果。
本文章由计算机程序翻译,如有差异,请以英文原文为准。
求助全文
约1分钟内获得全文 求助全文
来源期刊
自引率
0.00%
发文量
0
×
引用
GB/T 7714-2015
复制
MLA
复制
APA
复制
导出至
BibTeX EndNote RefMan NoteFirst NoteExpress
×
提示
您的信息不完整,为了账户安全,请先补充。
现在去补充
×
提示
您因"违规操作"
具体请查看互助需知
我知道了
×
提示
确定
请完成安全验证×
copy
已复制链接
快去分享给好友吧!
我知道了
右上角分享
点击右上角分享
0
联系我们:info@booksci.cn Book学术提供免费学术资源搜索服务,方便国内外学者检索中英文文献。致力于提供最便捷和优质的服务体验。 Copyright © 2023 布克学术 All rights reserved.
京ICP备2023020795号-1
ghs 京公网安备 11010802042870号
Book学术文献互助
Book学术文献互助群
群 号:604180095
Book学术官方微信